VAMP1 antibody (AA 1-96)
Quick Overview for VAMP1 antibody (AA 1-96) (ABIN6150046)
Target
See all VAMP1 AntibodiesReactivity
Host
Clonality
Conjugate
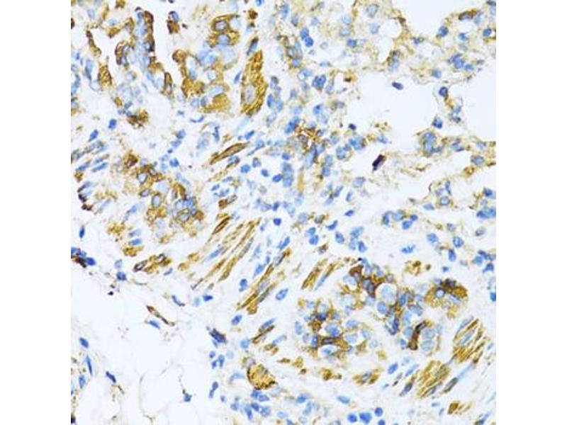
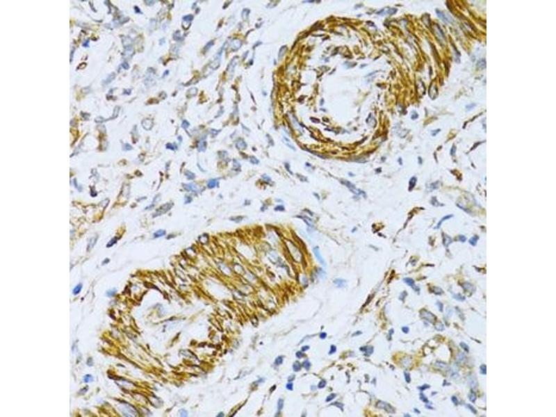
Application
-
-
Binding Specificity
- AA 1-96
-
Sequence
- MSAPAQPPAE GTEGTAPGGG PPGPPPNMTS NRRLQQTQAQ VEEVVDIIRV NVDKVLERDQ KLSELDDRAD ALQAGASQFE SSAAKLKRKY WWKNCK
-
Cross-Reactivity
- Human, Mouse, Rat
-
Characteristics
- Polyclonal Antibodies
-
Immunogen
- Recombinant fusion protein containing a sequence corresponding to amino acids 1-96 of human VAMP1 (NP_954740.1).
-
Isotype
- IgG
-
-
-
-
Application Notes
- WB,1:500 - 1:2000,IHC,1:50 - 1:100,IF,1:50 - 1:100
-
Comment
-
HIGH QUALITY
-
Restrictions
- For Research Use only
-
-
-
Format
- Liquid
-
Buffer
- PBS with 0.02 % sodium azide,50 % glycerol, pH 7.3.
-
Preservative
- Sodium azide
-
Precaution of Use
- This product contains Sodium azide: a POISONOUS AND HAZARDOUS SUBSTANCE which should be handled by trained staff only.
-
Storage
- -20 °C
-
Storage Comment
- Store at -20°C. Avoid freeze / thaw cycles.
-
-
- VAMP1 (Vesicle-Associated Membrane Protein 1 (Synaptobrevin 1) (VAMP1))
-
Alternative Name
- VAMP1
-
Background
- Synapotobrevins, syntaxins, and the synaptosomal-associated protein SNAP25 are the main components of a protein complex involved in the docking and/or fusion of synaptic vesicles with the presynaptic membrane. The protein encoded by this gene is a member of the vesicle-associated membrane protein (VAMP)/synaptobrevin family. Mutations in this gene are associated with autosomal dominant spastic ataxia 1. Multiple alternative splice variants have been described, but the full-length nature of some variants has not been defined.,VAMP1,SPAX1,SYB1,VAMP-1,Signal Transduction,Neuroscience,Cell Type Marker,Neuron marker,Synapse marker,VAMP1
-
Molecular Weight
- 12 kDa
-
Gene ID
- 6843
-
UniProt
- P23763
Target
-