Phone:
+1 877 302 8632
Fax:
+1 888 205 9894 (Toll-free)
E-Mail:
orders@antibodies-online.com

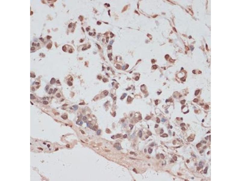
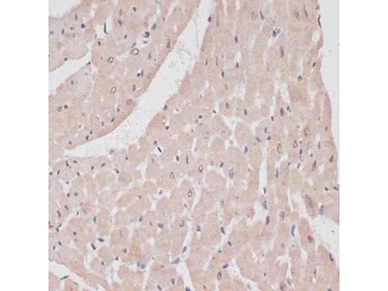
PRPF31 antibody (AA 1-200)

The Rabbit Polyclonal anti-PRPF31 antibody (ABIN6146262) specifically detects PRPF31 in WB and IHC. The antibody is reactive with Human samples.
Catalog No. ABIN6146262
$383.00
Plus shipping costs $50.00
Shipping to: United States
Delivery in 7 to 10 Business Days

Quick Overview for PRPF31 antibody (AA 1-200) (ABIN6146262)

Target

See all PRPF31 Antibodies
PRPF31 (Pre-mRNA Processing Factor 31 (PRPF31))

Reactivity

  • 58
  • 21
  • 15
  • 1
Human

Host

  • 50
  • 7
  • 2
Rabbit

Clonality

  • 33
  • 26
Polyclonal

Conjugate

  • 26
  • 4
  • 3
  • 3
  • 3
  • 3
  • 3
  • 3
  • 2
  • 2
  • 2
  • 2
  • 2
  • 1
This PRPF31 antibody is un-conjugated

Application

  • 51
  • 25
  • 18
  • 15
  • 12
  • 3
  • 1
  • 1
  • 1
Western Blotting (WB), Immunohistochemistry (IHC)
  • Binding Specificity

    • 9
    • 5
    • 5
    • 4
    • 1
    • 1
    • 1
    • 1
    • 1
    • 1
    • 1
    • 1
    AA 1-200

    Sequence

    MSLADELLAD LEEAAEEEEG GSYGEEEEEP AIEDVQEETQ LDLSGDSVKT IAKLWDSKMF AEIMMKIEEY ISKQAKASEV MGPVEAAPEY RVIVDANNLT VEIENELNII HKFIRDKYSK RFPELESLVP NALDYIRTVK ELGNSLDKCK NNENLQQILT NATIMVVSVT ASTTQGQQLS EEELERLEEA CDMALELNAS

    Cross-Reactivity

    Human, Mouse, Rat

    Characteristics

    Polyclonal Antibodies

    Immunogen

    Recombinant fusion protein containing a sequence corresponding to amino acids 1-200 of human PRPF31 (NP_056444.3).

    Isotype

    IgG
  • Application Notes

    WB,1:500 - 1:2000,IHC,1:50 - 1:100

    Restrictions

    For Research Use only
  • Format

    Liquid

    Buffer

    PBS with 0.02 % sodium azide,50 % glycerol, pH 7.3.

    Preservative

    Sodium azide

    Precaution of Use

    This product contains Sodium azide: a POISONOUS AND HAZARDOUS SUBSTANCE which should be handled by trained staff only.

    Storage

    -20 °C

    Storage Comment

    Store at -20°C. Avoid freeze / thaw cycles.
  • Target

    PRPF31 (Pre-mRNA Processing Factor 31 (PRPF31))

    Alternative Name

    PRPF31

    Background

    This gene encodes a component of the spliceosome complex and is one of several retinitis pigmentosa-causing genes. When the gene product is added to the spliceosome complex, activation occurs.,PRPF31,NY-BR-99,PRP31,RP11,SNRNP61,Epigenetics & Nuclear Signaling,RNA Binding,PRPF31

    Molecular Weight

    30 kDa/40 kDa/54 kDa/55 kDa

    Gene ID

    26121

    UniProt

    Q8WWY3

    Pathways

    Ribonucleoprotein Complex Subunit Organization
You are here:
Chat with us!