EEF1B2 antibody (AA 1-225)
Quick Overview for EEF1B2 antibody (AA 1-225) (ABIN6139949)
Target
See all EEF1B2 AntibodiesReactivity
Host
Clonality
Conjugate
Application
-
-
Binding Specificity
- AA 1-225
-
Sequence
- MGFGDLKSPA GLQVLNDYLA DKSYIEGYVP SQADVAVFEA VSSPPPADLC HALRWYNHIK SYEKEKASLP GVKKALGKYG PADVEDTTGS GATDSKDDDD IDLFGSDDEE ESEEAKRLRE ERLAQYESKK AKKPALVAKS SILLDVKPWD DETDMAKLEE CVRSIQADGL VWGSSKLVPV GYGIKKLQIQ CVVEDDKVGT DMLEEQITAF EDYVQSMDVA AFNKI
-
Cross-Reactivity
- Human, Mouse, Rat
-
Characteristics
- Polyclonal Antibodies
-
Purification
- Affinity purification
-
Immunogen
- Recombinant fusion protein containing a sequence corresponding to amino acids 1-225 of human EEF1B2 (NP_001032752.1).
-
Isotype
- IgG
-
-
-
-
Application Notes
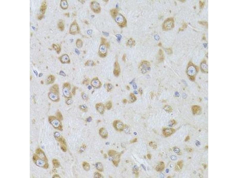
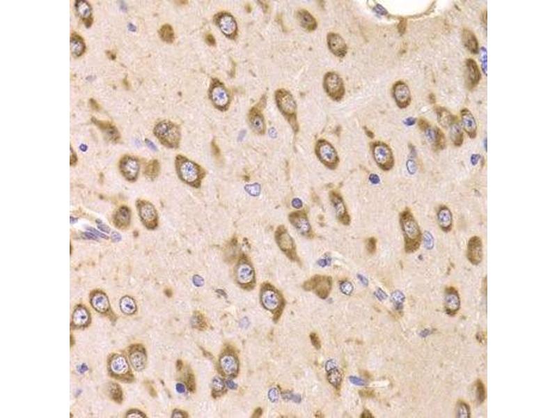
- WB,1:500 - 1:2000,IHC,1:50 - 1:200,IF,1:50 - 1:200
-
Comment
-
HIGH QUALITY
-
Restrictions
- For Research Use only
-
-
-
Format
- Liquid
-
Buffer
- PBS with 0.02 % sodium azide,50 % glycerol, pH 7.3.
-
Preservative
- Sodium azide
-
Precaution of Use
- This product contains Sodium azide: a POISONOUS AND HAZARDOUS SUBSTANCE which should be handled by trained staff only.
-
Storage
- -20 °C
-
Storage Comment
- Store at -20°C. Avoid freeze / thaw cycles.
-
-
- EEF1B2 (Eukaryotic Translation Elongation Factor 1 beta 2 (EEF1B2))
-
Alternative Name
- EEF1B2
-
Background
- This gene encodes a translation elongation factor. The protein is a guanine nucleotide exchange factor involved in the transfer of aminoacylated tRNAs to the ribosome. Alternative splicing results in three transcript variants which differ only in the 5' UTR.,EEF1B2,EEF1B,EEF1B1,EF1B,Epigenetics & Nuclear Signaling,EEF1B2
-
Molecular Weight
- 24 kDa
-
Gene ID
- 1933
-
UniProt
- P24534
Target
-