TIAL1 antibody (AA 266-375)
Quick Overview for TIAL1 antibody (AA 266-375) (ABIN6149144)
Target
See all TIAL1 AntibodiesReactivity
Host
Clonality
Conjugate
Application
-
-
Binding Specificity
- AA 266-375
-
Sequence
- EGHVVKCYWG KESPDMTKNF QQVDYSQWGQ WSQVYGNPQQ YGQYMANGWQ VPPYGVYGQP WNQQGFGVDQ SPSAAWMGGF GAQPPQGQAP PPVIPPPNQA GYGMASYQTQ
-
Cross-Reactivity
- Human, Mouse, Rat
-
Characteristics
- Polyclonal Antibodies
-
Immunogen
- Recombinant fusion protein containing a sequence corresponding to amino acids 266-375 of human TIAL1 (NP_003243.1).
-
Isotype
- IgG
-
-
-
-
Application Notes
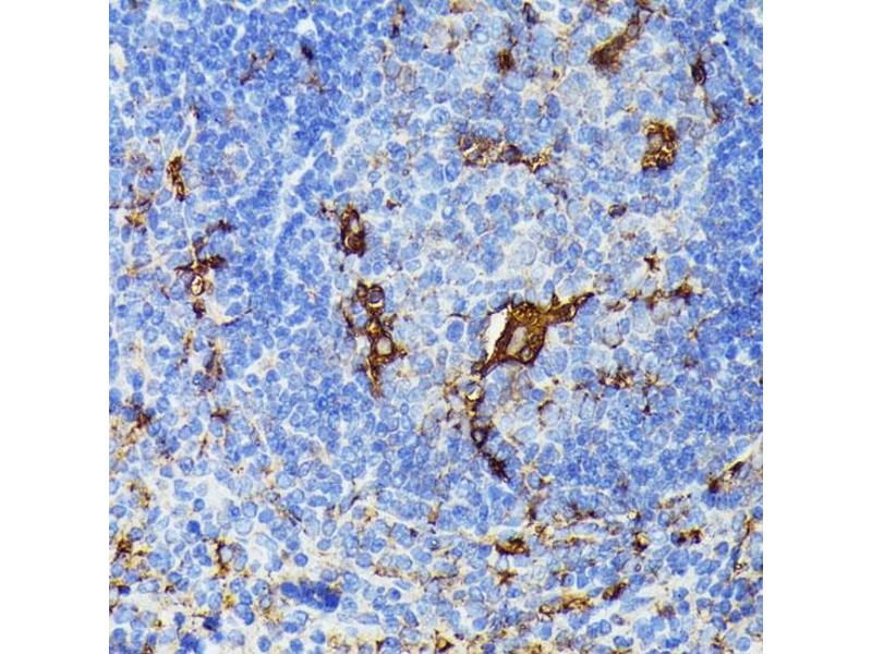
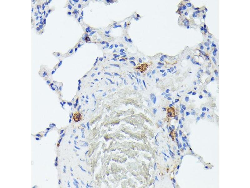
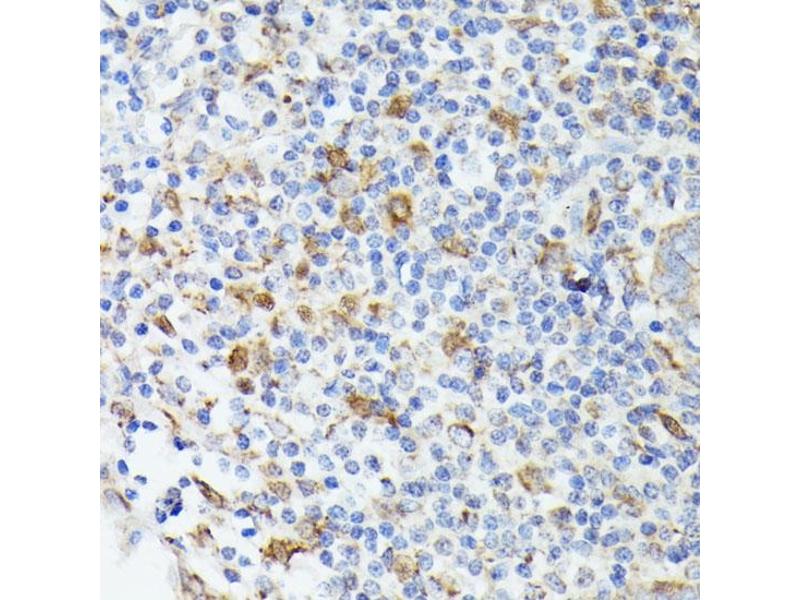
- WB,1:500 - 1:2000,IHC,1:100 - 1:200
-
Comment
-
HIGH QUALITY
-
Restrictions
- For Research Use only
-
-
-
Format
- Liquid
-
Buffer
- PBS with 0.02 % sodium azide,50 % glycerol, pH 7.3.
-
Preservative
- Sodium azide
-
Precaution of Use
- This product contains Sodium azide: a POISONOUS AND HAZARDOUS SUBSTANCE which should be handled by trained staff only.
-
Storage
- -20 °C
-
Storage Comment
- Store at -20°C. Avoid freeze / thaw cycles.
-
-
- TIAL1 (TIA1 Cytotoxic Granule-Associated RNA Binding Protein-Like 1 (TIAL1))
-
Alternative Name
- TIAL1
-
Background
- The protein encoded by this gene is a member of a family of RNA-binding proteins, has three RNA recognition motifs (RRMs), and binds adenine and uridine-rich elements in mRNA and pre-mRNAs of a wide range of genes. It regulates various activities including translational control, splicing and apoptosis. Alternate transcriptional splice variants, encoding different isoforms, have been characterized. The different isoforms have been show to function differently with respect to post-transcriptional silencing.,TIAL1,TCBP,TIAR,Epigenetics & Nuclear Signaling,RNA Binding,TIAL1
-
Molecular Weight
- 41 kDa/43 kDa
-
Gene ID
- 7073
-
UniProt
- Q01085
Target
-