Phone:
+1 877 302 8632
Fax:
+1 888 205 9894 (Toll-free)
E-Mail:
orders@antibodies-online.com

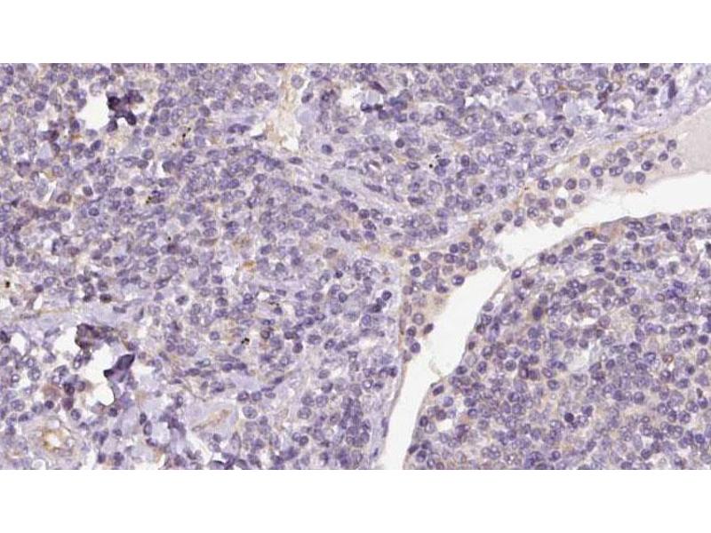
Syntaxin 16 antibody (N-Term)

The Rabbit Polyclonal anti-Syntaxin 16 antibody is suitable to detect Syntaxin 16 in samples from Human, Mouse and Rat. It has been validated for WB, IHC, ICC and IF.
Catalog No. ABIN6265404
$494.77
Plus shipping costs $50.00
Shipping to: United States
Delivery in 11 to 13 Business Days

Quick Overview for Syntaxin 16 antibody (N-Term) (ABIN6265404)

Target

See all Syntaxin 16 (STX16) Antibodies
Syntaxin 16 (STX16)

Reactivity

  • 45
  • 19
  • 19
  • 3
  • 2
  • 2
  • 2
  • 2
  • 1
  • 1
  • 1
  • 1
  • 1
  • 1
Human, Mouse, Rat

Host

  • 40
  • 5
  • 1
Rabbit

Clonality

  • 29
  • 17
Polyclonal

Conjugate

  • 25
  • 3
  • 2
  • 2
  • 2
  • 2
  • 2
  • 2
  • 1
  • 1
  • 1
  • 1
  • 1
  • 1
This Syntaxin 16 antibody is un-conjugated

Application

  • 38
  • 15
  • 14
  • 13
  • 11
  • 11
  • 1
  • 1
  • 1
Western Blotting (WB), Immunohistochemistry (IHC), Immunocytochemistry (ICC), Immunofluorescence (IF)
  • Binding Specificity

    • 8
    • 5
    • 3
    • 2
    • 2
    • 1
    • 1
    • 1
    • 1
    • 1
    N-Term

    Specificity

    Syntaxin 16 Antibody detects endogenous levels of total Syntaxin 16.

    Predicted Reactivity

    Bovine,Dog

    Purification

    The antiserum was purified by peptide affinity chromatography using SulfoLinkTM Coupling Resin (Thermo Fisher Scientific).

    Immunogen

    A synthesized peptide derived from human Syntaxin 16, corresponding to a region within N-terminal amino acids.

    Isotype

    IgG
  • Application Notes

    WB 1:500-1:2000, IHC 1:50-1:200, IF/ICC 1:100-1:500

    Restrictions

    For Research Use only
  • Format

    Liquid

    Concentration

    1 mg/mL

    Buffer

    Rabbit IgG in phosphate buffered saline , pH 7.4, 150 mM NaCl, 0.02 % sodium azide and 50 % glycerol.

    Preservative

    Sodium azide

    Precaution of Use

    This product contains Sodium azide: a POISONOUS AND HAZARDOUS SUBSTANCE which should be handled by trained staff only.

    Storage

    -20 °C

    Storage Comment

    Store at -20 °C. Stable for 12 months from date of receipt.

    Expiry Date

    12 months
  • Target

    Syntaxin 16 (STX16)

    Alternative Name

    STX16

    Background

    Description: SNARE involved in vesicular transport from the late endosomes to the trans-Golgi network.

    Gene: STX16

    Molecular Weight

    42 kDa

    Gene ID

    8675

    UniProt

    O14662

    Pathways

    Synaptic Vesicle Exocytosis
You are here:
Chat with us!