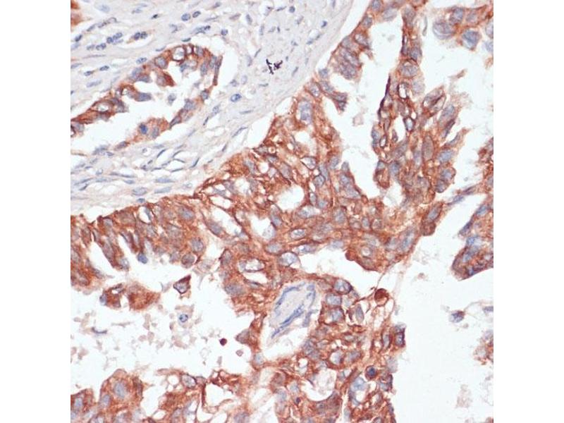
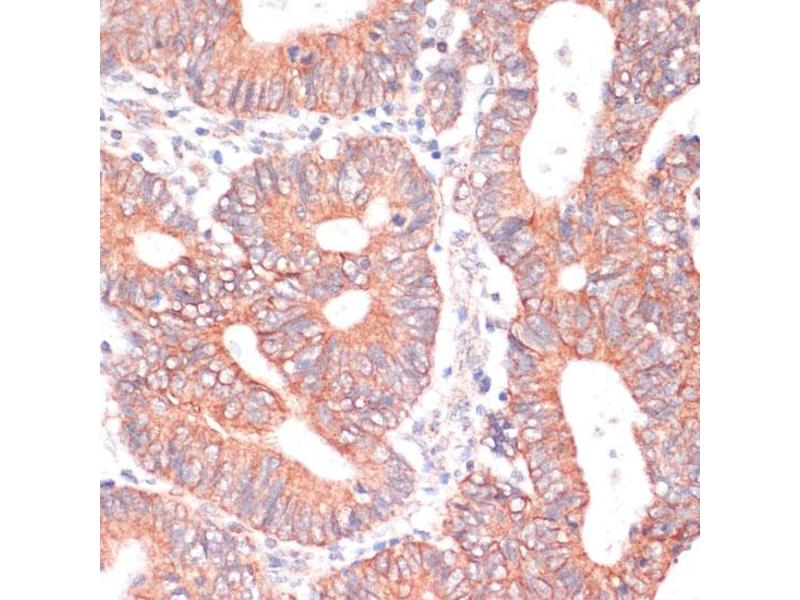
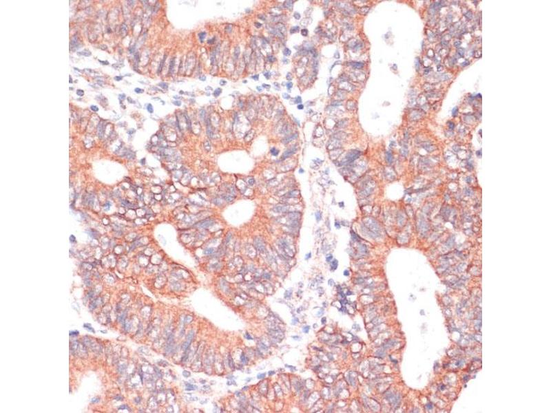
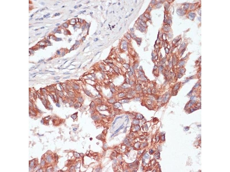
TIAM1
Reactivity: Human
ELISA
Host: Rabbit
Polyclonal
Biotin
Application Notes
WB,1:200 - 1:2000,IHC,1:50 - 1:200
Restrictions
For Research Use only
Format
Liquid
Buffer
PBS with 0.02 % sodium azide,50 % glycerol, pH 7.3.
Preservative
Sodium azide
Precaution of Use
This product contains Sodium azide: a POISONOUS AND HAZARDOUS SUBSTANCE which should be handled by trained staff only.
Storage
-20 °C
Storage Comment
Store at -20°C. Avoid freeze / thaw cycles.
Target
TIAM1
(T-Cell Lymphoma Invasion and Metastasis 1 (TIAM1))
Alternative Name
TIAM1
Background
Guanyl-nucleotide exchange factor that activates RHO-like proteins and connects extracellular signals to cytoskeletal activities. Activates RAC1, CDC42, and to a lesser extent RHOA and their downstream signaling to regulate processes like cell adhesion and cell migration.,TIAM1,Signal Transduction,G protein signaling,Cell Biology & Developmental Biology,Cytoskeleton,Actins,TIAM1