PIGV antibody (N-Term)
Quick Overview for PIGV antibody (N-Term) (ABIN630452)
Target
See all PIGV AntibodiesReactivity
Host
Clonality
Conjugate
Application
-
-
Binding Specificity
- N-Term
-
Specificity
- PIGV antibody was raised against the N terminal of PIGV
-
Purification
- Purified
-
Immunogen
- PIGV antibody was raised using the N terminal of PIGV corresponding to a region with amino acids FVDQLVEGLLGGLSHWDAEHFLFIAEHGYLYEHNFAFFPGFPLALLVGTE
-
-
-
-
Application Notes
-
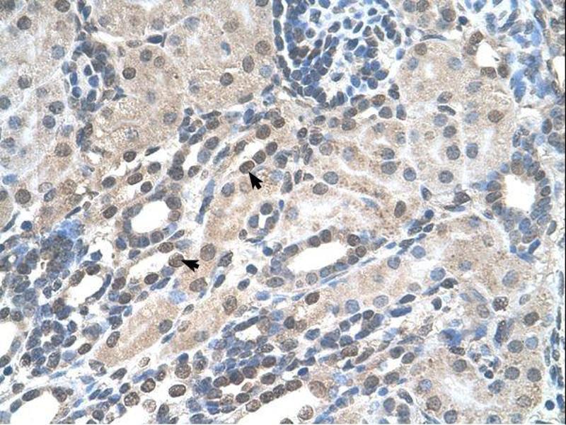
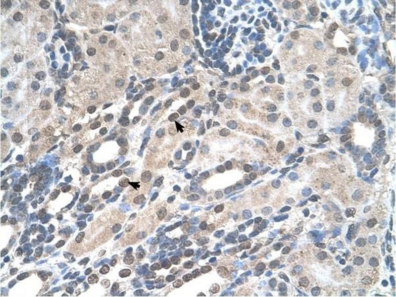
WB: 1 µg/mL, IHC: 4-8 µg/mL
Optimal conditions should be determined by the investigator. -
Comment
-
PIGV Blocking Peptide, (ABIN938497), is also available for use as a blocking control in assays to test for specificity of this PIGV antibody
-
Restrictions
- For Research Use only
-
-
-
Format
- Lyophilized
-
Reconstitution
- Lyophilized powder. Add distilled water for a 1 mg/mL concentration of PIGV antibody in PBS
-
Concentration
- Lot specific
-
Buffer
- PBS
-
Handling Advice
-
Avoid repeated freeze/thaw cycles.
Dilute only prior to immediate use. -
Storage
- 4 °C/-20 °C
-
Storage Comment
- Store at 2-8 °C for short periods. For longer periods of storage, store at -20 °C.
-
-
- PIGV (Phosphatidylinositol Glycan Anchor Biosynthesis, Class V (PIGV))
-
Alternative Name
- PIGV
-
Background
- Glycosylphosphatidylinositol (GPI) is a complex glycolipid that anchors many proteins to the cell surface. The biosynthetic pathway of GPI is mediated by sequential addition of sugars and other components to phosphatidylinositol. PIGV adds the second mannose to the GPI core.
-
Molecular Weight
- 56 kDa (MW of target protein)
-
Pathways
- Inositol Metabolic Process
Target
-