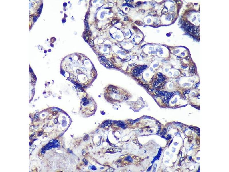
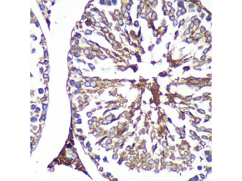
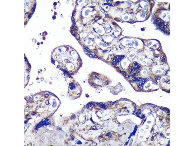
PASK antibody (AA 1194-1323)
Quick Overview for PASK antibody (AA 1194-1323) (ABIN6145248)
Target
See all PASK AntibodiesReactivity
Host
Clonality
Conjugate
Application
-
-
Binding Specificity
- AA 1194-1323
-
Sequence
- YTLVFEENPF CELEETVEAA IHPPYLVSKE LMSLVSGLLQ PVPERRTTLE KLVTDPWVTQ PVNLADYTWE EVFRVNKPES GVLSAASLEM GNRSLSDVAQ AQELCGGPVP GEAPNGQGCL HPGDPRLLTS
-
Cross-Reactivity
- Human, Mouse, Rat
-
Characteristics
- Polyclonal Antibodies
-
Immunogen
- Recombinant fusion protein containing a sequence corresponding to amino acids 1194-1323 of human PASK (NP_055963.2).
-
Isotype
- IgG
-
-
-
-
Application Notes
- WB,1:500 - 1:2000,IHC,1:50 - 1:200,IF,1:50 - 1:200
-
Comment
-
HIGH QUALITY
-
Restrictions
- For Research Use only
-
-
-
Format
- Liquid
-
Buffer
- PBS with 0.02 % sodium azide,50 % glycerol, pH 7.3.
-
Preservative
- Sodium azide
-
Precaution of Use
- This product contains Sodium azide: a POISONOUS AND HAZARDOUS SUBSTANCE which should be handled by trained staff only.
-
Storage
- -20 °C
-
Storage Comment
- Store at -20°C. Avoid freeze / thaw cycles.
-
-
- PASK (PAS Domain Containing Serine/threonine Kinase (PASK))
-
Alternative Name
- PASK
-
Background
- This gene encodes a member of the serine/threonine kinase family that contains two PAS domains. Expression of this gene is regulated by glucose, and the encoded protein plays a role in the regulation of insulin gene expression. Downregulation of this gene may play a role in type 2 diabetes. Alternatively spliced transcript variants encoding multiple isoforms have been observed for this gene.,PASK,PASKIN,STK37,Signal Transduction,Kinase,PASK
-
Molecular Weight
- 123 kDa/142 kDa/143 kDa
-
Gene ID
- 23178
-
UniProt
- Q96RG2
-
Pathways
- Regulation of Carbohydrate Metabolic Process
Target
-