Phone:
+1 877 302 8632
Fax:
+1 888 205 9894 (Toll-free)
E-Mail:
orders@antibodies-online.com

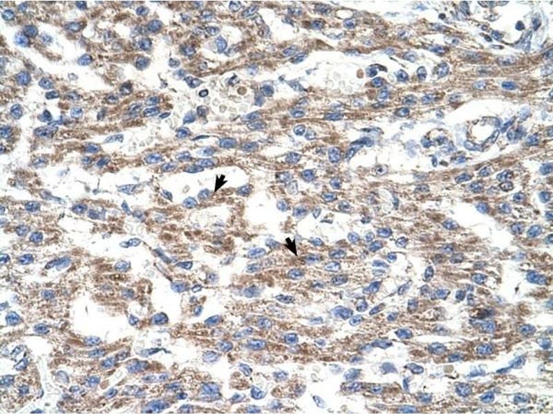
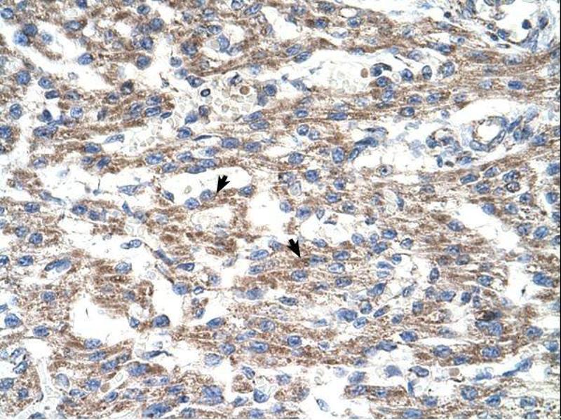
Deoxyuridine Triphosphatase (DUT) (C-Term) antibody

This Rabbit Polyclonal antibody specifically detects Deoxyuridine Triphosphatase in WB and IHC. It exhibits reactivity toward Human, Rat, Mouse and Dog.
Catalog No. ABIN629626
$1,143.75
Plus shipping costs $50.00
100 μg
Shipping to: United States
Delivery in 9 to 12 Business Days

Quick Overview for Deoxyuridine Triphosphatase (DUT) (C-Term) antibody (ABIN629626)

Target

See all Deoxyuridine Triphosphatase (DUT) Antibodies
Deoxyuridine Triphosphatase (DUT)

Reactivity

  • 93
  • 33
  • 19
  • 3
  • 2
  • 2
  • 2
  • 2
  • 2
  • 1
  • 1
  • 1
  • 1
Human, Rat, Mouse, Dog

Host

  • 90
  • 2
  • 1
Rabbit

Clonality

  • 81
  • 12
Polyclonal

Conjugate

  • 34
  • 5
  • 3
  • 3
  • 3
  • 3
  • 3
  • 3
  • 3
  • 3
  • 2
  • 2
  • 2
  • 2
  • 2
  • 2
  • 2
  • 2
  • 2
  • 2
  • 2
  • 2
  • 2
  • 1
  • 1
  • 1
  • 1
Un-conjugated

Application

  • 75
  • 27
  • 26
  • 24
  • 18
  • 15
  • 14
  • 11
  • 8
  • 6
  • 2
Western Blotting (WB), Immunohistochemistry (IHC)
  • Binding Specificity

    • 15
    • 15
    • 9
    • 8
    • 3
    • 3
    • 2
    • 2
    • 1
    • 1
    • 1
    • 1
    • 1
    • 1
    • 1
    • 1
    C-Term

    Specificity

    DUT antibody was raised against the C terminal of DUT

    Purification

    Purified

    Immunogen

    DUT antibody was raised using the C terminal of DUT corresponding to a region with amino acids NFGKEKFEVKKGDRIAQLICERIFYPEIEEVQALDDTERGSGGFGSTGKN
  • Application Notes

    WB: 2.5 µg/mL, IHC: 4-8 µg/mL
    Optimal conditions should be determined by the investigator.

    Comment

    DUT Blocking Peptide, (ABIN5613272), is also available for use as a blocking control in assays to test for specificity of this DUT antibody

    Restrictions

    For Research Use only
  • Format

    Lyophilized

    Reconstitution

    Lyophilized powder. Add distilled water for a 1 mg/mL concentration of DUT antibody in PBS

    Concentration

    Lot specific

    Buffer

    PBS

    Handling Advice

    Avoid repeated freeze/thaw cycles.
    Dilute only prior to immediate use.

    Storage

    4 °C/-20 °C

    Storage Comment

    Store at 2-8 °C for short periods. For longer periods of storage, store at -20 °C.
  • Target

    Deoxyuridine Triphosphatase (DUT)

    Alternative Name

    DUT

    Background

    DUT is an essential enzyme of nucleotide metabolism. This protein forms a ubiquitous, homotetrameric enzyme that hydrolyzes dUTP to dUMP and pyrophosphate. This reaction serves two cellular purposes: providing a precursor (dUMP) for the synthesis of thymine nucleotides needed for DNA replication, and limiting intracellular pools of dUTP. Elevated levels of dUTP lead to increased incorporation of uracil into DNA, which induces extensive excision repair mediated by uracil glycosylase. This repair process, resulting in the removal and reincorporation of dUTP, is self-defeating and leads to DNA fragmentation and cell death.

    Molecular Weight

    19 kDa (MW of target protein)
You are here:
Chat with us!