Phone:
+1 877 302 8632
Fax:
+1 888 205 9894 (Toll-free)
E-Mail:
orders@antibodies-online.com

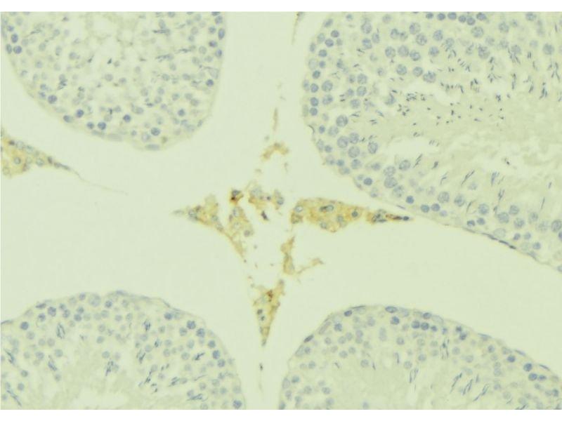
PATE3 antibody (Internal Region)

The Rabbit Polyclonal anti-PATE3 antibody is suitable to detect PATE3 in samples from Human, Mouse and Rat. It has been validated for IHC, WB and ELISA.
Catalog No. ABIN6264048
$494.77
Plus shipping costs $50.00
Shipping to: United States
Delivery in 11 to 13 Business Days

Quick Overview for PATE3 antibody (Internal Region) (ABIN6264048)

Target

PATE3 (Prostate and Testis Expressed 3 (PATE3))

Reactivity

Human, Mouse, Rat

Host

  • 7
Rabbit

Clonality

  • 7
Polyclonal

Conjugate

  • 1
  • 1
  • 1
  • 1
  • 1
  • 1
  • 1
This PATE3 antibody is un-conjugated

Application

Immunohistochemistry (IHC), Western Blotting (WB), ELISA
  • Binding Specificity

    Internal Region

    Specificity

    PATE3 Antibody detects endogenous levels of total PATE3.

    Predicted Reactivity

    Pig,Sheep,Dog

    Purification

    The antiserum was purified by peptide affinity chromatography using SulfoLinkTM Coupling Resin (Thermo Fisher Scientific).

    Immunogen

    A synthesized peptide derived from human PATE3, corresponding to a region within the internal amino acids.

    Isotype

    IgG
  • Application Notes

    WB 1:500-1:2000, IHC 1:50-1:200, ELISA(peptide) 1:20000-1:40000

    Restrictions

    For Research Use only
  • Format

    Liquid

    Concentration

    1 mg/mL

    Buffer

    Rabbit IgG in phosphate buffered saline , pH 7.4, 150 mM NaCl, 0.02 % sodium azide and 50 % glycerol.

    Preservative

    Sodium azide

    Precaution of Use

    This product contains Sodium azide: a POISONOUS AND HAZARDOUS SUBSTANCE which should be handled by trained staff only.

    Storage

    -20 °C

    Storage Comment

    Store at -20 °C. Stable for 12 months from date of receipt.

    Expiry Date

    12 months
  • Target

    PATE3 (Prostate and Testis Expressed 3 (PATE3))

    Alternative Name

    PATE3

    Background

    Gene: PATE3

    Molecular Weight

    12kDa

    Gene ID

    100169851

    UniProt

    B3GLJ2
You are here:
Chat with us!