Phone:
+1 877 302 8632
Fax:
+1 888 205 9894 (Toll-free)
E-Mail:
orders@antibodies-online.com

TSHZ1 antibody (Internal Region)

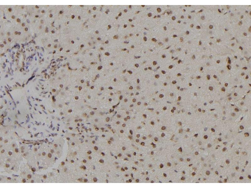
This Rabbit Polyclonal antibody specifically detects TSHZ1 in WB, ELISA and IHC. It exhibits reactivity toward Human, Mouse and Rat.
Catalog No. ABIN6265769
$494.77
Plus shipping costs $50.00
Shipping to: United States
Delivery in 11 to 13 Business Days

Quick Overview for TSHZ1 antibody (Internal Region) (ABIN6265769)

Target

See all TSHZ1 Antibodies
TSHZ1 (Teashirt Zinc Finger Homeobox 1 (TSHZ1))

Reactivity

Human, Mouse, Rat

Host

  • 20
  • 2
Rabbit

Clonality

  • 21
  • 1
Polyclonal

Conjugate

  • 17
  • 1
  • 1
  • 1
  • 1
  • 1
This TSHZ1 antibody is un-conjugated

Application

  • 18
  • 14
  • 5
  • 4
  • 4
  • 2
  • 2
  • 1
Western Blotting (WB), ELISA, Immunohistochemistry (IHC)
  • Binding Specificity

    • 7
    • 3
    • 3
    • 1
    • 1
    • 1
    • 1
    • 1
    • 1
    • 1
    • 1
    • 1
    • 1
    • 1
    Internal Region

    Specificity

    TSH1 Antibody detects endogenous levels of total TSH1.

    Predicted Reactivity

    Pig,Bovine,Horse,Rabbit,Dog,Chicken,Xenopus

    Purification

    The antiserum was purified by peptide affinity chromatography using SulfoLinkTM Coupling Resin (Thermo Fisher Scientific).

    Immunogen

    A synthesized peptide derived from human TSH1, corresponding to a region within the internal amino acids.

    Isotype

    IgG
  • Application Notes

    WB 1:1000-3000, IHC 1:200, ELISA(peptide) 1:20000-1:40000

    Restrictions

    For Research Use only
  • Format

    Liquid

    Concentration

    1 mg/mL

    Buffer

    Rabbit IgG in phosphate buffered saline , pH 7.4, 150 mM NaCl, 0.02 % sodium azide and 50 % glycerol.

    Preservative

    Sodium azide

    Precaution of Use

    This product contains Sodium azide: a POISONOUS AND HAZARDOUS SUBSTANCE which should be handled by trained staff only.

    Storage

    -20 °C

    Storage Comment

    Store at -20 °C. Stable for 12 months from date of receipt.

    Expiry Date

    12 months
  • Target

    TSHZ1 (Teashirt Zinc Finger Homeobox 1 (TSHZ1))

    Alternative Name

    TSHZ1

    Background

    Description: Probable transcriptional regulator involved in developmental processes. May act as a transcriptional repressor (Potential).

    Gene: TSHZ1

    Molecular Weight

    117 kDa

    Gene ID

    10194

    UniProt

    Q6ZSZ6
You are here:
Chat with us!