Phone:
+1 877 302 8632
Fax:
+1 888 205 9894 (Toll-free)
E-Mail:
orders@antibodies-online.com

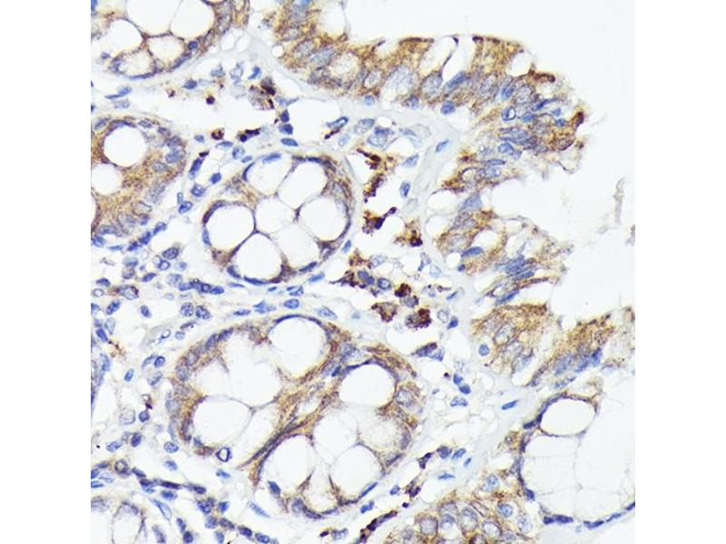
IL1A antibody (AA 112-271)

The Rabbit Polyclonal anti-IL1A antibody is suitable to detect IL1A in samples from Human. It has been validated for WB and IHC.
Catalog No. ABIN6142331
$383.00
Plus shipping costs $50.00
Shipping to: United States
Delivery in 7 to 10 Business Days

Quick Overview for IL1A antibody (AA 112-271) (ABIN6142331)

Target

See all IL1A Antibodies
IL1A (Interleukin 1 alpha (IL1A))

Reactivity

  • 127
  • 58
  • 40
  • 12
  • 11
  • 9
  • 8
  • 6
  • 5
  • 4
  • 4
  • 3
  • 2
Human

Host

  • 134
  • 58
  • 9
  • 7
  • 5
  • 3
  • 2
  • 1
  • 1
  • 1
Rabbit

Clonality

  • 151
  • 66
  • 2
Polyclonal

Conjugate

  • 117
  • 39
  • 14
  • 11
  • 9
  • 7
  • 3
  • 1
  • 1
  • 1
  • 1
  • 1
  • 1
  • 1
  • 1
  • 1
  • 1
  • 1
  • 1
  • 1
  • 1
  • 1
  • 1
  • 1
  • 1
  • 1
  • 1
This IL1A antibody is un-conjugated

Application

  • 149
  • 75
  • 73
  • 40
  • 37
  • 33
  • 19
  • 12
  • 12
  • 7
  • 7
  • 4
  • 4
  • 3
  • 3
  • 3
  • 2
  • 2
  • 2
  • 1
  • 1
  • 1
  • 1
  • 1
Western Blotting (WB), Immunohistochemistry (IHC)
  • Binding Specificity

    • 27
    • 16
    • 7
    • 7
    • 7
    • 5
    • 4
    • 4
    • 4
    • 3
    • 3
    • 2
    • 2
    • 2
    • 2
    • 2
    • 1
    • 1
    • 1
    • 1
    • 1
    • 1
    • 1
    • 1
    • 1
    • 1
    • 1
    • 1
    • 1
    • 1
    • 1
    AA 112-271

    Sequence

    RSAPFSFLSN VKYNFMRIIK YEFILNDALN QSIIRANDQY LTAAALHNLD EAVKFDMGAY KSSKDDAKIT VILRISKTQL YVTAQDEDQP VLLKEMPEIP KTITGSETNL LFFWETHGTK NYFTSVAHPN LFIATKQDYW VCLAGGPPSI TDFQILENQA

    Cross-Reactivity

    Human, Mouse, Rat

    Characteristics

    Polyclonal Antibodies

    Immunogen

    Recombinant fusion protein containing a sequence corresponding to amino acids 112-271 of human IL1A (NP_000566.3).

    Isotype

    IgG
  • Application Notes

    WB,1:500 - 1:2000,IHC,1:50 - 1:100

    Comment

    HIGH QUALITY

    Restrictions

    For Research Use only
  • Format

    Liquid

    Buffer

    PBS with 0.02 % sodium azide,50 % glycerol, pH 7.3.

    Preservative

    Sodium azide

    Precaution of Use

    This product contains Sodium azide: a POISONOUS AND HAZARDOUS SUBSTANCE which should be handled by trained staff only.

    Storage

    -20 °C

    Storage Comment

    Store at -20°C. Avoid freeze / thaw cycles.
  • Target

    IL1A (Interleukin 1 alpha (IL1A))

    Alternative Name

    IL1A

    Background

    The protein encoded by this gene is a member of the interleukin 1 cytokine family. This cytokine is a pleiotropic cytokine involved in various immune responses, inflammatory processes, and hematopoiesis. This cytokine is produced by monocytes and macrophages as a proprotein, which is proteolytically processed and released in response to cell injury, and thus induces apoptosis. This gene and eight other interleukin 1 family genes form a cytokine gene cluster on chromosome 2. It has been suggested that the polymorphism of these genes is associated with rheumatoid arthritis and Alzheimer's disease.,IL1A,IL-1A,IL1,IL1-ALPHA,IL1F1,Cell Biology & Developmental Biology,Apoptosis,Growth factor,Endocrine & Metabolism,Endocrine and metabolic diseases,Obesity,Immunology & Inflammation,Cytokines,Interleukins,NF-kB Signaling Pathway,Cell Intrinsic Innate Immunity Signaling Pathway,Neuroscience,Neurodegenerative Diseases,IL1A

    Molecular Weight

    30 kDa

    Gene ID

    3552

    UniProt

    P01583

    Pathways

    NF-kappaB Signaling, Autophagy, Cancer Immune Checkpoints
You are here:
Chat with us!