Phone:
+1 877 302 8632
Fax:
+1 888 205 9894 (Toll-free)
E-Mail:
orders@antibodies-online.com

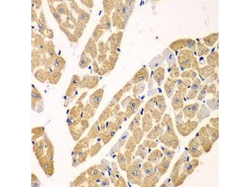
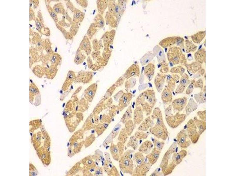
KYNU antibody (AA 1-307)

The Rabbit Polyclonal anti-KYNU antibody (ABIN6143051) specifically detects KYNU in WB, IHC and IF. The antibody is reactive with Human samples.
Catalog No. ABIN6143051
$383.00
Plus shipping costs $50.00
Shipping to: United States
Delivery in 7 to 10 Business Days

Quick Overview for KYNU antibody (AA 1-307) (ABIN6143051)

Target

See all KYNU Antibodies
KYNU (Kynureninase (L-Kynurenine Hydrolase) (KYNU))

Reactivity

  • 39
  • 9
  • 6
  • 4
  • 3
  • 3
  • 2
  • 2
  • 2
  • 1
  • 1
Human

Host

  • 31
  • 9
  • 1
  • 1
Rabbit

Clonality

  • 34
  • 8
Polyclonal

Conjugate

  • 32
  • 2
  • 1
  • 1
  • 1
  • 1
  • 1
  • 1
  • 1
  • 1
This KYNU antibody is un-conjugated

Application

  • 29
  • 16
  • 13
  • 6
  • 5
  • 2
  • 2
  • 2
  • 2
  • 1
  • 1
Western Blotting (WB), Immunohistochemistry (IHC), Immunofluorescence (IF)
  • Binding Specificity

    • 6
    • 4
    • 3
    • 3
    • 2
    • 2
    • 2
    • 2
    • 1
    • 1
    • 1
    • 1
    • 1
    • 1
    • 1
    AA 1-307

    Sequence

    MEPSSLELPA DTVQRIAAEL KCHPTDERVA LHLDEEDKLR HFRECFYIPK IQDLPPVDLS LVNKDENAIY FLGNSLGLQP KMVKTYLEEE LDKWAKIAAY GHEVGKRPWI TGDESIVGLM KDIVGANEKE IALMNALTVN LHLLMLSFFK PTPKRYKILL EAKAFPSDHY AIESQLQLHG LNIEESMRMI KPREGEETLR IEDILEVIEK EGDSIAVILF SGVHFYTGQH FNIPAITKAG QAKGCYVGFD LAHAVGNVEL YLHDWGVDFA CWCSYKYLNA GAGGIAGAFI HEKHAHTIKP ARSEFFN

    Cross-Reactivity

    Human, Mouse, Rat

    Characteristics

    Polyclonal Antibodies

    Immunogen

    Recombinant fusion protein containing a sequence corresponding to amino acids 1-307 of human KYNU (NP_001028170.1).

    Isotype

    IgG
  • Application Notes

    WB,1:500 - 1:2000,IHC,1:50 - 1:100,IF,1:50 - 1:100

    Comment

    HIGH QUALITY

    Restrictions

    For Research Use only
  • Format

    Liquid

    Buffer

    PBS with 0.02 % sodium azide,50 % glycerol, pH 7.3.

    Preservative

    Sodium azide

    Precaution of Use

    This product contains Sodium azide: a POISONOUS AND HAZARDOUS SUBSTANCE which should be handled by trained staff only.

    Storage

    -20 °C

    Storage Comment

    Store at -20°C. Avoid freeze / thaw cycles.
  • Target

    KYNU (Kynureninase (L-Kynurenine Hydrolase) (KYNU))

    Alternative Name

    KYNU

    Background

    Kynureninase is a pyridoxal-5'-phosphate (pyridoxal-P) dependent enzyme that catalyzes the cleavage of L-kynurenine and L-3-hydroxykynurenine into anthranilic and 3-hydroxyanthranilic acids, respectively. Kynureninase is involved in the biosynthesis of NAD cofactors from tryptophan through the kynurenine pathway. Alternative splicing results in multiple transcript variants.,KYNU,KYNUU,Cancer,Signal Transduction,Endocrine & Metabolism,Amino acid metabolism,KYNU

    Molecular Weight

    34 kDa/52 kDa

    Gene ID

    8942

    UniProt

    Q16719
You are here:
Chat with us!