Phone:
+1 877 302 8632
Fax:
+1 888 205 9894 (Toll-free)
E-Mail:
orders@antibodies-online.com

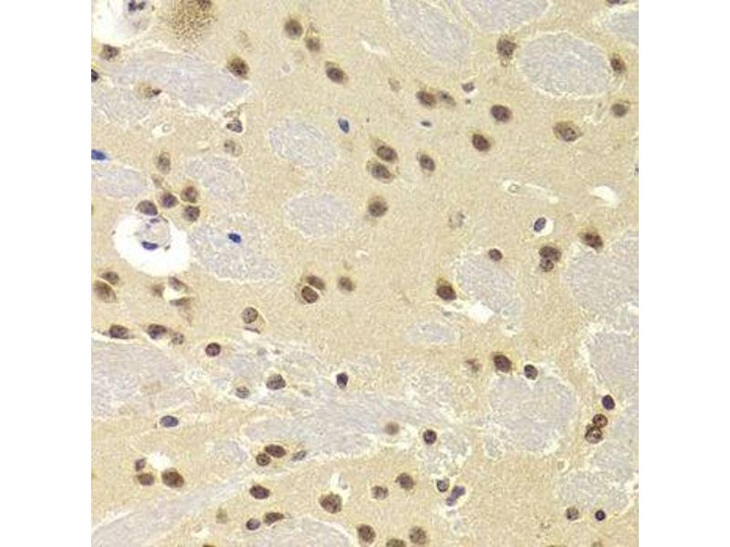
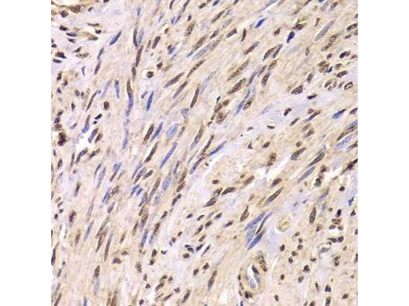
SNRPA1 antibody (AA 1-282)

The Rabbit Polyclonal anti-SNRPA1 antibody is suitable to detect SNRPA1 in samples from Human. It has been validated for WB, IHC and IF.
Catalog No. ABIN6148210
$383.00
Plus shipping costs $50.00
Shipping to: United States
Delivery in 7 to 10 Business Days

Quick Overview for SNRPA1 antibody (AA 1-282) (ABIN6148210)

Target

See all SNRPA1 (SNRPA) Antibodies
SNRPA1 (SNRPA) (Small Nuclear Ribonucleoprotein Polypeptide A (SNRPA))

Reactivity

  • 94
  • 57
  • 46
  • 8
  • 6
  • 6
  • 6
  • 6
  • 4
  • 4
  • 3
  • 3
  • 2
  • 1
  • 1
  • 1
  • 1
  • 1
Human

Host

  • 90
  • 6
Rabbit

Clonality

  • 62
  • 34
Polyclonal

Conjugate

  • 44
  • 9
  • 5
  • 5
  • 5
  • 5
  • 5
  • 5
  • 4
  • 3
  • 2
  • 2
  • 1
  • 1
This SNRPA1 antibody is un-conjugated

Application

  • 69
  • 39
  • 25
  • 23
  • 14
  • 14
  • 7
  • 3
  • 1
  • 1
  • 1
  • 1
  • 1
Western Blotting (WB), Immunohistochemistry (IHC), Immunofluorescence (IF)
  • Binding Specificity

    • 6
    • 5
    • 5
    • 4
    • 3
    • 3
    • 2
    • 2
    • 2
    • 2
    • 1
    • 1
    • 1
    • 1
    • 1
    • 1
    • 1
    • 1
    AA 1-282

    Sequence

    MAVPETRPNH TIYINNLNEK IKKDELKKSL YAIFSQFGQI LDILVSRSLK MRGQAFVIFK EVSSATNALR SMQGFPFYDK PMRIQYAKTD SDIIAKMKGT FVERDRKREK RKPKSQETPA TKKAVQGGGA TPVVGAVQGP VPGMPPMTQA PRIMHHMPGQ PPYMPPPGMI PPPGLAPGQI PPGAMPPQQL MPGQMPPAQP LSENPPNHIL FLTNLPEETN ELMLSMLFNQ FPGFKEVRLV PGRHDIAFVE FDNEVQAGAA RDALQGFKIT QNNAMKISFA KK

    Cross-Reactivity

    Human, Mouse, Rat

    Characteristics

    Polyclonal Antibodies

    Immunogen

    Recombinant fusion protein containing a sequence corresponding to amino acids 1-282 of human U1A/U1A/SNRPA (NP_004587.1).

    Isotype

    IgG
  • Application Notes

    WB,1:500 - 1:2000,IHC,1:50 - 1:200,IF,1:50 - 1:200

    Comment

    HIGH QUALITY

    Restrictions

    For Research Use only
  • Format

    Liquid

    Buffer

    PBS with 0.02 % sodium azide,50 % glycerol, pH 7.3.

    Preservative

    Sodium azide

    Precaution of Use

    This product contains Sodium azide: a POISONOUS AND HAZARDOUS SUBSTANCE which should be handled by trained staff only.

    Storage

    -20 °C

    Storage Comment

    Store at -20°C. Avoid freeze / thaw cycles.
  • Target

    SNRPA1 (SNRPA) (Small Nuclear Ribonucleoprotein Polypeptide A (SNRPA))

    Alternative Name

    SNRPA

    Background

    The protein encoded by this gene associates with stem loop II of the U1 small nuclear ribonucleoprotein, which binds the 5' splice site of precursor mRNAs and is required for splicing. The encoded protein autoregulates itself by polyadenylation inhibition of its own pre-mRNA via dimerization and has been implicated in the coupling of splicing and polyadenylation.,SNRPA,Mud1,U1-A,U1A,Epigenetics & Nuclear Signaling,SNRPA

    Molecular Weight

    31 kDa

    Gene ID

    6626

    UniProt

    P09012
You are here:
Chat with us!