Phone:
+1 877 302 8632
Fax:
+1 888 205 9894 (Toll-free)
E-Mail:
orders@antibodies-online.com

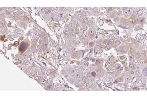
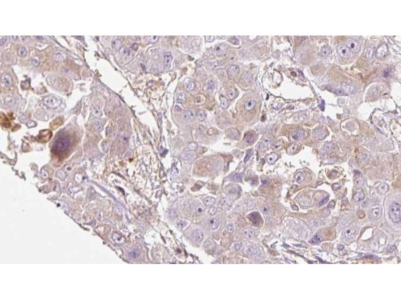
OR1E1 antibody (C-Term)

This Rabbit Polyclonal antibody specifically detects OR1E1 in ELISA, WB and IHC. It exhibits reactivity toward Human.
Catalog No. ABIN6263843
$494.77
Plus shipping costs $50.00
Shipping to: United States
Delivery in 11 to 13 Business Days

Quick Overview for OR1E1 antibody (C-Term) (ABIN6263843)

Target

See all OR1E1 Antibodies
OR1E1 (Olfactory Receptor 1E5 (OR1E1))

Reactivity

Human

Host

  • 2
Rabbit

Clonality

  • 2
Polyclonal

Conjugate

  • 2
This OR1E1 antibody is un-conjugated

Application

ELISA, Western Blotting (WB), Immunohistochemistry (IHC)
  • Binding Specificity

    C-Term

    Specificity

    OR1E1 Antibody detects endogenous levels of total OR1E1.

    Purification

    The antiserum was purified by peptide affinity chromatography using SulfoLinkTM Coupling Resin (Thermo Fisher Scientific).

    Immunogen

    A synthesized peptide derived from human OR1E1, corresponding to a region within C-terminal amino acids.

    Isotype

    IgG
  • Application Notes

    WB 1:1000-3000, IHC 1:200, ELISA(peptide) 1:20000-1:40000

    Restrictions

    For Research Use only
  • Format

    Liquid

    Concentration

    1 mg/mL

    Buffer

    Rabbit IgG in phosphate buffered saline , pH 7.4, 150 mM NaCl, 0.02 % sodium azide and 50 % glycerol.

    Preservative

    Sodium azide

    Precaution of Use

    This product contains Sodium azide: a POISONOUS AND HAZARDOUS SUBSTANCE which should be handled by trained staff only.

    Storage

    -20 °C

    Storage Comment

    Store at -20 °C. Stable for 12 months from date of receipt.

    Expiry Date

    12 months
  • Target

    OR1E1 (Olfactory Receptor 1E5 (OR1E1))

    Alternative Name

    OR1E1

    Background

    Description: Odorant receptor.

    Gene: OR1E1

    Molecular Weight

    35 kDa

    Gene ID

    8387

    UniProt

    P30953
You are here:
Chat with us!