Phone:
+1 877 302 8632
Fax:
+1 888 205 9894 (Toll-free)
E-Mail:
orders@antibodies-online.com

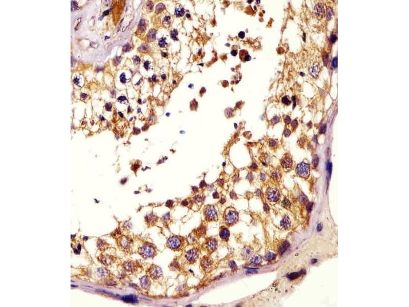
KISS1 antibody (AA 20-52)

This Rabbit Polyclonal antibody specifically detects KISS1 in WB and IHC (p). It exhibits reactivity toward Human.
Catalog No. ABIN6243764
$451.00
Plus shipping costs $50.00
Shipping to: United States
Delivery in 10 to 12 Business Days

Quick Overview for KISS1 antibody (AA 20-52) (ABIN6243764)

Target

See all KISS1 Antibodies
KISS1 (KiSS-1 Metastasis-Suppressor (KISS1))

Reactivity

  • 37
  • 18
  • 4
Human

Host

  • 36
  • 5
Rabbit

Clonality

  • 36
  • 5
Polyclonal

Conjugate

  • 30
  • 2
  • 2
  • 1
  • 1
  • 1
  • 1
  • 1
  • 1
  • 1
This KISS1 antibody is un-conjugated

Application

  • 23
  • 15
  • 14
  • 6
  • 6
  • 5
  • 1
  • 1
  • 1
  • 1
Western Blotting (WB), Immunohistochemistry (Paraffin-embedded Sections) (IHC (p))

Clone

RB53797
  • Binding Specificity

    • 8
    • 4
    • 3
    • 3
    • 1
    • 1
    • 1
    • 1
    • 1
    • 1
    • 1
    • 1
    • 1
    • 1
    • 1
    • 1
    • 1
    • 1
    • 1
    • 1
    AA 20-52

    Purification

    This antibody is purified through a protein A column, followed by peptide affinity purification.

    Immunogen

    This KISS1 antibody is generated from a rabbit immunized with a KLH conjugated synthetic peptide between 20-52 amino acids from human KISS1.

    Isotype

    Ig Fraction
  • Application Notes

    WB: 1:2000. WB: 1:2000. WB: 1:500. IHC-P: 1:25

    Restrictions

    For Research Use only
  • Format

    Liquid

    Buffer

    Purified polyclonal antibody supplied in PBS with 0.09 % (W/V) sodium azide.

    Preservative

    Sodium azide

    Precaution of Use

    This product contains Sodium azide: a POISONOUS AND HAZARDOUS SUBSTANCE which should be handled by trained staff only.

    Storage

    4 °C,-20 °C

    Expiry Date

    6 months
  • Target

    KISS1 (KiSS-1 Metastasis-Suppressor (KISS1))

    Alternative Name

    KISS1

    Background

    Metastasis suppressor protein in malignant melanomas and in some breast cancers. May regulate events downstream of cell- matrix adhesion, perhaps involving cytoskeletal reorganization. Generates a C-terminally amidated peptide, metastin which functions as the endogenous ligand of the G-protein coupled receptor GPR54. Activation of the receptor inhibits cell proliferation and cell migration, key characteristics of tumor metastasis. Kp-10 is a decapeptide derived from the primary translation product, isolated in conditioned medium of first trimester trophoblast. Kp-10, but not other kisspeptins, increased intracellular Ca(2+) levels in isolated first trimester trophoblasts. Kp-10 is a paracrine/endocrine regulator in fine- tuning trophoblast invasion generated by the trophoblast itself. The receptor is also essential for normal gonadotropin-released hormone physiology and for puberty. The hypothalamic KiSS1/GPR54 system is a pivotal factor in central regulation of the gonadotropic axis at puberty and in adulthood.

    Molecular Weight

    14705

    UniProt

    Q15726

    Pathways

    Positive Regulation of Peptide Hormone Secretion
You are here:
Chat with us!