Phone:
+1 877 302 8632
Fax:
+1 888 205 9894 (Toll-free)
E-Mail:
orders@antibodies-online.com

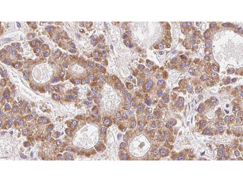
Claudin 23 antibody (Internal Region)

The Rabbit Polyclonal anti-Claudin 23 antibody (ABIN6260884) specifically detects Claudin 23 in WB, ELISA and IHC. The antibody is reactive with Human, Mouse and Rat samples.
Catalog No. ABIN6260884
$494.77
Plus shipping costs $50.00
Shipping to: United States
Delivery in 11 to 13 Business Days

Quick Overview for Claudin 23 antibody (Internal Region) (ABIN6260884)

Target

See all Claudin 23 (CLDN23) Antibodies
Claudin 23 (CLDN23)

Reactivity

  • 34
  • 12
  • 2
  • 1
  • 1
  • 1
Human, Mouse, Rat

Host

  • 34
Rabbit

Clonality

  • 34
Polyclonal

Conjugate

  • 9
  • 2
  • 2
  • 2
  • 1
  • 1
  • 1
  • 1
  • 1
  • 1
  • 1
  • 1
  • 1
  • 1
  • 1
  • 1
  • 1
  • 1
  • 1
  • 1
  • 1
  • 1
  • 1
This Claudin 23 antibody is un-conjugated

Application

  • 13
  • 13
  • 13
  • 10
  • 10
  • 7
  • 3
  • 1
  • 1
Western Blotting (WB), ELISA, Immunohistochemistry (IHC)
  • Binding Specificity

    • 15
    • 8
    • 4
    • 2
    • 1
    • 1
    Internal Region

    Specificity

    CLDN23 Antibody detects endogenous levels of total CLDN23.

    Predicted Reactivity

    Pig,Rabbit

    Purification

    The antiserum was purified by peptide affinity chromatography using SulfoLinkTM Coupling Resin (Thermo Fisher Scientific).

    Immunogen

    A synthesized peptide derived from human CLDN23, corresponding to a region within the internal amino acids.

    Isotype

    IgG
  • Application Notes

    WB 1:1000-3000, IHC 1:200, ELISA(peptide) 1:20000-1:40000

    Restrictions

    For Research Use only
  • Format

    Liquid

    Concentration

    1 mg/mL

    Buffer

    Rabbit IgG in phosphate buffered saline , pH 7.4, 150 mM NaCl, 0.02 % sodium azide and 50 % glycerol.

    Preservative

    Sodium azide

    Precaution of Use

    This product contains Sodium azide: a POISONOUS AND HAZARDOUS SUBSTANCE which should be handled by trained staff only.

    Storage

    -20 °C

    Storage Comment

    Store at -20 °C. Stable for 12 months from date of receipt.

    Expiry Date

    12 months
  • Target

    Claudin 23 (CLDN23)

    Alternative Name

    CLDN23

    Background

    Description: Plays a major role in tight junction-specific obliteration of the intercellular space, through calcium-independent cell-adhesion activity.

    Gene: CLDN23

    Molecular Weight

    32 kDa

    Gene ID

    137075

    UniProt

    Q96B33

    Pathways

    Cell-Cell Junction Organization, Hepatitis C
You are here:
Chat with us!