PIK3IP1 antibody (N-Term)
Quick Overview for PIK3IP1 antibody (N-Term) (ABIN6264216)
Target
See all PIK3IP1 AntibodiesReactivity
Host
Clonality
Conjugate
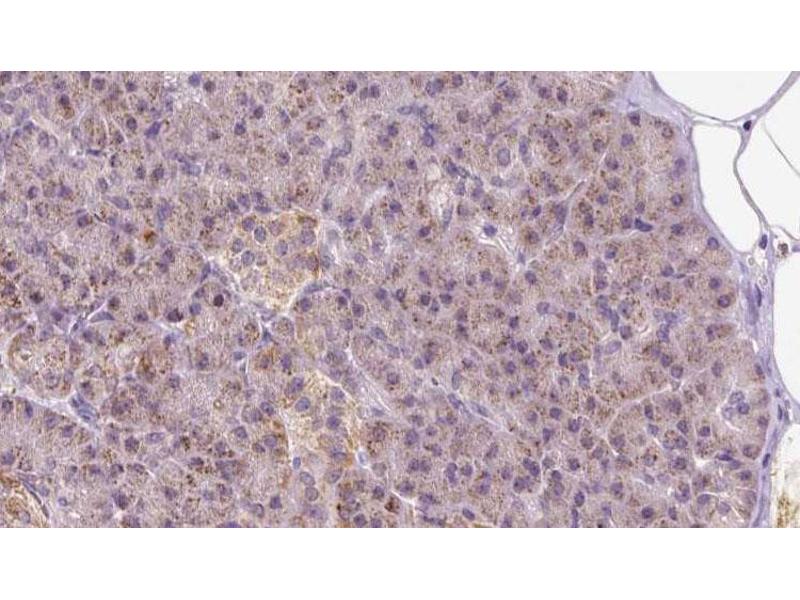
Application
-
-
Binding Specificity
- N-Term
-
Specificity
- PIK3IP1 Antibody detects endogenous levels of total PIK3IP1.
-
Predicted Reactivity
- Pig,Bovine,Horse,Sheep,Rabbit,Dog
-
Purification
- The antiserum was purified by peptide affinity chromatography using SulfoLinkTM Coupling Resin (Thermo Fisher Scientific).
-
Immunogen
- A synthesized peptide derived from human PIK3IP1, corresponding to a region within N-terminal amino acids.
-
Isotype
- IgG
-
-
-
-
Application Notes
- WB 1:500-1:2000, IHC 1:50-1:200, IF/ICC 1:100-1:500
-
Restrictions
- For Research Use only
-
-
-
Format
- Liquid
-
Concentration
- 1 mg/mL
-
Buffer
- Rabbit IgG in phosphate buffered saline , pH 7.4, 150 mM NaCl, 0.02 % sodium azide and 50 % glycerol.
-
Preservative
- Sodium azide
-
Precaution of Use
- This product contains Sodium azide: a POISONOUS AND HAZARDOUS SUBSTANCE which should be handled by trained staff only.
-
Storage
- -20 °C
-
Storage Comment
- Store at -20 °C. Stable for 12 months from date of receipt.
-
Expiry Date
- 12 months
-
-
- PIK3IP1 (Phosphoinositide-3-Kinase-Interacting Protein 1 (PIK3IP1))
-
Alternative Name
- PIK3IP1
-
Background
-
Description: Negative regulator of hepatic phosphatidylinositol 3-kinase (PI3K) activity.
Gene: PIK3IP1
-
Molecular Weight
- 37 kDa
-
Gene ID
- 113791
-
UniProt
- Q96FE7
Target
-