Phone:
+1 877 302 8632
Fax:
+1 888 205 9894 (Toll-free)
E-Mail:
orders@antibodies-online.com

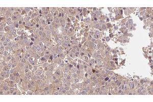
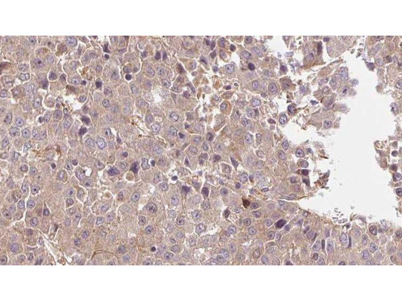
PTH1R antibody (pThr1)

The Rabbit Polyclonal anti-PTH1R antibody (ABIN6257431) specifically detects PTH1R in WB, IHC, ELISA, IF and ICC. The antibody is reactive with Human, Rat and Mouse samples.
Catalog No. ABIN6257431
$494.77
Plus shipping costs $50.00
Shipping to: United States
Delivery in 11 to 13 Business Days

Quick Overview for PTH1R antibody (pThr1) (ABIN6257431)

Target

See all PTH1R Antibodies
PTH1R (Parathyroid Hormone 1 Receptor (PTH1R))

Reactivity

  • 56
  • 17
  • 11
  • 8
  • 8
  • 7
  • 6
  • 5
  • 3
  • 2
  • 1
  • 1
  • 1
  • 1
  • 1
  • 1
  • 1
  • 1
Human, Rat, Mouse

Host

  • 46
  • 8
  • 2
  • 1
Rabbit

Clonality

  • 37
  • 20
Polyclonal

Conjugate

  • 37
  • 3
  • 2
  • 2
  • 2
  • 2
  • 2
  • 2
  • 2
  • 1
  • 1
  • 1
This PTH1R antibody is un-conjugated

Application

  • 40
  • 21
  • 19
  • 13
  • 9
  • 6
  • 6
  • 2
  • 2
  • 1
  • 1
  • 1
Western Blotting (WB), Immunohistochemistry (IHC), ELISA, Immunofluorescence (IF), Immunocytochemistry (ICC)
  • Binding Specificity

    • 6
    • 4
    • 3
    • 3
    • 2
    • 2
    • 1
    • 1
    • 1
    • 1
    • 1
    • 1
    • 1
    • 1
    • 1
    • 1
    • 1
    • 1
    • 1
    • 1
    pThr1

    Specificity

    PTHR1 Antibody detects endogenous levels of total PTHR1.

    Predicted Reactivity

    Pig,Bovine,Horse,Sheep,Rabbit,Dog,Chicken,Xenopus

    Purification

    The antiserum was purified by peptide affinity chromatography using SulfoLinkTM Coupling Resin (Thermo Fisher Scientific).

    Immunogen

    A synthesized peptide derived from human PTHR1, corresponding to a region within the internal amino acids.

    Isotype

    IgG
  • Application Notes

    WB 1:500-1:1000, IHC: 1:50-1:200, IF/ICC 1:100-1:500, ELISA(peptide) 1:20000-1:40000

    Restrictions

    For Research Use only
  • Format

    Liquid

    Concentration

    1 mg/mL

    Buffer

    Rabbit IgG in phosphate buffered saline , pH 7.4, 150 mM NaCl, 0.02 % sodium azide and 50 % glycerol.

    Preservative

    Sodium azide

    Precaution of Use

    This product contains Sodium azide: a POISONOUS AND HAZARDOUS SUBSTANCE which should be handled by trained staff only.

    Storage

    -20 °C

    Storage Comment

    Store at -20 °C. Stable for 12 months from date of receipt.

    Expiry Date

    12 months
  • Target

    PTH1R (Parathyroid Hormone 1 Receptor (PTH1R))

    Alternative Name

    PTH1R

    Background

    Description: Receptor for parathyroid hormone and for parathyroid hormone-related peptide. The activity of this receptor is mediated by G proteins which activate adenylyl cyclase and also a phosphatidylinositol-calcium second messenger system.

    Gene: PTH1R

    Molecular Weight

    52 kDa

    Gene ID

    5745

    UniProt

    Q03431

    Pathways

    Regulation of Carbohydrate Metabolic Process
You are here:
Chat with us!