Phone:
+1 877 302 8632
Fax:
+1 888 205 9894 (Toll-free)
E-Mail:
orders@antibodies-online.com

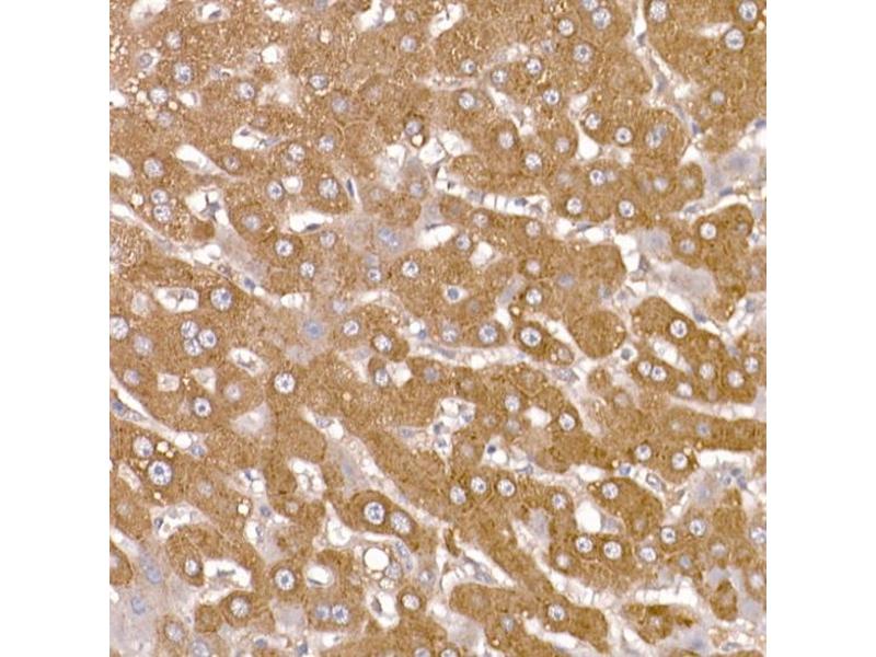
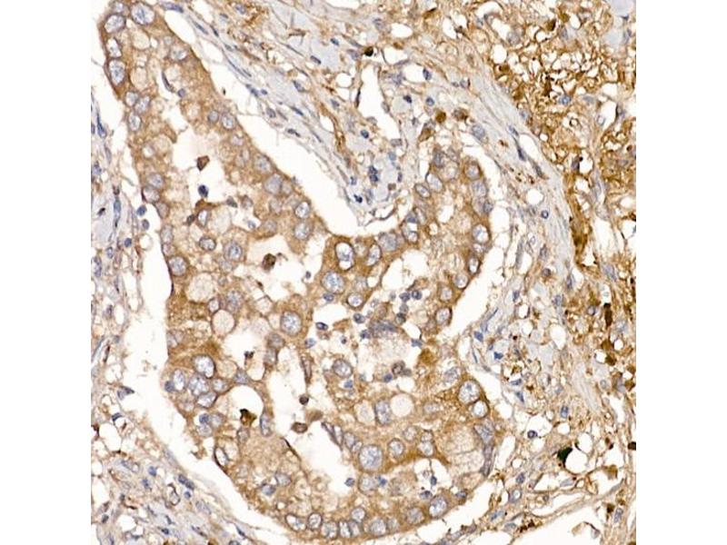
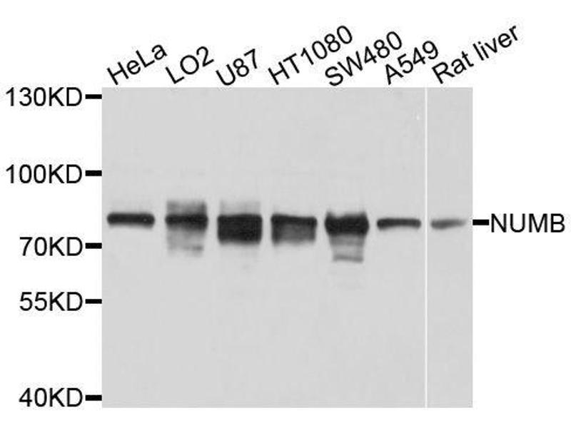
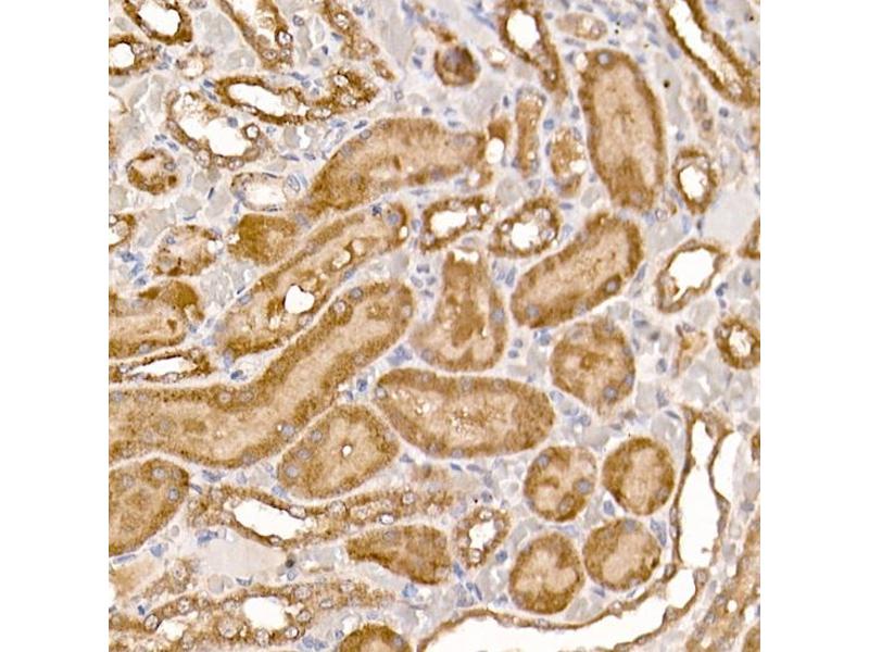
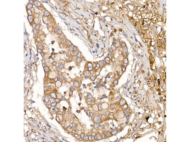
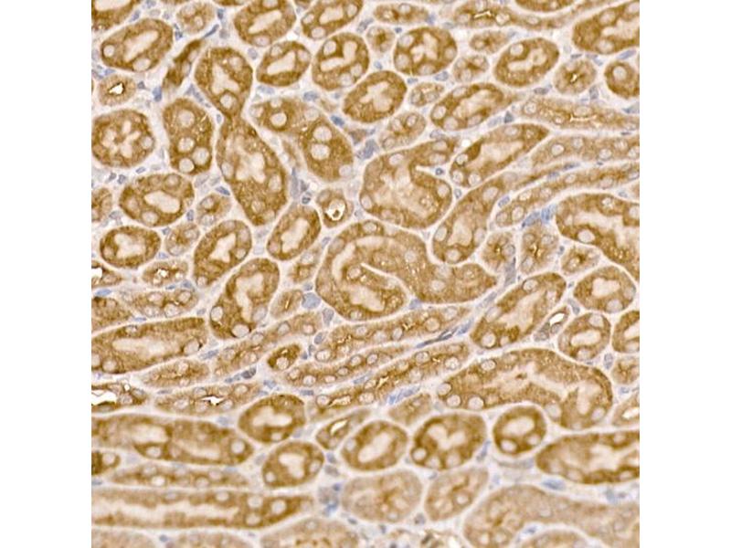
NUMB antibody (AA 521-640)

The Rabbit Polyclonal anti-NUMB antibody is suitable to detect NUMB in samples from Human. It has been validated for WB, IHC and IF.
Catalog No. ABIN6144943
$383.00
Plus shipping costs $50.00
Shipping to: United States
Delivery in 7 to 10 Business Days

Quick Overview for NUMB antibody (AA 521-640) (ABIN6144943)

Target

See all NUMB Antibodies
NUMB (Numb Homolog (NUMB))

Reactivity

  • 70
  • 57
  • 30
  • 6
  • 4
  • 4
  • 4
  • 3
  • 2
  • 1
  • 1
  • 1
  • 1
  • 1
  • 1
  • 1
  • 1
Human

Host

  • 75
  • 10
  • 2
  • 1
Rabbit

Clonality

  • 57
  • 31
Polyclonal

Conjugate

  • 51
  • 4
  • 3
  • 3
  • 3
  • 3
  • 3
  • 3
  • 1
  • 1
  • 1
  • 1
  • 1
  • 1
  • 1
  • 1
  • 1
  • 1
  • 1
  • 1
  • 1
  • 1
  • 1
This NUMB antibody is un-conjugated

Application

  • 72
  • 24
  • 17
  • 14
  • 14
  • 13
  • 13
  • 9
  • 9
  • 7
  • 3
  • 2
  • 1
  • 1
Western Blotting (WB), Immunohistochemistry (IHC), Immunofluorescence (IF)
  • Binding Specificity

    • 15
    • 6
    • 5
    • 4
    • 4
    • 4
    • 3
    • 2
    • 2
    • 1
    • 1
    • 1
    • 1
    • 1
    • 1
    • 1
    • 1
    • 1
    • 1
    AA 521-640

    Sequence

    SQMVANVFGT AGHPQAAHPH QSPSLVRQQT FPHYEASSAT TSPFFKPPAQ HLNGSAAFNG VDDGRLASAD RHTEVPTGTC PVDPFEAQWA ALENKSKQRT NPSPTNPFSS DLQKTFEIEL

    Cross-Reactivity

    Human, Mouse, Rat

    Characteristics

    Polyclonal Antibodies

    Immunogen

    Recombinant fusion protein containing a sequence corresponding to amino acids 521-640 of human NUMB (NP_003735.3).

    Isotype

    IgG
  • Application Notes

    WB,1:500 - 1:2000,IHC,1:50 - 1:200,IF,1:50 - 1:200

    Comment

    HIGH QUALITY

    Restrictions

    For Research Use only
  • Format

    Liquid

    Buffer

    PBS with 0.02 % sodium azide,50 % glycerol, pH 7.3.

    Preservative

    Sodium azide

    Precaution of Use

    This product contains Sodium azide: a POISONOUS AND HAZARDOUS SUBSTANCE which should be handled by trained staff only.

    Storage

    -20 °C

    Storage Comment

    Store at -20°C. Avoid freeze / thaw cycles.
  • Target

    NUMB (Numb Homolog (NUMB))

    Alternative Name

    NUMB

    Background

    The protein encoded by this gene plays a role in the determination of cell fates during development. The encoded protein, whose degradation is induced in a proteasome-dependent manner by MDM2, is a membrane-bound protein that has been shown to associate with EPS15, LNX1, and NOTCH1. Alternative splicing results in multiple transcript variants.,NUMB,C14orf41,S171,c14_5527,Signal Transduction,Cell Biology & Developmental Biology,Notch Signaling Pathway,Neuroscience,Stem Cells,NUMB

    Molecular Weight

    37 kDa/48-70 kDa

    Gene ID

    8650

    UniProt

    P49757

    Pathways

    Cell-Cell Junction Organization
You are here:
Chat with us!