Phone:
+1 877 302 8632
Fax:
+1 888 205 9894 (Toll-free)
E-Mail:
orders@antibodies-online.com

RPL26L1 antibody (C-Term)

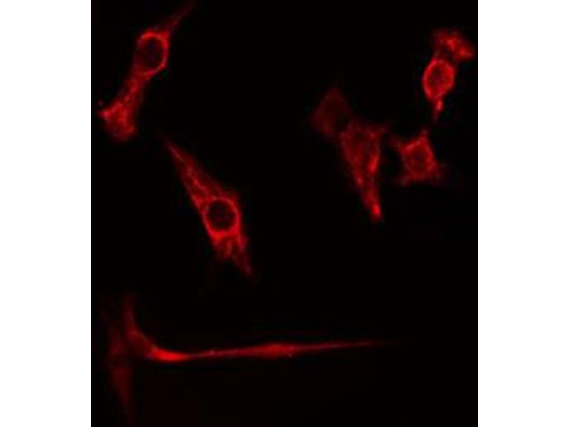
The Rabbit Polyclonal anti-RPL26L1 antibody (ABIN6259321) specifically detects RPL26L1 in WB, ELISA, IHC, IF and ICC. The antibody is reactive with Human, Mouse and Rat samples.
Catalog No. ABIN6259321
$494.77
Plus shipping costs $50.00
Shipping to: United States
Delivery in 11 to 13 Business Days

Quick Overview for RPL26L1 antibody (C-Term) (ABIN6259321)

Target

See all RPL26L1 Antibodies
RPL26L1 (Ribosomal Protein L26-Like 1 (RPL26L1))

Reactivity

Human, Mouse, Rat

Host

  • 33
  • 1
Rabbit

Clonality

  • 21
  • 13
Polyclonal

Conjugate

  • 15
  • 2
  • 2
  • 2
  • 2
  • 2
  • 2
  • 2
  • 2
  • 1
  • 1
  • 1
This RPL26L1 antibody is un-conjugated

Application

  • 22
  • 17
  • 11
  • 11
  • 10
  • 2
  • 1
Western Blotting (WB), ELISA, Immunohistochemistry (IHC), Immunofluorescence (IF), Immunocytochemistry (ICC)
  • Binding Specificity

    • 6
    • 3
    • 1
    • 1
    • 1
    • 1
    C-Term

    Specificity

    RPL26L Antibody detects endogenous levels of total RPL26L.

    Predicted Reactivity

    Pig,Bovine,Horse,Sheep,Rabbit,Chicken

    Purification

    The antiserum was purified by peptide affinity chromatography using SulfoLinkTM Coupling Resin (Thermo Fisher Scientific).

    Immunogen

    A synthesized peptide derived from human RPL26L, corresponding to a region within C-terminal amino acids.

    Isotype

    IgG
  • Application Notes

    WB 1:500-1:1000, IF/ICC 1:100-1:500, IHC 1:50-1:200, ELISA(peptide) 1:20000-1:40000

    Restrictions

    For Research Use only
  • Format

    Liquid

    Concentration

    1 mg/mL

    Buffer

    Rabbit IgG in phosphate buffered saline , pH 7.4, 150 mM NaCl, 0.02 % sodium azide and 50 % glycerol.

    Preservative

    Sodium azide

    Precaution of Use

    This product contains Sodium azide: a POISONOUS AND HAZARDOUS SUBSTANCE which should be handled by trained staff only.

    Storage

    -20 °C

    Storage Comment

    Store at -20 °C. Stable for 12 months from date of receipt.

    Expiry Date

    12 months
  • Target

    RPL26L1 (Ribosomal Protein L26-Like 1 (RPL26L1))

    Alternative Name

    RPL26L1

    Background

    Gene: RPL26L1

    Molecular Weight

    20 kDa

    Gene ID

    51121

    UniProt

    Q9UNX3
You are here:
Chat with us!