Phone:
+1 877 302 8632
Fax:
+1 888 205 9894 (Toll-free)
E-Mail:
orders@antibodies-online.com

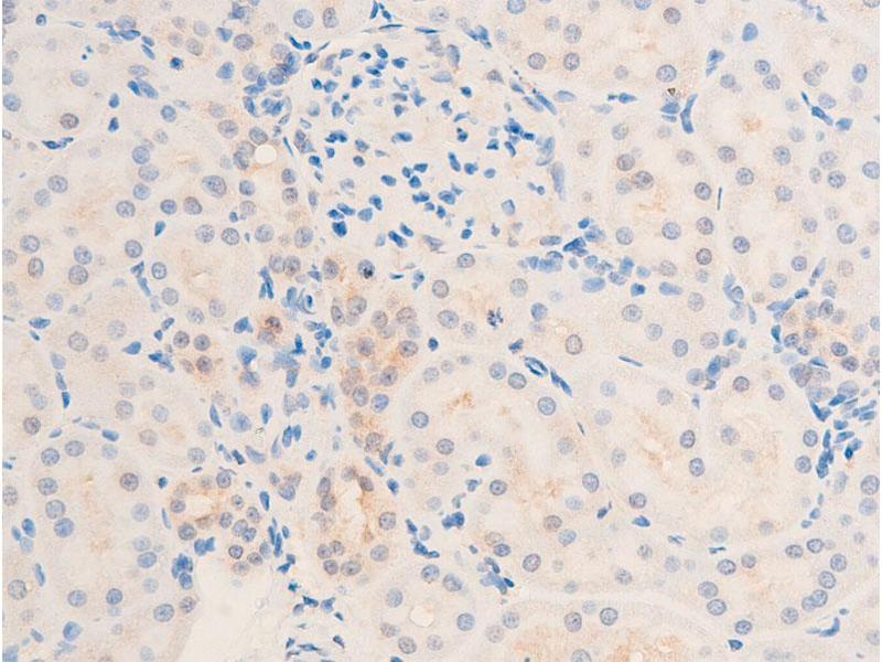
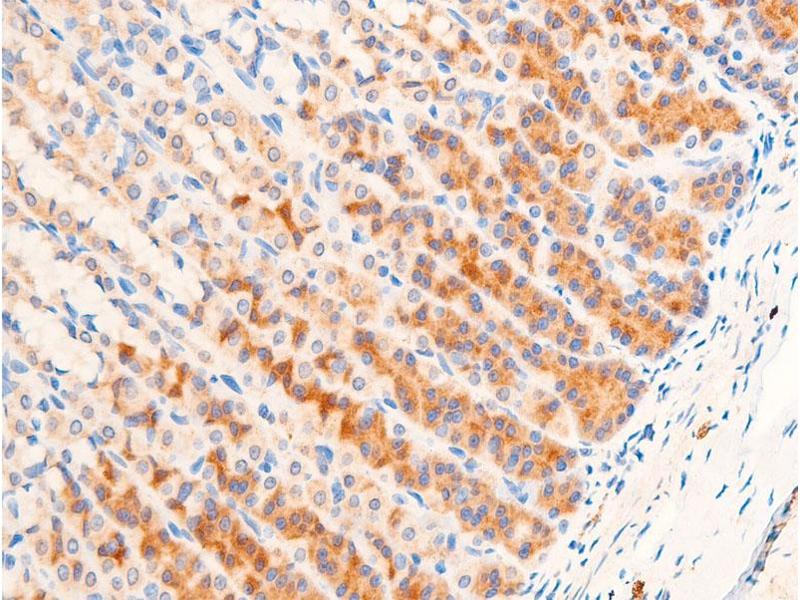
TGFB1 antibody (C-Term)

Cited in 5+ publications. The Rabbit Polyclonal anti-TGFB1 antibody (ABIN6266431) specifically detects TGFB1 in WB, IHC, ELISA, ICC and IF. The antibody is reactive with Human, Mouse and Rat samples.
Catalog No. ABIN6266431
$494.77
Plus shipping costs $50.00
Shipping to: United States
Delivery in 11 to 13 Business Days

Quick Overview for TGFB1 antibody (C-Term) (ABIN6266431)

Target

See all TGFB1 Antibodies
TGFB1 (Transforming Growth Factor, beta 1 (TGFB1))

Reactivity

  • 161
  • 90
  • 55
  • 23
  • 22
  • 15
  • 13
  • 11
  • 9
  • 8
  • 5
  • 4
  • 4
  • 4
  • 3
  • 3
  • 1
  • 1
  • 1
Human, Mouse, Rat

Host

  • 175
  • 52
  • 11
  • 3
  • 2
  • 1
  • 1
Rabbit

Clonality

  • 175
  • 69
Polyclonal

Conjugate

  • 118
  • 35
  • 30
  • 10
  • 8
  • 7
  • 3
  • 2
  • 2
  • 2
  • 2
  • 2
  • 2
  • 2
  • 2
  • 2
  • 2
  • 2
  • 2
  • 2
  • 2
  • 2
  • 2
  • 2
This TGFB1 antibody is un-conjugated

Application

  • 162
  • 83
  • 80
  • 51
  • 35
  • 34
  • 30
  • 27
  • 26
  • 16
  • 10
  • 9
  • 5
  • 5
  • 5
  • 2
  • 2
  • 2
  • 2
  • 1
  • 1
  • 1
Western Blotting (WB), Immunohistochemistry (IHC), ELISA, Immunocytochemistry (ICC), Immunofluorescence (IF)
  • Binding Specificity

    • 44
    • 16
    • 15
    • 8
    • 8
    • 7
    • 7
    • 6
    • 5
    • 4
    • 4
    • 4
    • 3
    • 3
    • 2
    • 2
    • 2
    • 1
    • 1
    • 1
    • 1
    • 1
    • 1
    • 1
    • 1
    • 1
    • 1
    • 1
    • 1
    • 1
    • 1
    • 1
    • 1
    • 1
    • 1
    C-Term

    Specificity

    TGF beta1 Antibody detects endogenous levels of total TGF beta1.

    Predicted Reactivity

    Pig,Bovine,Horse,Sheep,Dog

    Purification

    The antiserum was purified by peptide affinity chromatography using SulfoLinkTM Coupling Resin (Thermo Fisher Scientific).

    Immunogen

    A synthesized peptide derived from human TGF beta1, corresponding to a region within C-terminal amino acids.

    Isotype

    IgG
  • Application Notes

    WB: 1:500-1:2000, IHC: 1:50-1:200, IF/ICC 1:200, ELISA(peptide) 1:20000-1:40000

    Restrictions

    For Research Use only
  • Format

    Liquid

    Concentration

    1 mg/mL

    Buffer

    Rabbit IgG in phosphate buffered saline , pH 7.4, 150 mM NaCl, 0.02 % sodium azide and 50 % glycerol.

    Preservative

    Sodium azide

    Precaution of Use

    This product contains Sodium azide: a POISONOUS AND HAZARDOUS SUBSTANCE which should be handled by trained staff only.

    Storage

    -20 °C

    Storage Comment

    Store at -20 °C. Stable for 12 months from date of receipt.

    Expiry Date

    12 months
  • Yan, Li, Fan, Du, Ma, Cheng, Li, Zhang, Yu, Wang, Tang, Zheng: "The roles of Toll-like receptor 4 in the pathogenesis of pathogen-associated biliary fibrosis caused by Clonorchis sinensis." in: Scientific reports, Vol. 7, Issue 1, pp. 3909, (2018) (PubMed).

    Xia, Deng, Zhou, Shao, Yang, Sha, Zou: "Expression and significance of Sirt1 in renal allografts at the early stage of chronic renal allograft dysfunction." in: Transplant immunology, Vol. 48, pp. 18-25, (2018) (PubMed).

    Hui, Dingjie, Yuan, Zhongqiu, Na, Mingjian, Yu, Guangyuan, Xuemin, Shifeng, Yucong, Fang, Summer, Hong: "Silicosis decreases bone mineral density in rats." in: Toxicology and applied pharmacology, Vol. 348, pp. 117-122, (2018) (PubMed).

    Zhao, Wu, Chen, Ji, Zheng: "TGF-β1 and connexin-43 expression in neurogenic bladder from rats with sacral spinal cord injury." in: Neurourology and urodynamics, (2018) (PubMed).

    Ai, Liu, Lu, Liang, Sun, Chen, Sun, Li, Liu, Zhang, Liu, Xiao, Jing, Sun, Zhou, Yang: "Phenytoin silver: a new nanocompound for promoting dermal wound healing via comprehensive pharmacological action." in: Theranostics, Vol. 7, Issue 2, pp. 425-435, (2017) (PubMed).

  • Target

    TGFB1 (Transforming Growth Factor, beta 1 (TGFB1))

    Alternative Name

    TGFB1

    Background

    Description: Multifunctional protein that controls proliferation, differentiation and other functions in many cell types. Many cells synthesize TGFB1 and have specific receptors for it. It positively and negatively regulates many other growth factors. It plays an important role in bone remodeling as it is a potent stimulator of osteoblastic bone formation, causing chemotaxis, proliferation and differentiation in committed osteoblasts (By similarity). Stimulates sustained production of collagen through the activation of CREB3L1 by regulated intramembrane proteolysis (RIP) (PubMed:25310401). Can promote either T-helper 17 cells (Th17) or regulatory T-cells (Treg) lineage differentiation in a concentration-dependent manner. At high concentrations, leads to FOXP3-mediated suppression of RORC and down-regulation of IL-17 expression, favoring Treg cell development. At low concentrations in concert with IL-6 and IL-21, leads to expression of the IL-17 and IL-23 receptors, favoring differentiation to Th17 cells. Mediates SMAD2/3 activation by inducing its phosphorylation and subsequent translocation to the nucleus (PubMed:25893292). Can induce epithelial-to-mesenchymal transition (EMT) and cell migration in various cell types (PubMed:25893292).

    Gene: TGFB1

    Molecular Weight

    45kDa

    Gene ID

    7040

    UniProt

    P01137

    Pathways

    EGFR Signaling Pathway, Dopaminergic Neurogenesis, Cellular Response to Molecule of Bacterial Origin, Glycosaminoglycan Metabolic Process, Regulation of Leukocyte Mediated Immunity, Regulation of Muscle Cell Differentiation, Positive Regulation of Immune Effector Process, Cell-Cell Junction Organization, Production of Molecular Mediator of Immune Response, Ribonucleoside Biosynthetic Process, Skeletal Muscle Fiber Development, Regulation of Carbohydrate Metabolic Process, Protein targeting to Nucleus, Autophagy, Cancer Immune Checkpoints
You are here:
Chat with us!