LARP1B antibody (AA 170-320)
Quick Overview for LARP1B antibody (AA 170-320) (ABIN6143090)
Target
See all LARP1B AntibodiesReactivity
Host
Clonality
Conjugate
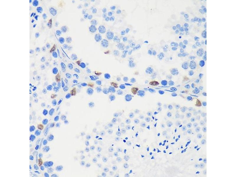
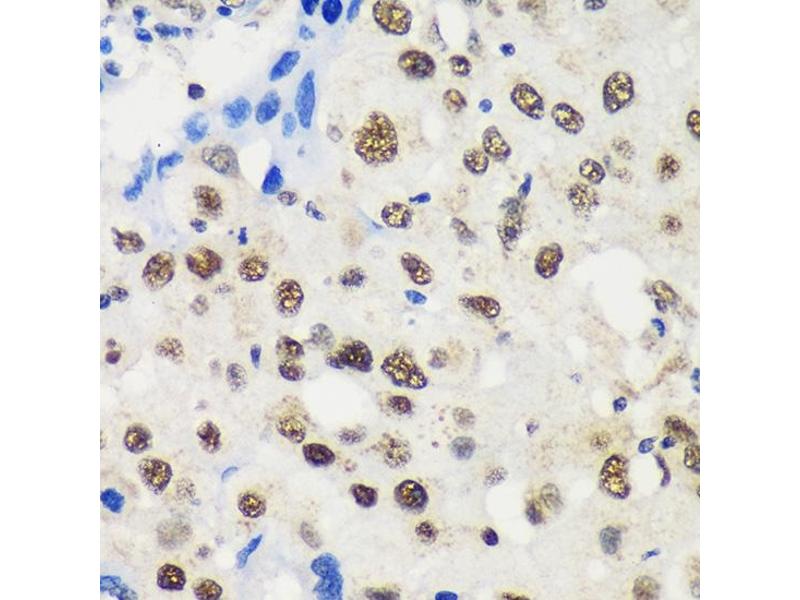
Application
-
-
Binding Specificity
- AA 170-320
-
Sequence
- FDYSYGYQEH GERTDQPFQT ELNTSMMYYY DDGTGVQVYP VEEALLKEYI KRQIEYYFSV ENLERDFFLR GKMDEQGFLP ISLIAGFQRV QALTTNLNLI LEALKDSTEV EIVDEKMRKK IEPEKWPIPG PPPRSVPPTD FSQLIDCPEF V
-
Cross-Reactivity
- Human, Mouse, Rat
-
Characteristics
- Polyclonal Antibodies
-
Immunogen
- Recombinant fusion protein containing a sequence corresponding to amino acids 170-320 of human LARP1B (NP_060548.2).
-
Isotype
- IgG
-
-
-
-
Application Notes
- WB,1:500 - 1:2000,IHC,1:50 - 1:200
-
Comment
-
HIGH QUALITY
-
Restrictions
- For Research Use only
-
-
-
Format
- Liquid
-
Buffer
- PBS with 0.02 % sodium azide,50 % glycerol, pH 7.3.
-
Preservative
- Sodium azide
-
Precaution of Use
- This product contains Sodium azide: a POISONOUS AND HAZARDOUS SUBSTANCE which should be handled by trained staff only.
-
Storage
- -20 °C
-
Storage Comment
- Store at -20°C. Avoid freeze / thaw cycles.
-
-
- LARP1B (La Ribonucleoprotein Domain Family, Member 1B (LARP1B))
-
Alternative Name
- LARP1B
-
Background
- This gene encodes a protein containing domains found in the La related protein of Drosophila melanogaster. La motif-containing proteins are thought to be RNA-binding proteins, where the La motif and adjacent amino acids fold into an RNA recognition motif. The La motif is also found in proteins unrelated to the La protein. Alternative splicing has been observed at this locus and multiple variants, encoding distinct isoforms, are described. Additional splice variation has been identified but the full-length nature of these transcripts has not been determined.,LARP1B,LARP2,Cell Biology & Developmental Biology,LARP1B
-
Molecular Weight
- 14 kDa/24-38 kDa/90-105 kDa
-
Gene ID
- 55132
-
UniProt
- Q659C4
Target
-