Phone:
+1 877 302 8632
Fax:
+1 888 205 9894 (Toll-free)
E-Mail:
orders@antibodies-online.com

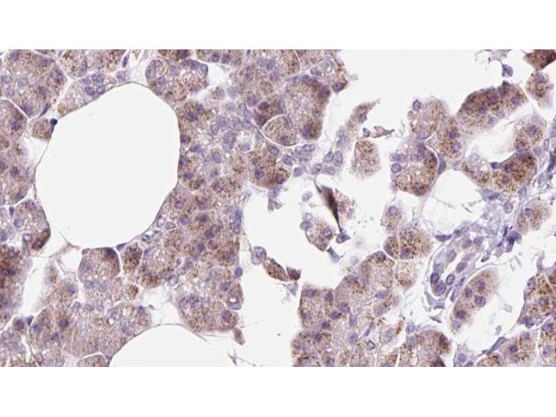
DCTN6 antibody (Internal Region)

This Rabbit Polyclonal antibody specifically detects DCTN6 in WB, IHC, ICC and IF. It exhibits reactivity toward Human and Rat.
Catalog No. ABIN6261245
$494.77
Plus shipping costs $50.00
Shipping to: United States
Delivery in 11 to 13 Business Days

Quick Overview for DCTN6 antibody (Internal Region) (ABIN6261245)

Target

See all DCTN6 Antibodies
DCTN6 (Dynactin 6 (DCTN6))

Reactivity

  • 38
  • 4
  • 2
Human, Rat

Host

  • 36
  • 2
Rabbit

Clonality

  • 38
Polyclonal

Conjugate

  • 13
  • 2
  • 2
  • 2
  • 1
  • 1
  • 1
  • 1
  • 1
  • 1
  • 1
  • 1
  • 1
  • 1
  • 1
  • 1
  • 1
  • 1
  • 1
  • 1
  • 1
  • 1
  • 1
This DCTN6 antibody is un-conjugated

Application

  • 15
  • 14
  • 13
  • 13
  • 5
  • 4
  • 3
  • 3
Western Blotting (WB), Immunohistochemistry (IHC), Immunocytochemistry (ICC), Immunofluorescence (IF)
  • Binding Specificity

    • 15
    • 8
    • 4
    • 1
    • 1
    • 1
    Internal Region

    Specificity

    DCTN6 Antibody detects endogenous levels of total DCTN6.

    Predicted Reactivity

    Pig,Bovine,Horse,Sheep,Rabbit,Dog

    Purification

    The antiserum was purified by peptide affinity chromatography using SulfoLinkTM Coupling Resin (Thermo Fisher Scientific).

    Immunogen

    A synthesized peptide derived from human DCTN6, corresponding to a region within the internal amino acids.

    Isotype

    IgG
  • Application Notes

    WB 1:500-1:2000, IHC 1:50-1:200, IF/ICC 1:100-1:500

    Restrictions

    For Research Use only
  • Format

    Liquid

    Concentration

    1 mg/mL

    Buffer

    Rabbit IgG in phosphate buffered saline , pH 7.4, 150 mM NaCl, 0.02 % sodium azide and 50 % glycerol.

    Preservative

    Sodium azide

    Precaution of Use

    This product contains Sodium azide: a POISONOUS AND HAZARDOUS SUBSTANCE which should be handled by trained staff only.

    Storage

    -20 °C

    Storage Comment

    Store at -20 °C. Stable for 12 months from date of receipt.

    Expiry Date

    12 months
  • Target

    DCTN6 (Dynactin 6 (DCTN6))

    Alternative Name

    DCTN6

    Background

    Gene: DCTN6

    Molecular Weight

    27 kDa

    Gene ID

    10671

    UniProt

    O00399
You are here:
Chat with us!