Phone:
+1 877 302 8632
Fax:
+1 888 205 9894 (Toll-free)
E-Mail:
orders@antibodies-online.com

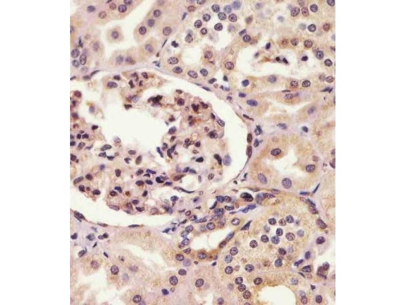
SYNE2 antibody (AA 1843-1877)

The Rabbit Polyclonal anti-SYNE2 antibody is suitable to detect SYNE2 in samples from Human. It has been validated for WB and IHC (p).
Catalog No. ABIN6242751
$451.00
Plus shipping costs $50.00
Shipping to: United States
Delivery in 10 to 12 Business Days

Quick Overview for SYNE2 antibody (AA 1843-1877) (ABIN6242751)

Target

See all SYNE2 Antibodies
SYNE2 (Spectrin Repeat Containing, Nuclear Envelope 2 (SYNE2))

Reactivity

  • 20
  • 5
  • 1
  • 1
Human

Host

  • 19
  • 3
Rabbit

Clonality

  • 19
  • 2
  • 1
Polyclonal

Conjugate

  • 18
  • 2
  • 1
  • 1
This SYNE2 antibody is un-conjugated

Application

  • 13
  • 9
  • 7
  • 7
  • 4
  • 4
  • 2
  • 1
  • 1
  • 1
Western Blotting (WB), Immunohistochemistry (Paraffin-embedded Sections) (IHC (p))

Clone

RB56750
You are here:
Chat with us!