Phone:
+1 877 302 8632
Fax:
+1 888 205 9894 (Toll-free)
E-Mail:
orders@antibodies-online.com

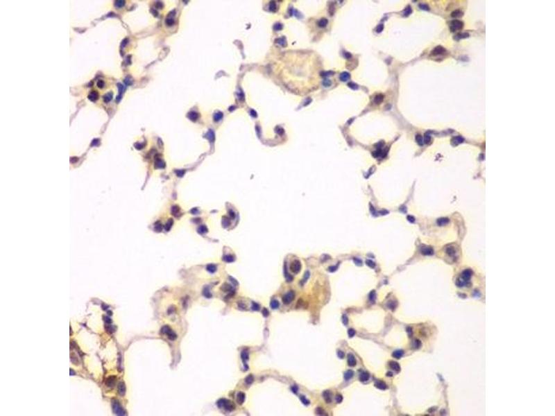
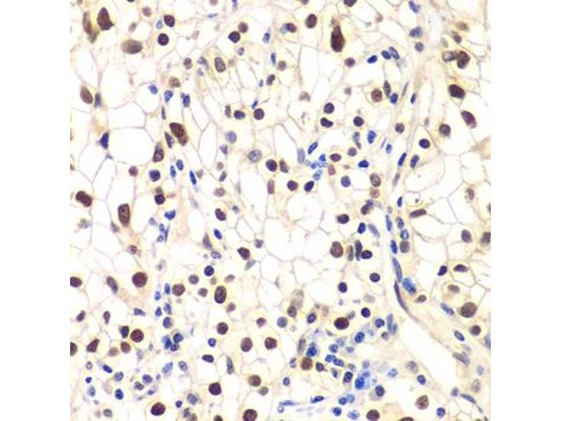
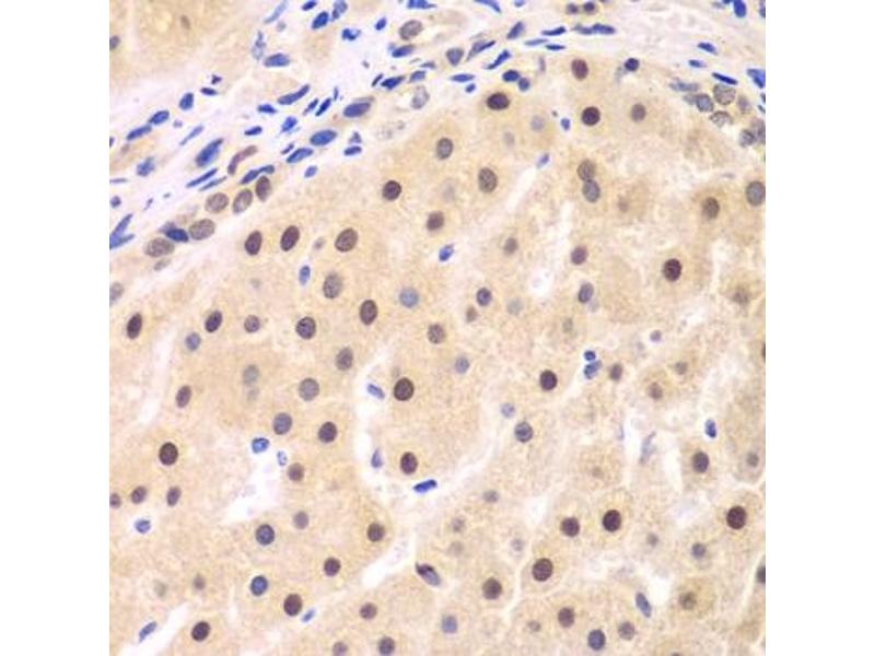
NFKBIB antibody (AA 1-356)

The Rabbit Polyclonal anti-NFKBIB antibody (ABIN6144584) specifically detects NFKBIB in WB and IHC. The antibody is reactive with Human samples.
Catalog No. ABIN6144584
$383.00
Plus shipping costs $50.00
Shipping to: United States
Delivery in 7 to 10 Business Days

Quick Overview for NFKBIB antibody (AA 1-356) (ABIN6144584)

Target

See all NFKBIB Antibodies
NFKBIB (NF-kappa-B inhibitor beta (NFKBIB))

Reactivity

  • 115
  • 36
  • 29
  • 9
  • 8
  • 8
  • 7
  • 5
  • 4
  • 1
  • 1
  • 1
Human

Host

  • 107
  • 9
Rabbit

Clonality

  • 87
  • 29
Polyclonal

Conjugate

  • 60
  • 6
  • 3
  • 3
  • 3
  • 3
  • 3
  • 3
  • 3
  • 3
  • 2
  • 2
  • 2
  • 2
  • 2
  • 2
  • 2
  • 2
  • 2
  • 2
  • 2
  • 1
  • 1
  • 1
  • 1
This NFKBIB antibody is un-conjugated

Application

  • 93
  • 39
  • 36
  • 28
  • 27
  • 21
  • 19
  • 18
  • 13
  • 8
  • 3
  • 1
Western Blotting (WB), Immunohistochemistry (IHC)
  • Binding Specificity

    • 28
    • 15
    • 8
    • 6
    • 4
    • 4
    • 2
    • 2
    • 2
    • 1
    • 1
    • 1
    • 1
    • 1
    • 1
    • 1
    • 1
    • 1
    • 1
    • 1
    • 1
    • 1
    • 1
    • 1
    • 1
    • 1
    • 1
    AA 1-356

    Sequence

    MAGVACLGKA ADADEWCDSG LGSLGPDAAA PGGPGLGAEL GPGLSWAPLV FGYVTEDGDT ALHLAVIHQH EPFLDFLLGF SAGTEYMDLQ NDLGQTALHL AAILGETSTV EKLYAAGAGL CVAERRGHTA LHLACRVGAH ACARALLQPR PRRPREAPDT YLAQGPDRTP DTNHTPVALY PDSDLEKEEE ESEEDWKLQL EAENYEGHTP LHVAVIHKDV EMVRLLRDAG ADLDKPEPTC GRSPLHLAVE AQAADVLELL LRAGANPAAR MYGGRTPLGS AMLRPNPILA RLLRAHGAPE PEGEDEKSGP CSSSSDSDSG DEGDEYDDIV VHSSRSQTRL PPTPASKPLP DDPRPV

    Cross-Reactivity

    Human, Mouse, Rat

    Characteristics

    Polyclonal Antibodies

    Immunogen

    Recombinant fusion protein containing a sequence corresponding to amino acids 1-356 of human NFKBIB (NP_002494.2).

    Isotype

    IgG
  • Application Notes

    WB,1:500 - 1:2000,IHC,1:50 - 1:200

    Comment

    HIGH QUALITY

    Restrictions

    For Research Use only
  • Format

    Liquid

    Buffer

    PBS with 0.02 % sodium azide,50 % glycerol, pH 7.3.

    Preservative

    Sodium azide

    Precaution of Use

    This product contains Sodium azide: a POISONOUS AND HAZARDOUS SUBSTANCE which should be handled by trained staff only.

    Storage

    -20 °C

    Storage Comment

    Store at -20°C. Avoid freeze / thaw cycles.
  • Target

    NFKBIB (NF-kappa-B inhibitor beta (NFKBIB))

    Alternative Name

    NFKBIB

    Background

    The protein encoded by this gene belongs to the NF-kappa-B inhibitor family, which inhibit NF-kappa-B by complexing with, and trapping it in the cytoplasm. Phosphorylation of serine residues on these proteins by kinases marks them for destruction via the ubiquitination pathway, thereby allowing activation of the NF-kappa-B, which translocates to the nucleus to function as a transcription factor. Alternatively spliced transcript variants have been found for this gene.,NFKBIB,IKBB,TRIP9,Epigenetics & Nuclear Signaling,Transcription Factors,Signal Transduction,Cell Biology & Developmental Biology,Apoptosis,Inhibition of Apoptosis,Death Receptor Signaling Pathway,Immunology & Inflammation,B Cell Receptor Signaling Pathway,T Cell Receptor Signaling Pathway,NF-kB Signaling Pathway,Toll-like Receptor Signaling Pathway,Cell Intrinsic Innate Immunity Signaling Pathway,TLR Signaling,NFKBIB

    Molecular Weight

    35 kDa/37 kDa

    Gene ID

    4793

    UniProt

    Q15653

    Pathways

    NF-kappaB Signaling, Activation of Innate immune Response, Maintenance of Protein Location, Toll-Like Receptors Cascades
You are here:
Chat with us!