Phone:
+1 877 302 8632
Fax:
+1 888 205 9894 (Toll-free)
E-Mail:
orders@antibodies-online.com

SNRNP35 antibody (N-Term)

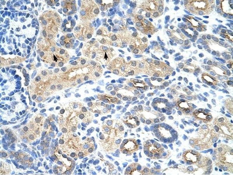
The Rabbit Polyclonal anti-SNRNP35 antibody (ABIN630009) specifically detects SNRNP35 in WB and IHC. The antibody is reactive with Human samples.
Catalog No. ABIN630009
$1,143.75
Plus shipping costs $50.00
100 μg
Shipping to: United States
Delivery in 9 to 12 Business Days

Quick Overview for SNRNP35 antibody (N-Term) (ABIN630009)

Target

See all SNRNP35 Antibodies
SNRNP35 (U11/U12 SnRNP 35 KDa Protein)

Reactivity

  • 8
  • 7
  • 2
  • 2
  • 1
  • 1
  • 1
  • 1
  • 1
Human

Host

  • 12
Rabbit

Clonality

  • 12
Polyclonal

Conjugate

  • 8
  • 2
  • 1
  • 1
This SNRNP35 antibody is un-conjugated

Application

  • 8
  • 6
  • 3
  • 2
  • 1
  • 1
Western Blotting (WB), Immunohistochemistry (IHC)
  • Binding Specificity

    • 6
    • 1
    • 1
    • 1
    N-Term

    Specificity

    U1 SNRNPBP antibody was raised against the N terminal of U1 NRNPBP

    Purification

    Purified

    Immunogen

    U1 SNRNPBP antibody was raised using the N terminal of U1 NRNPBP corresponding to a region with amino acids RAVWRAMLARYVPNKGVIGDPLLTLFVARLNLQTKEDKLKEVFSRYGDIR
  • Application Notes

    WB: 2.5 µg/mL, IHC: 4-8 µg/mL
    Optimal conditions should be determined by the investigator.

    Comment

    U1SNRNPBP Blocking Peptide, (ABIN5616854), is also available for use as a blocking control in assays to test for specificity of this U1SNRNPBP antibody

    Restrictions

    For Research Use only
  • Format

    Lyophilized

    Reconstitution

    Lyophilized powder. Add distilled water for a 1 mg/mL concentration of U0 NRNPBP antibody in PBS

    Concentration

    Lot specific

    Buffer

    PBS

    Handling Advice

    Avoid repeated freeze/thaw cycles.
    Dilute only prior to immediate use.

    Storage

    4 °C/-20 °C

    Storage Comment

    Store at 2-8 °C for short periods. For longer periods of storage, store at -20 °C.
  • Target

    SNRNP35 (U11/U12 SnRNP 35 KDa Protein)

    Alternative Name

    U1SNRNPBP

    Background

    U1SNRNPBP is a homolog of U1-snRNP binding protein. Its N-terminal half contains a RNA recognition motif and the C-terminal half is rich in Arg/Asp and Arg/Glu dipeptides, a characteristic of a variety of splicing factors.

    Molecular Weight

    28 kDa (MW of target protein)
You are here:
Chat with us!