DARPP32 antibody
Quick Overview for DARPP32 antibody (ABIN6261225)
Target
See all DARPP32 (PPP1R1B) AntibodiesReactivity
Host
Clonality
Conjugate
Application
-
-
Specificity
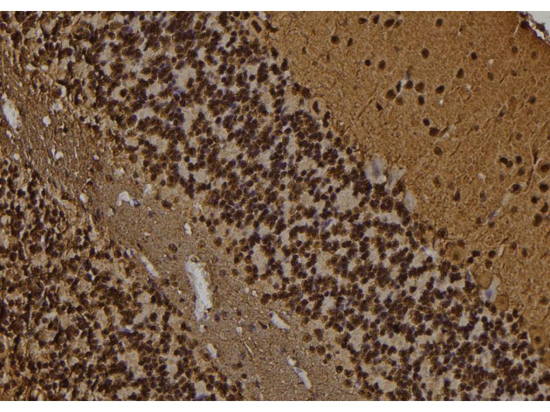
- DARPP-32 Antibody detects endogenous levels of total DARPP-32
-
Cross-Reactivity
- Human, Monkey, Mouse (Murine), Rat (Rattus)
-
Purification
- The antiserum was purified by peptide affinity chromatography using SulfoLinkTM Coupling Resin (Thermo Fisher Scientific).
-
Immunogen
- A synthesized peptide derived from human DARPP-32
-
Isotype
- IgG
-
-
-
-
Application Notes
- WB 1:500-1:2000 IHC 1:50-1:200, IF/ICC 1:100-1:500
-
Restrictions
- For Research Use only
-
-
-
Format
- Liquid
-
Concentration
- 1 mg/mL
-
Buffer
- Rabbit IgG in phosphate buffered saline , pH 7.4, 150 mM NaCl, 0.02 % sodium azide and 50 % glycerol.
-
Preservative
- Sodium azide
-
Precaution of Use
- This product contains Sodium azide: a POISONOUS AND HAZARDOUS SUBSTANCE which should be handled by trained staff only.
-
Storage
- -20 °C
-
Storage Comment
- Store at -20 °C.Stable for 12 months from date of receipt
-
Expiry Date
- 12 months
-
-
- DARPP32 (PPP1R1B) (Protein Phosphatase 1, Regulatory (Inhibitor) Subunit 1B (PPP1R1B))
-
Alternative Name
- DARPP-32
-
Background
-
Description: Inhibitor of protein-phosphatase 1.
Gene: PPP1R1B
-
Molecular Weight
- 32kDa
-
Gene ID
- 84152
-
UniProt
- Q9UD71
Target
-