Phone:
+1 877 302 8632
Fax:
+1 888 205 9894 (Toll-free)
E-Mail:
orders@antibodies-online.com

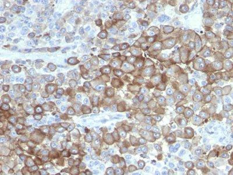
Melanoma Marker antibody

The Mouse Monoclonal anti-Melanoma Marker antibody (Clone PNL2) (ABIN6157214) specifically detects Melanoma Marker in IHC and IF. The antibody is reactive with Human, Dog and Mouse samples.
Catalog No. ABIN6157214
$566.15
Plus shipping costs $50.00
50 μL
Shipping to: United States
Delivery in 4 to 9 Business Days

Quick Overview for Melanoma Marker antibody (ABIN6157214)

Target

Melanoma Marker

Reactivity

Human, Dog, Mouse

Host

  • 49
Mouse

Clonality

  • 49
Monoclonal

Conjugate

  • 7
  • 5
  • 4
  • 4
  • 4
  • 4
  • 4
  • 4
  • 3
  • 2
  • 2
  • 2
  • 2
  • 1
  • 1
This Melanoma Marker antibody is un-conjugated

Application

  • 31
  • 18
  • 18
  • 18
  • 3
  • 1
Immunohistochemistry (IHC), Immunofluorescence (IF)

Clone

PNL2
  • Purpose

    Mouse Monoclonal anti-Melanoma Marker (PNL2), Purified, BSA-free

    Characteristics

    Anti-PNL2 is a novel monoclonal antibody, which has recently been introduced as an immunohistochemical reagent to stain melanocytes and tumors derived therefrom. The antigen recognized by PNL2 is different from Melan A and gp100. Its epitope is not destroyed by digestion with neuraminidase i.e. its epitope id not glycosylated. Anti-PNL2 may be most useful because of its high sensitivity for metastatic melanoma (87 % ), as opposed to 76 % for anti-HMB45 and 82 % for anti-MART-1. Anti-PNL2 labels intra-epidermal nevi while the dermal component of compound nevi are largely non-reactive with anti-PNL2. Antibodies against PNL2, MART-1 (Melan A) and HMB45 stain most clear cell sarcoma cells and a few cells in angio-myolipomas and lymphangioleiomyomatosis. Anti-PNL2 is a useful antibody for the identification of melanomas and clear cell sarcomas. Differential diagnosis is aided by the results from a panel of antibodies, including antibodies against HMB45, MART-1, tyrosinase, and MiTF. Primary antibodies are available purified, or with a selection of fluorescent CF® dyes and other labels. CF® dyes offer exceptional brightness and photostability. See the < a href="https://biotium.com/wp-content/uploads/2013/07/CF-dye-selection-guide.pdf" target="_blank" rel="noopener">CF® Dye Selection Guide for more information. Note: Conjugates of blue fluorescent dyes like CF®405S and CF®405M are not recommended for detecting low abundance targets, because blue dyes have lower fluorescence and can give higher non-specific background than other dye colors.

    Purification

    Purified

    Immunogen

    Melanocyte antigen

    Isotype

    IgG1
  • Application Notes

    Immunohistology (formalin)
    • Staining of formalin-fixed tissues requires boiling tissue sections in 10 mM citrate buffer,  pH 6.0, for 10-20 min followed by cooling at RT for 20 minutes
    • Immunofluorescence 0.5-1 μg/mL
    • Optimal dilution for a specific application should be determined by user

    Comment

    Melanoma

    Restrictions

    For Research Use only
  • Format

    Liquid

    Concentration

    1 mg/mL

    Buffer

    PBS (no BSA, no azide)

    Preservative

    Azide free
  • Target

    Melanoma Marker

    Background

    Human Melanoma Associated Antigen, PNL2

    Molecular Weight

    Multiple (160 kDa, 100 kDa and <10 kDa)
You are here:
Chat with us!