Phone:
+1 877 302 8632
Fax:
+1 888 205 9894 (Toll-free)
E-Mail:
orders@antibodies-online.com

BRI3 antibody (N-Term)

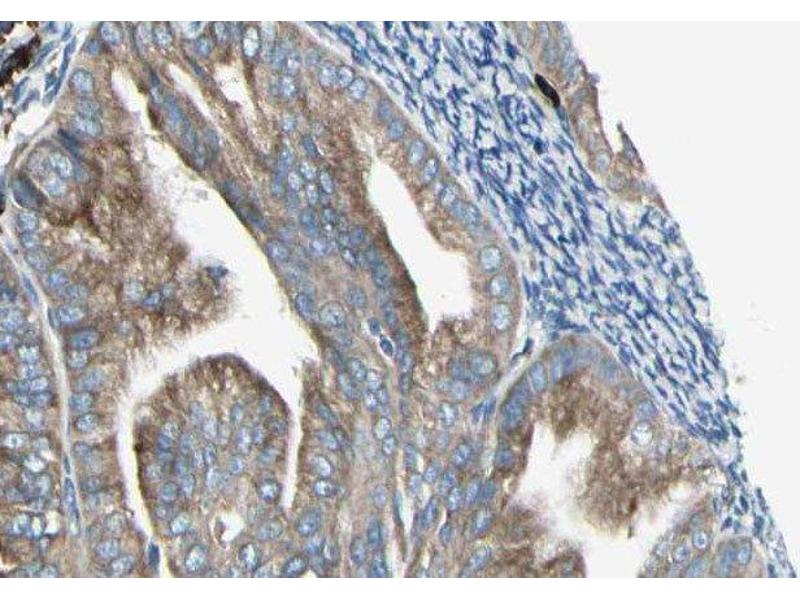
The Rabbit Polyclonal anti-BRI3 antibody (ABIN6260314) specifically detects BRI3 in WB, ELISA and IHC. The antibody is reactive with Human, Mouse and Rat samples.
Catalog No. ABIN6260314
$494.77
Plus shipping costs $50.00
Shipping to: United States
Delivery in 11 to 13 Business Days

Quick Overview for BRI3 antibody (N-Term) (ABIN6260314)

Target

BRI3 (Brain Protein I3 (BRI3))

Reactivity

  • 11
  • 10
  • 10
  • 1
  • 1
  • 1
  • 1
Human, Mouse, Rat

Host

  • 11
Rabbit

Clonality

  • 11
Polyclonal

Conjugate

  • 4
  • 1
  • 1
  • 1
  • 1
  • 1
  • 1
  • 1
This BRI3 antibody is un-conjugated

Application

Western Blotting (WB), ELISA, Immunohistochemistry (IHC)
  • Binding Specificity

    • 2
    • 1
    N-Term

    Specificity

    BRI3 Antibody detects endogenous levels of total BRI3.

    Predicted Reactivity

    Pig,Zebrafish,Bovine,Dog,Xenopus

    Purification

    The antiserum was purified by peptide affinity chromatography using SulfoLinkTM Coupling Resin (Thermo Fisher Scientific).

    Immunogen

    A synthesized peptide derived from human BRI3, corresponding to a region within N-terminal amino acids.

    Isotype

    IgG
  • Application Notes

    WB 1:1000-3000, IHC 1:200, ELISA(peptide) 1:20000-1:40000

    Restrictions

    For Research Use only
  • Format

    Liquid

    Concentration

    1 mg/mL

    Buffer

    Rabbit IgG in phosphate buffered saline , pH 7.4, 150 mM NaCl, 0.02 % sodium azide and 50 % glycerol.

    Preservative

    Sodium azide

    Precaution of Use

    This product contains Sodium azide: a POISONOUS AND HAZARDOUS SUBSTANCE which should be handled by trained staff only.

    Storage

    -20 °C

    Storage Comment

    Store at -20 °C. Stable for 12 months from date of receipt.

    Expiry Date

    12 months
  • Target

    BRI3 (Brain Protein I3 (BRI3))

    Alternative Name

    BRI3

    Background

    Description: Participates in tumor necrosis factor-alpha (TNF)-induced cell death (PubMed:14592447). May be a target of Wnt/beta-catenin signaling in the liver (PubMed:20538055).

    Gene: BRI3

    Molecular Weight

    14 kDa

    Gene ID

    25798

    UniProt

    O95415
You are here:
Chat with us!