Phone:
+1 877 302 8632
Fax:
+1 888 205 9894 (Toll-free)
E-Mail:
orders@antibodies-online.com

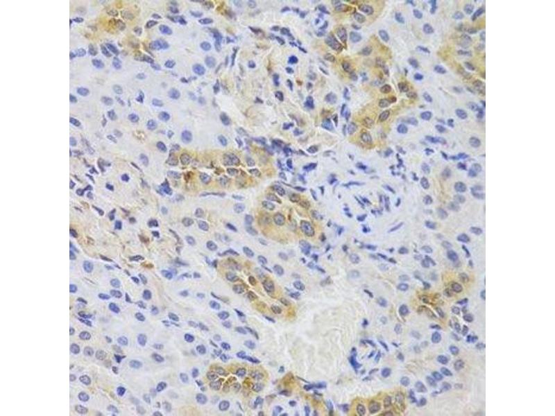
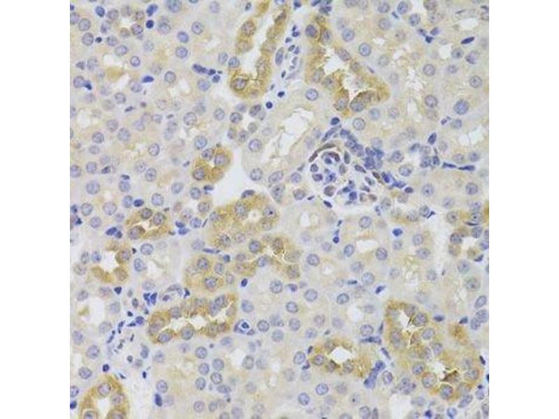
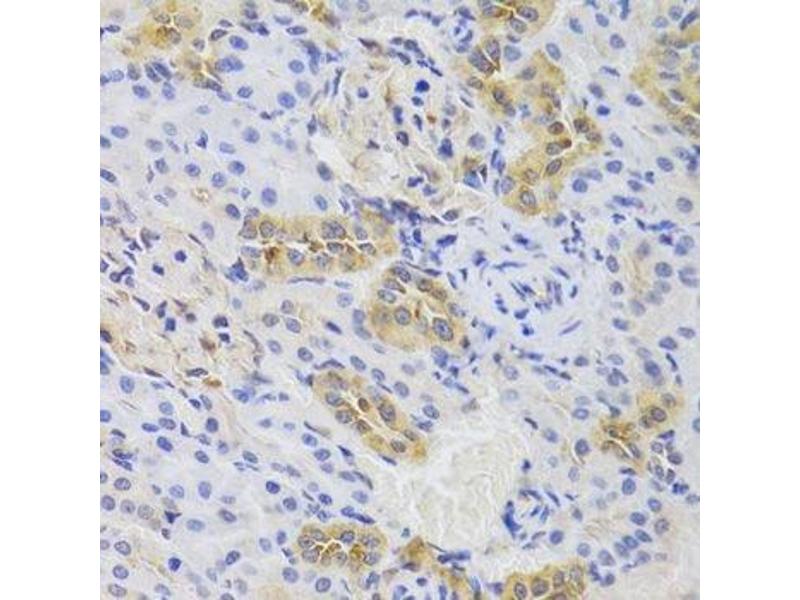
TSC22D3 antibody (AA 1-79)

The Rabbit Polyclonal anti-TSC22D3 antibody is suitable to detect TSC22D3 in samples from Human. It has been validated for WB, IF and IP.
Catalog No. ABIN6149613
$383.00
Plus shipping costs $50.00
Shipping to: United States
Delivery in 7 to 10 Business Days

Quick Overview for TSC22D3 antibody (AA 1-79) (ABIN6149613)

Target

See all TSC22D3 Antibodies
TSC22D3 (TSC22 Domain Family, Member 3 (TSC22D3))

Reactivity

  • 42
  • 17
  • 4
Human

Host

  • 30
  • 13
  • 2
Rabbit

Clonality

  • 33
  • 12
Polyclonal

Conjugate

  • 27
  • 4
  • 3
  • 2
  • 2
  • 1
  • 1
  • 1
  • 1
  • 1
  • 1
  • 1
This TSC22D3 antibody is un-conjugated

Application

  • 31
  • 21
  • 8
  • 7
  • 3
  • 2
  • 2
  • 2
  • 1
Western Blotting (WB), Immunofluorescence (IF), Immunoprecipitation (IP)
  • Binding Specificity

    • 8
    • 5
    • 4
    • 4
    • 2
    • 2
    • 2
    • 1
    • 1
    • 1
    • 1
    • 1
    • 1
    AA 1-79

    Sequence

    MDLVKNHLMY AVREEVEILK EQIRELVEKN SQLERENTLL KTLASPEQLE KFQSCLSPEE PAPESPQVPE APGGSAV

    Cross-Reactivity

    Human, Mouse, Rat

    Characteristics

    Polyclonal Antibodies

    Immunogen

    Recombinant fusion protein containing a sequence corresponding to amino acids 1-79 of human TSC22D3 (NP_001015881.1).

    Isotype

    IgG
  • Application Notes

    WB,1:500 - 1:2000,IF,1:50 - 1:200,IP,1:50 - 1:100

    Comment

    HIGH QUALITY

    Restrictions

    For Research Use only
  • Format

    Liquid

    Buffer

    PBS with 0.02 % sodium azide,50 % glycerol, pH 7.3.

    Preservative

    Sodium azide

    Precaution of Use

    This product contains Sodium azide: a POISONOUS AND HAZARDOUS SUBSTANCE which should be handled by trained staff only.

    Storage

    -20 °C

    Storage Comment

    Store at -20°C. Avoid freeze / thaw cycles.
  • Target

    TSC22D3 (TSC22 Domain Family, Member 3 (TSC22D3))

    Alternative Name

    TSC22D3

    Background

    This gene encodes the anti-inflammatory protein glucocorticoid (GC)-induced leucine zipper. Expression of this gene stimulated by glucocorticoids and interleukin 10 and it appears to play a key role in the anti-inflammatory and immunosuppressive effects of this steroid. This protein has also been shown to inhibit pro-inflammatory molecules including nuclear factor κ,B. Alternate splicing results in multiple transcript variants.,TSC22D3,DIP,DSIPI,GILZ,TSC-22R,Signal Transduction,Cell Biology & Developmental Biology,Apoptosis,TSC22D3

    Molecular Weight

    13 kDa/14 kDa/22 kDa

    Gene ID

    1831

    UniProt

    Q99576
You are here:
Chat with us!