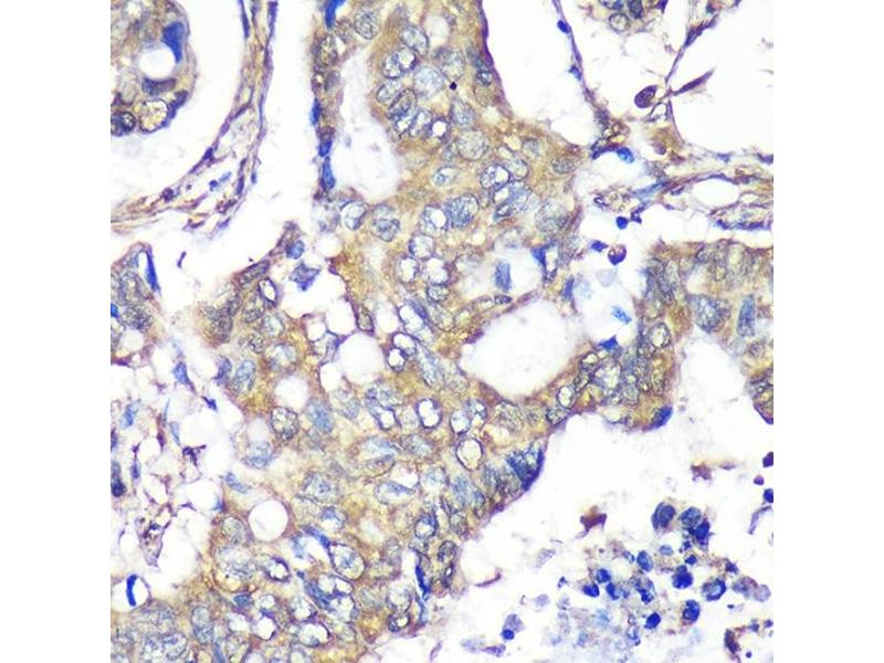
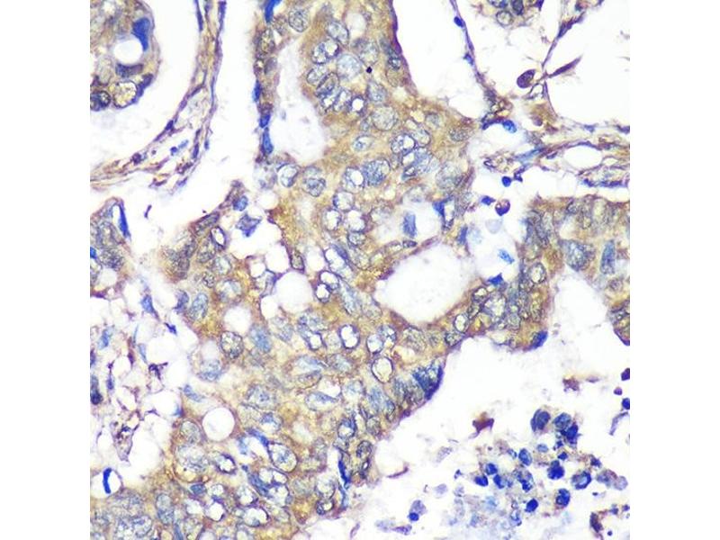
TXNDC9 antibody (AA 1-110)
Quick Overview for TXNDC9 antibody (AA 1-110) (ABIN6149731)
Target
See all TXNDC9 AntibodiesReactivity
Host
Clonality
Conjugate
Application
-
-
Binding Specificity
- AA 1-110
-
Sequence
- MEADASVDMF SKVLEHQLLQ TTKLVEEHLD SEIQKLDQMD EDELERLKEK RLQALRKAQQ QKQEWLSKGH GEYREIPSER DFFQEVKESE NVVCHFYRDS TFRCKILDRH
-
Cross-Reactivity
- Human, Mouse, Rat
-
Characteristics
- Polyclonal Antibodies
-
Immunogen
- Recombinant fusion protein containing a sequence corresponding to amino acids 1-110 of human TXNDC9 (NP_005774.2).
-
Isotype
- IgG
-
-
-
-
Application Notes
- WB,1:500 - 1:2000,IHC,1:50 - 1:200,IF,1:50 - 1:100
-
Comment
-
HIGH QUALITY
-
Restrictions
- For Research Use only
-
-
-
Format
- Liquid
-
Buffer
- PBS with 0.02 % sodium azide,50 % glycerol, pH 7.3.
-
Preservative
- Sodium azide
-
Precaution of Use
- This product contains Sodium azide: a POISONOUS AND HAZARDOUS SUBSTANCE which should be handled by trained staff only.
-
Storage
- -20 °C
-
Storage Comment
- Store at -20°C. Avoid freeze / thaw cycles.
-
-
- TXNDC9 (Thioredoxin Domain Containing 9 (TXNDC9))
-
Alternative Name
- TXNDC9
-
Background
- The protein encoded by this gene is a member of the thioredoxin family. The exact function of this protein is not known but it is associated with cell differentiation.,TXNDC9,APACD,PHLP3,Cell Biology & Developmental Biology,Cell Cycle,Cell differentiation,TXNDC9
-
Molecular Weight
- 22 kDa/26 kDa
-
Gene ID
- 10190
-
UniProt
- O14530
-
Pathways
- Cell RedoxHomeostasis
Target
-