Phone:
+1 877 302 8632
Fax:
+1 888 205 9894 (Toll-free)
E-Mail:
orders@antibodies-online.com

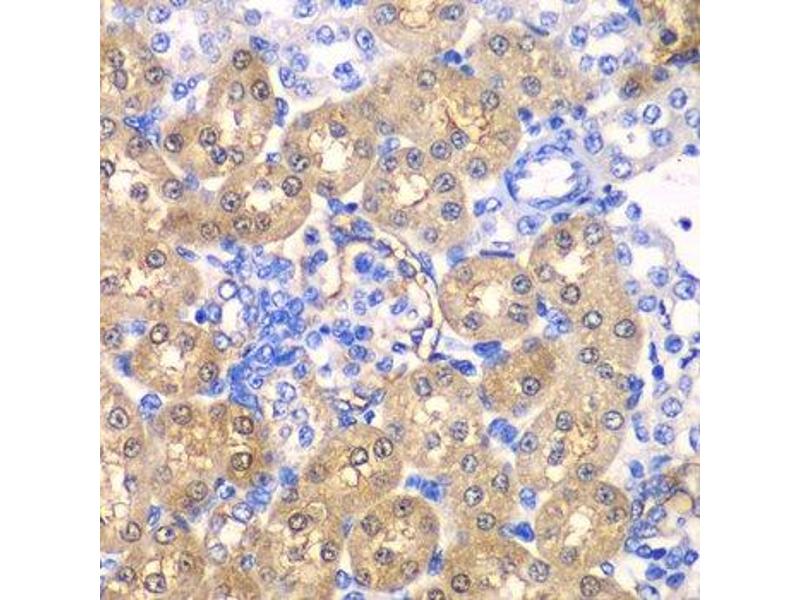
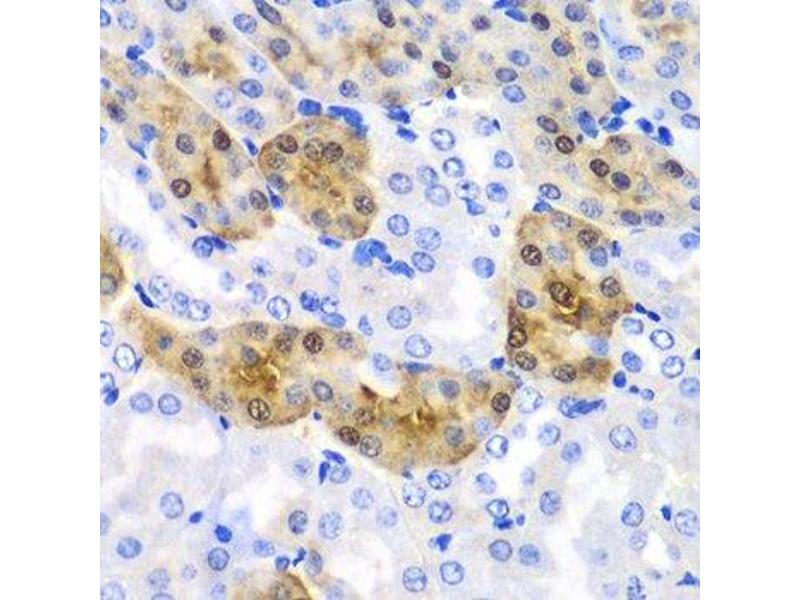
HPD antibody (AA 1-393)

The Rabbit Polyclonal anti-HPD antibody (ABIN6141964) specifically detects HPD in WB and IHC. The antibody is reactive with Human samples.
Catalog No. ABIN6141964
$383.00
Plus shipping costs $50.00
Shipping to: United States
Delivery in 7 to 10 Business Days

Quick Overview for HPD antibody (AA 1-393) (ABIN6141964)

Target

See all HPD Antibodies
HPD (4-Hydroxyphenylpyruvate Dioxygenase (HPD))

Reactivity

  • 66
  • 31
  • 14
  • 5
  • 4
  • 2
  • 2
  • 2
  • 2
  • 2
  • 2
  • 1
  • 1
  • 1
  • 1
Human

Host

  • 69
  • 6
Rabbit

Clonality

  • 68
  • 7
Polyclonal

Conjugate

  • 29
  • 8
  • 8
  • 8
  • 3
  • 3
  • 3
  • 3
  • 3
  • 3
  • 2
  • 2
This HPD antibody is un-conjugated

Application

  • 41
  • 35
  • 16
  • 7
  • 5
  • 4
  • 4
  • 4
  • 2
  • 1
  • 1
Western Blotting (WB), Immunohistochemistry (IHC)
  • Binding Specificity

    • 9
    • 9
    • 8
    • 8
    • 4
    • 4
    • 1
    • 1
    • 1
    • 1
    AA 1-393

    Sequence

    MTTYSDKGAK PERGRFLHFH SVTFWVGNAK QAASFYCSKM GFEPLAYRGL ETGSREVVSH VIKQGKIVFV LSSALNPWNK EMGDHLVKHG DGVKDIAFEV EDCDYIVQKA RERGAKIMRE PWVEQDKFGK VKFAVLQTYG DTTHTLVEKM NYIGQFLPGY EAPAFMDPLL PKLPKCSLEM IDHIVGNQPD QEMVSASEWY LKNLQFHRFW SVDDTQVHTE YSSLRSIVVA NYEESIKMPI NEPAPGKKKS QIQEYVDYNG GAGVQHIALK TEDIITAIRH LRERGLEFLS VPSTYYKQLR EKLKTAKIKV KENIDALEEL KILVDYDEKG YLLQIFTKPV QDRPTLFLEV IQRHNHQGFG AGNFNSLFKA FEEEQNLRGN LTNMETNGVV PGM

    Cross-Reactivity

    Human, Mouse, Rat

    Characteristics

    Polyclonal Antibodies

    Purification

    Affinity purification

    Immunogen

    Recombinant fusion protein containing a sequence corresponding to amino acids 1-393 of human HPD (NP_002141.1).

    Isotype

    IgG
  • Application Notes

    WB,1:500 - 1:2000,IHC,1:50 - 1:200

    Comment

    HIGH QUALITY

    Restrictions

    For Research Use only
  • Format

    Liquid

    Buffer

    PBS with 0.02 % sodium azide,50 % glycerol, pH 7.3.

    Preservative

    Sodium azide

    Precaution of Use

    This product contains Sodium azide: a POISONOUS AND HAZARDOUS SUBSTANCE which should be handled by trained staff only.

    Storage

    -20 °C

    Storage Comment

    Store at -20°C. Avoid freeze / thaw cycles.
  • Target

    HPD (4-Hydroxyphenylpyruvate Dioxygenase (HPD))

    Alternative Name

    HPD

    Background

    The protein encoded by this gene is an enzyme in the catabolic pathway of tyrosine. The encoded protein catalyzes the conversion of 4-hydroxyphenylpyruvate to homogentisate. Defects in this gene are a cause of tyrosinemia type 3 (TYRO3) and hawkinsinuria (HAWK). Two transcript variants encoding different isoforms have been found for this gene.,HPD,4-HPPD,4HPPD,GLOD3,HPPDASE,PPD,Cancer,Signal Transduction,Cell Biology & Developmental Biology,Endocrine & Metabolism,Amino acid metabolism,HPD

    Molecular Weight

    40 kDa/44 kDa

    Gene ID

    3242

    UniProt

    P32754
You are here:
Chat with us!