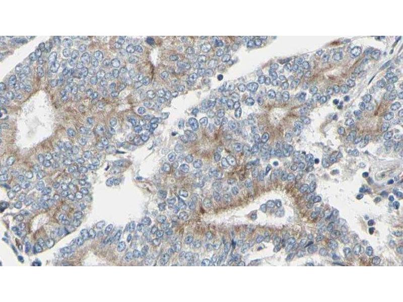
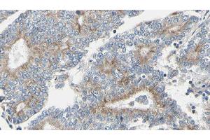
GCP6 antibody (Internal Region)
Quick Overview for GCP6 antibody (Internal Region) (ABIN6258673)
Target
See all GCP6 (TUBGCP6) AntibodiesReactivity
Host
Clonality
Conjugate
Application
-
-
Binding Specificity
- Internal Region
-
Specificity
- TUBGCP6 Antibody detects endogenous levels of total TUBGCP6.
-
Purification
- The antiserum was purified by peptide affinity chromatography using SulfoLinkTM Coupling Resin (Thermo Fisher Scientific).
-
Immunogen
- A synthesized peptide derived from human TUBGCP6, corresponding to a region within the internal amino acids.
-
Isotype
- IgG
-
-
-
-
Application Notes
- WB 1:500-1:1000, IHC: 1:50-1:200, IF/ICC 1:100-1:500, ELISA(peptide) 1:20000-1:40000
-
Restrictions
- For Research Use only
-
-
-
Format
- Liquid
-
Concentration
- 1 mg/mL
-
Buffer
- Rabbit IgG in phosphate buffered saline , pH 7.4, 150 mM NaCl, 0.02 % sodium azide and 50 % glycerol.
-
Preservative
- Sodium azide
-
Precaution of Use
- This product contains Sodium azide: a POISONOUS AND HAZARDOUS SUBSTANCE which should be handled by trained staff only.
-
Storage
- -20 °C
-
Storage Comment
- Store at -20 °C. Stable for 12 months from date of receipt.
-
Expiry Date
- 12 months
-
-
-