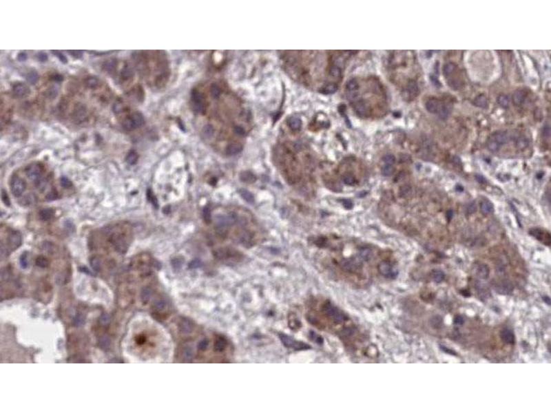
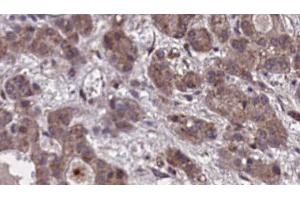
GPR20 antibody (C-Term)
Quick Overview for GPR20 antibody (C-Term) (ABIN6258278)
Target
See all GPR20 AntibodiesReactivity
Host
Clonality
Conjugate
Application
-
-
Binding Specificity
- C-Term
-
Specificity
- GPR20 Antibody detects endogenous levels of total GPR20.
-
Purification
- The antiserum was purified by peptide affinity chromatography using SulfoLinkTM Coupling Resin (Thermo Fisher Scientific).
-
Immunogen
- A synthesized peptide derived from human GPR20, corresponding to a region within C-terminal amino acids.
-
Isotype
- IgG
-
-
-
-
Application Notes
- WB 1:500-1:2000, IHC 1:50-1:200, IF/ICC 1:100-1:500, ELISA(peptide) 1:20000-1:40000
-
Restrictions
- For Research Use only
-
-
-
Format
- Liquid
-
Concentration
- 1 mg/mL
-
Buffer
- Rabbit IgG in phosphate buffered saline, pH 7.4, 150 mM NaCl, 0.02 % sodium azide and 50 % glycerol.
-
Preservative
- Sodium azide
-
Precaution of Use
- This product contains Sodium azide: a POISONOUS AND HAZARDOUS SUBSTANCE which should be handled by trained staff only.
-
Storage
- -20 °C
-
Expiry Date
- 12 months
-
-
- GPR20 (G Protein-Coupled Receptor 20 (GPR20))
-
Alternative Name
- GPR20
-
Background
-
Description: Orphan receptor with constitutive G(i) signaling activity that activate cyclic AMP.
Gene: GPR20
-
Molecular Weight
- 42 kDa
-
Gene ID
- 2843
-
UniProt
- Q99678
Target
-