Phone:
+1 877 302 8632
Fax:
+1 888 205 9894 (Toll-free)
E-Mail:
orders@antibodies-online.com

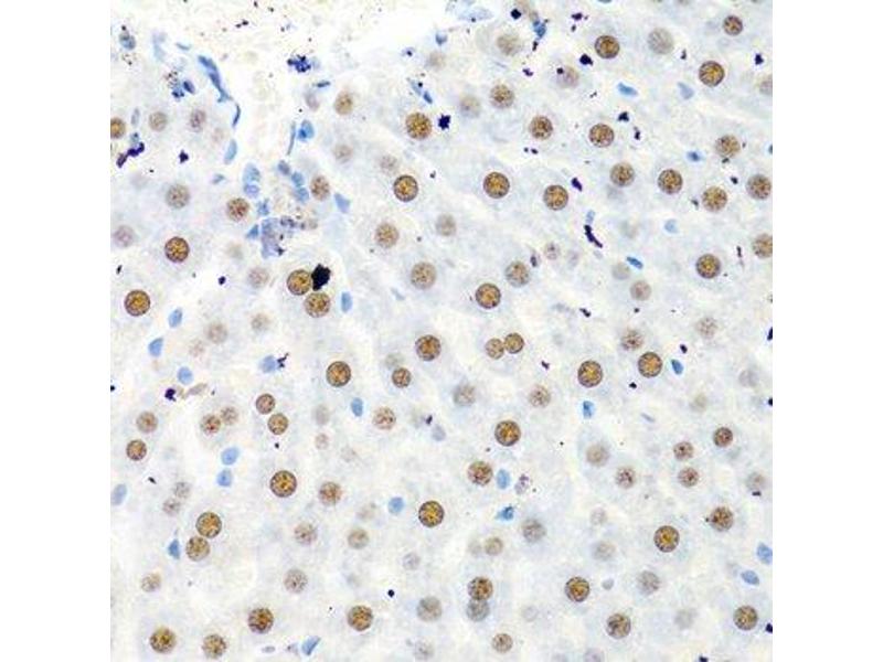
PTBP1 antibody (AA 1-100)

The Rabbit Polyclonal anti-PTBP1 antibody (ABIN6146371) specifically detects PTBP1 in WB, IHC and IF. The antibody is reactive with Human samples.
Catalog No. ABIN6146371
$383.00
Plus shipping costs $50.00
Shipping to: United States
Delivery in 7 to 10 Business Days

Quick Overview for PTBP1 antibody (AA 1-100) (ABIN6146371)

Target

See all PTBP1 Antibodies
PTBP1 (Polypyrimidine Tract Binding Protein 1 (PTBP1))

Reactivity

  • 77
  • 41
  • 38
  • 4
  • 4
  • 4
  • 3
  • 3
  • 3
  • 2
  • 2
  • 2
  • 2
  • 1
  • 1
  • 1
Human

Host

  • 69
  • 7
  • 1
Rabbit

Clonality

  • 39
  • 38
Polyclonal

Conjugate

  • 37
  • 5
  • 4
  • 4
  • 4
  • 4
  • 4
  • 4
  • 3
  • 2
  • 2
  • 2
  • 1
  • 1
This PTBP1 antibody is un-conjugated

Application

  • 58
  • 36
  • 21
  • 20
  • 16
  • 6
  • 5
  • 3
  • 2
  • 1
  • 1
Western Blotting (WB), Immunohistochemistry (IHC), Immunofluorescence (IF)
  • Binding Specificity

    • 8
    • 5
    • 5
    • 3
    • 2
    • 2
    • 2
    • 2
    • 1
    • 1
    • 1
    • 1
    AA 1-100

    Sequence

    MDGIVPDIAV GTKRGSDELF STCVTNGPFI MSSNSASAAN GNDSKKFKGD SRSAGVPSRV IHIRKLPIDV TEGEVISLGL PFGKVTNLLM LKGKNQAFIE

    Cross-Reactivity

    Human, Mouse, Rat

    Characteristics

    Polyclonal Antibodies

    Immunogen

    A synthetic peptide corresponding to a sequence within amino acids 1-100 of human PTBP1 (NP_114368.1).

    Isotype

    IgG
  • Application Notes

    WB,1:500 - 1:1000,IHC,1:100 - 1:200,IF,1:50 - 1:200

    Comment

    HIGH QUALITY

    Restrictions

    For Research Use only
  • Format

    Liquid

    Buffer

    PBS with 0.02 % sodium azide,50 % glycerol, pH 7.3.

    Preservative

    Sodium azide

    Precaution of Use

    This product contains Sodium azide: a POISONOUS AND HAZARDOUS SUBSTANCE which should be handled by trained staff only.

    Storage

    -20 °C

    Storage Comment

    Store at -20°C. Avoid freeze / thaw cycles.
  • Target

    PTBP1 (Polypyrimidine Tract Binding Protein 1 (PTBP1))

    Alternative Name

    PTBP1

    Background

    This gene belongs to the subfamily of ubiquitously expressed heterogeneous nuclear ribonucleoproteins (hnRNPs). The hnRNPs are RNA-binding proteins and they complex with heterogeneous nuclear RNA (hnRNA). These proteins are associated with pre-mRNAs in the nucleus and appear to influence pre-mRNA processing and other aspects of mRNA metabolism and transport. While all of the hnRNPs are present in the nucleus, some seem to shuttle between the nucleus and the cytoplasm. The hnRNP proteins have distinct nucleic acid binding properties. The protein encoded by this gene has four repeats of quasi-RNA recognition motif (RRM) domains that bind RNAs. This protein binds to the intronic polypyrimidine tracts that requires pre-mRNA splicing and acts via the protein degradation ubiquitin-proteasome pathway. It may also promote the binding of U2 snRNP to pre-mRNAs. This protein is localized in the nucleoplasm and it is also detected in the perinucleolar structure. Alternatively spliced transcript variants encoding different isoforms have been described.,PTBP1,HNRNP-I,HNRNPI,HNRPI,PTB,PTB-1,PTB-T,PTB2,PTB3,PTB4,pPTB,Epigenetics & Nuclear Signaling,RNA Binding,PTBP1

    Molecular Weight

    57 kDa/59 kDa

    Gene ID

    5725

    UniProt

    P26599

    Pathways

    Regulation of Muscle Cell Differentiation
You are here:
Chat with us!