SMEK1 antibody (AA 395-594)
Quick Overview for SMEK1 antibody (AA 395-594) (ABIN6148130)
Target
See all SMEK1 AntibodiesReactivity
Host
Clonality
Conjugate
Application
-
-
Binding Specificity
- AA 395-594
-
Sequence
- VQTFKGLKLR FEQQRERQDN PKLDSMRSIL RNHRYRRDAR TLEDEEEMWF NTDEDDMEDG EAVVSPSDKT KNDDDIMDPI SKFMERKKLK ESEEKEVLLK TNLSGRQSPS FKLSLSSGTK TNLTSQSSTT NLPGSPGSPG SPGSPGSPGS VPKNTSQTAA ITTKGGLVGL VDYPDDDEDD DEDEDKEDTL PLSKKAKFDS
-
Cross-Reactivity
- Human, Mouse, Rat
-
Characteristics
- Polyclonal Antibodies
-
Immunogen
- Recombinant fusion protein containing a sequence corresponding to amino acids 395-594 of human SMEK1 (NP_001271210.1).
-
Isotype
- IgG
-
-
-
-
Application Notes
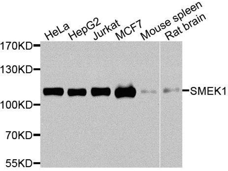
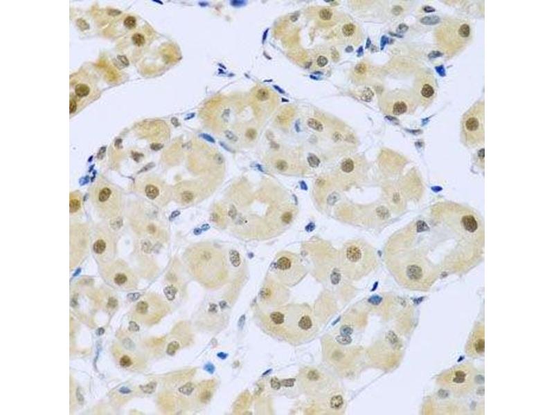
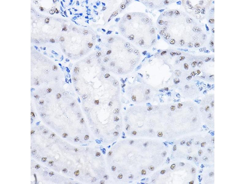
- WB,1:500 - 1:2000,IHC,1:50 - 1:100,IF,1:50 - 1:200
-
Comment
-
HIGH QUALITY
-
Restrictions
- For Research Use only
-
-
-
Format
- Liquid
-
Buffer
- PBS with 0.02 % sodium azide,50 % glycerol, pH 7.3.
-
Preservative
- Sodium azide
-
Precaution of Use
- This product contains Sodium azide: a POISONOUS AND HAZARDOUS SUBSTANCE which should be handled by trained staff only.
-
Storage
- -20 °C
-
Storage Comment
- Store at -20°C. Avoid freeze / thaw cycles.
-
-
- SMEK1 (Serine/threonine-Protein Phosphatase 4 Regulatory Subunit 3A (SMEK1))
-
Alternative Name
- SMEK1
-
Background
- Regulatory subunit of serine/threonine-protein phosphatase 4. May regulate the activity of PPP4C at centrosomal microtubule organizing centers. The PPP4C-PPP4R2-PPP4R3A PP4 complex specifically dephosphorylates H2AX phosphorylated on 'Ser-140' (gamma-H2AX generated during DNA replication and required for DNA DSB repair.,PPP4R3A,FLFL1,KIAA2010,MSTP033,PP4R3,PP4R3A,SMEK1,smk-1,smk1,Epigenetics & Nuclear Signaling,SMEK1
-
Molecular Weight
- 62 kDa/67 kDa/93 kDa/95 kDa
-
Gene ID
- 55671
-
UniProt
- Q6IN85
-
Pathways
- Regulation of Carbohydrate Metabolic Process
Target
-