×
For best experience we recommend to activate Javascript in your browser.
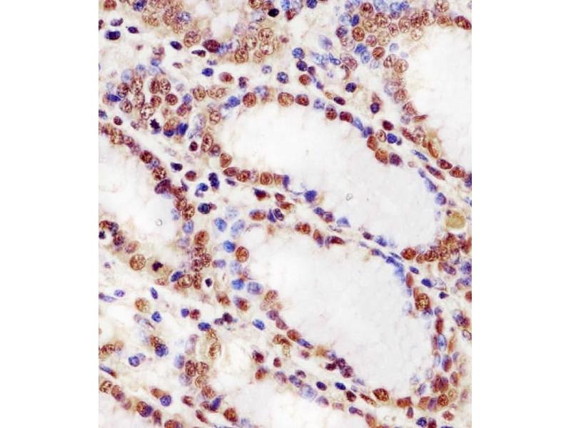
HNRNPUL2 antibody (AA 337-350)
This Rabbit Polyclonal antibody specifically detects HNRNPUL2 in WB and IHC (p). It exhibits reactivity toward Human.
Catalog No. ABIN6243590
$451.00
Plus shipping costs $50.00
50 μL ABIN6578256
200 μL ABIN6243590
50 μL ABIN6578256
200 μL ABIN6243590
Delivery in 10 to 12 Business Days
Quick Overview for HNRNPUL2 antibody (AA 337-350) (ABIN6243590)
Target
See all HNRNPUL2 Antibodies
HNRNPUL2
(Heterogeneous Nuclear Ribonucleoprotein U-Like 2 (HNRNPUL2))
Reactivity
All reactivities for HNRNPUL2 antibodies
Human
Host
All hosts for HNRNPUL2 antibodies
Rabbit
Clonality
All clonalities for HNRNPUL2 antibodies
Polyclonal
Conjugate
All conjugates for HNRNPUL2 antibodies
This HNRNPUL2 antibody is un-conjugated
Application
All applications for HNRNPUL2 antibodies
Western Blotting (WB), Immunohistochemistry (Paraffin-embedded Sections) (IHC (p))
Clone
RB53002
Product Details anti-HNRNPUL2 Antibody
(hide)
Binding Specificity
All epitopes for HNRNPUL2 antibodies
AA 337-350
Purification
This antibody is purified through a protein A column, followed by peptide affinity purification.
Immunogen
This HNRNPUL2 antibody is generated from a rabbit immunized with a KLH conjugated synthetic peptide between 337-350 amino acids from the Central region of human HNRNPUL2.
Isotype
Ig Fraction
Alternatives
(show)
Application Details
(hide)
Application Notes
WB: 1:8000. WB: 1:2000. IHC-P: 1:25
Restrictions
For Research Use only
Handling
(hide)
Format
Liquid
Buffer
Purified polyclonal antibody supplied in PBS with 0.09 % (W/V) sodium azide.
Preservative
Sodium azide
Precaution of Use
This product contains Sodium azide: a POISONOUS AND HAZARDOUS SUBSTANCE which should be handled by trained staff only.
Storage
4 °C,-20 °C
Expiry Date
6 months
Target Details for HNRNPUL2
(hide)
Target
HNRNPUL2
(Heterogeneous Nuclear Ribonucleoprotein U-Like 2 (HNRNPUL2))
Alternative Name
HNRNPUL2
UniProt
Q1KMD3
Recently viewed
(hide)
You are here:
Homepage
anti-HNRNPUL2 antibody (AA 337-350) (ABIN6243590)
Chat with us , powered by LiveChat