PAEP antibody
Quick Overview for PAEP antibody (ABIN6258298)
Target
See all PAEP AntibodiesReactivity
Host
Clonality
Conjugate
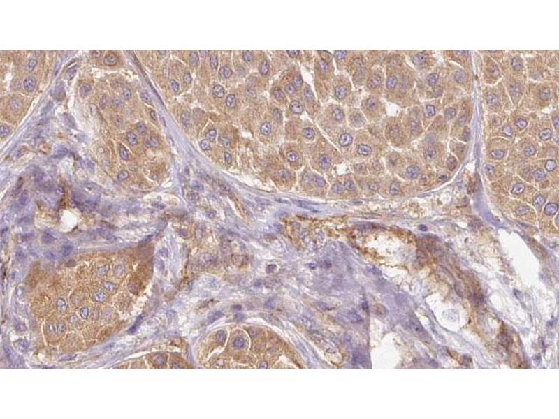
Application
-
-
Specificity
- PAEP antibody detects endogenous levels of total PAEP
-
Cross-Reactivity
- Human, Rat (Rattus)
-
Purification
- The antiserum was purified by peptide affinity chromatography using SulfoLinkTM Coupling Resin (Thermo Fisher Scientific).
-
Immunogen
- A synthesized peptide
-
Isotype
- IgG
-
-
-
-
Application Notes
- WB 1:500-1:2000 IHC 1:50-1:200
-
Restrictions
- For Research Use only
-
-
-
Format
- Liquid
-
Concentration
- 1 mg/mL
-
Buffer
- Rabbit IgG in phosphate buffered saline, pH 7.4, 150 mM NaCl, 0.02 % sodium azide and 50 % glycerol.
-
Preservative
- Sodium azide
-
Precaution of Use
- This product contains Sodium azide: a POISONOUS AND HAZARDOUS SUBSTANCE which should be handled by trained staff only.
-
-
- PAEP (Progestagen-Associated Endometrial Protein (PAEP))
-
Alternative Name
- PAEP
-
Background
-
Description: Glycoprotein that regulates critical steps during fertilization and also has immunomonomodulatory effects. Four glycoforms, namely glycodelin-S, -A, -F and -C have been identified in reproductive tissues that differ in glycosylation and biological activity. Glycodelin-A has contraceptive and immunosuppressive activities (PubMed:9918684, PubMed:7531163). Glycodelin-C stimulates binding of spermatozoa to the zona pellucida (PubMed:17192260). Glycodelin-F inhibits spermatozoa-zona pellucida binding and significantly suppresses progesterone-induced acrosome reaction of spermatozoa (PubMed:12672671). Glycodelin-S in seminal plasma maintains the uncapacitated state of human spermatozoa (PubMed:15883155).
Gene: PAEP
-
Molecular Weight
- 21 kDa
-
Gene ID
- 5047
-
UniProt
- P09466
Target
-