TMED9 antibody (AA 1-224)
Quick Overview for TMED9 antibody (AA 1-224) (ABIN6149250)
Target
See all TMED9 AntibodiesReactivity
Host
Clonality
Conjugate
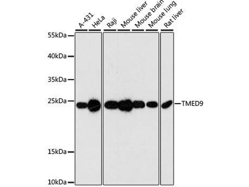
Application
-
-
Binding Specificity
- AA 1-224
-
Sequence
- MAVELGVLLV RPRPGTGLGR VMRTLLLVLW LATRGSALYF HIGETEKKCF IEEIPDETMV IGNYRTQLYD KQREEYQPAT PGLGMFVEVK DPEDKVILAR QYGSEGRFTF TSHTPGEHQI CLHSNSTKFS LFAGGMLRVH LDIQVGEHAN DYAEIAAKDK LSELQLRVRQ LVEQVEQIQK EQNYQRWREE RFRQTSESTN QRVLWWSILQ TLILVAIGVW QMRH
-
Cross-Reactivity
- Human, Mouse, Rat
-
Characteristics
- Polyclonal Antibodies
-
Immunogen
- Recombinant fusion protein containing a sequence corresponding to amino acids 1-224 of human TMED9 (NP_059980.2).
-
Isotype
- IgG
-
-
-
-
Application Notes
- WB,1:500 - 1:2000
-
Comment
-
HIGH QUALITY
-
Restrictions
- For Research Use only
-
-
-
Format
- Liquid
-
Buffer
- PBS with 0.02 % sodium azide,50 % glycerol, pH 7.3.
-
Preservative
- Sodium azide
-
Precaution of Use
- This product contains Sodium azide: a POISONOUS AND HAZARDOUS SUBSTANCE which should be handled by trained staff only.
-
Storage
- -20 °C
-
Storage Comment
- Store at -20°C. Avoid freeze / thaw cycles.
-
-
- TMED9 (Transmembrane Emp24 Protein Transport Domain Containing 9 (TMED9))
-
Alternative Name
- TMED9
-
Background
- This gene is a member of a family of genes encoding transport proteins located in the endoplasmic reticulum and the Golgi. A similar gene in mouse is the target of microRNA miR-296, which is part of an imprinted cluster. [provided by RefSeq, Jul 2016],TMED9,GMP25,HSGP25L2G,p24a2,p24alpha2,p25,Signal Transduction,TMED9
-
Molecular Weight
- 27 kDa
-
Gene ID
- 54732
-
UniProt
- Q9BVK6
Target
-