Phone:
+1 877 302 8632
Fax:
+1 888 205 9894 (Toll-free)
E-Mail:
orders@antibodies-online.com

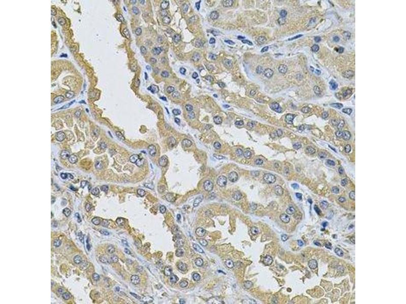
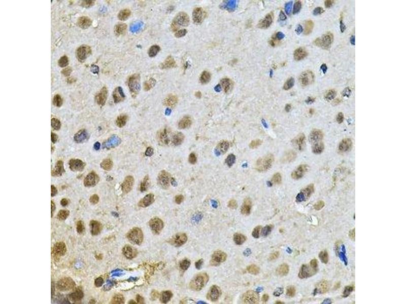
PPID antibody (AA 161-370)

The Rabbit Polyclonal anti-PPID antibody is suitable to detect PPID in samples from Human. It has been validated for WB and IF.
Catalog No. ABIN6146025
$383.00
Plus shipping costs $50.00
Shipping to: United States
Delivery in 7 to 10 Business Days

Quick Overview for PPID antibody (AA 161-370) (ABIN6146025)

Target

See all PPID Antibodies
PPID (Peptidylprolyl Isomerase D (PPID))

Reactivity

  • 61
  • 34
  • 30
  • 5
  • 4
  • 4
  • 4
  • 4
  • 4
  • 3
  • 3
  • 2
  • 1
  • 1
  • 1
Human

Host

  • 54
  • 8
  • 1
Rabbit

Clonality

  • 44
  • 19
Polyclonal

Conjugate

  • 50
  • 1
  • 1
  • 1
  • 1
  • 1
  • 1
  • 1
  • 1
  • 1
  • 1
  • 1
  • 1
  • 1
This PPID antibody is un-conjugated

Application

  • 53
  • 31
  • 24
  • 24
  • 20
  • 16
  • 11
  • 5
  • 2
  • 1
  • 1
Western Blotting (WB), Immunofluorescence (IF)
  • Binding Specificity

    • 13
    • 4
    • 4
    • 2
    • 2
    • 2
    • 2
    • 2
    • 1
    • 1
    • 1
    • 1
    • 1
    • 1
    • 1
    • 1
    • 1
    • 1
    • 1
    AA 161-370

    Sequence

    ILENVEVKGE KPAKLCVIAE CGELKEGDDG GIFPKDGSGD SHPDFPEDAD IDLKDVDKIL LITEDLKNIG NTFFKSQNWE MAIKKYAEVL RYVDSSKAVI ETADRAKLQP IALSCVLNIG ACKLKMSNWQ GAIDSCLEAL ELDPSNTKAL YRRAQGWQGL KEYDQALADL KKAQGIAPED KAIQAELLKV KQKIKAQKDK EKAVYAKMFA

    Cross-Reactivity

    Human, Mouse, Rat

    Characteristics

    Polyclonal Antibodies

    Immunogen

    Recombinant fusion protein containing a sequence corresponding to amino acids 161-370 of human Cyclophilin 40 (NP_005029.1).

    Isotype

    IgG
  • Application Notes

    WB,1:500 - 1:2000,IF,1:50 - 1:100

    Comment

    HIGH QUALITY

    Restrictions

    For Research Use only
  • Format

    Liquid

    Buffer

    PBS with 0.02 % sodium azide,50 % glycerol, pH 7.3.

    Preservative

    Sodium azide

    Precaution of Use

    This product contains Sodium azide: a POISONOUS AND HAZARDOUS SUBSTANCE which should be handled by trained staff only.

    Storage

    -20 °C

    Storage Comment

    Store at -20°C. Avoid freeze / thaw cycles.
  • Target

    PPID (Peptidylprolyl Isomerase D (PPID))

    Alternative Name

    PPID

    Background

    The protein encoded by this gene is a member of the peptidyl-prolyl cis-trans isomerase (PPIase) family. PPIases catalyze the cis-trans isomerization of proline imidic peptide bonds in oligopeptides and accelerate the folding of proteins. This protein has been shown to possess PPIase activity and, similar to other family members, can bind to the immunosuppressant cyclosporin A.,PPID,CYP-40,CYPD,Immunology & Inflammation,Neuroscience,Neurodegenerative Diseases,PPID

    Molecular Weight

    40 kDa

    Gene ID

    5481

    UniProt

    Q08752

    Pathways

    Nuclear Hormone Receptor Binding
You are here:
Chat with us!