CHST1 antibody
Quick Overview for CHST1 antibody (ABIN630465)
Target
See all CHST1 AntibodiesReactivity
Host
Clonality
Conjugate
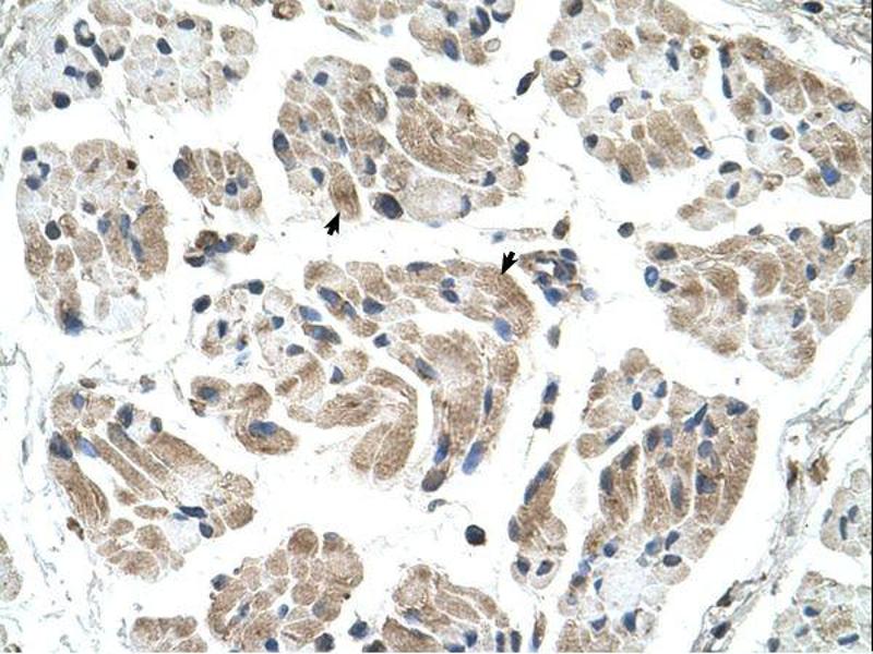
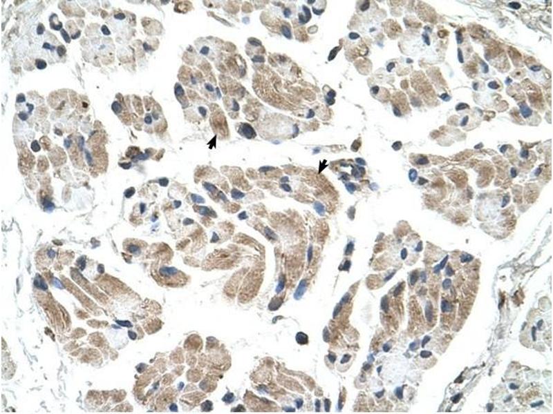
Application
-
-
Purification
- Purified
-
Immunogen
- CHST1 antibody was raised using a synthetic peptide corresponding to a region with amino acids SFVGQLFNQHLDVFYLFEPLYHVQNTLIPRFTQGKSPADRRVMLGASRDL
-
-
-
-
Application Notes
-
WB: 1.25 µg/mL, IHC: 4-8 µg/mL
Optimal conditions should be determined by the investigator. -
Comment
-
CHST1 Blocking Peptide, (ABIN5612875), is also available for use as a blocking control in assays to test for specificity of this CHST1 antibody
-
Restrictions
- For Research Use only
-
-
-
Format
- Lyophilized
-
Reconstitution
- Lyophilized powder. Add distilled water for a 1 mg/mL concentration of CHST1 antibody in PBS
-
Concentration
- Lot specific
-
Buffer
- PBS
-
Handling Advice
- Avoid repeated freeze/thaw cycles.
-
Storage
- 4 °C/-20 °C
-
Storage Comment
- Store at 2-8 °C for short periods. For longer periods of storage, store at -20 °C.
-
-
- CHST1 (Carbohydrate (Keratan Sulfate Gal-6) Sulfotransferase 1 (CHST1))
-
Alternative Name
- CHST1
-
Background
- CHST1 catalyzes the transfer of sulfate to position 6 of galactose (Gal) residues of keratan. It has a preference for sulfating keratan sulfate, but it also transfers sulfate to the unsulfated polymer. The sulfotransferase activity on sialyl LacNAc structures is much higher than the corresponding desialylated substrate, and only internal Gal residues are sulfated. It may function in the sulfation of sialyl N-acetyllactosamine oligosaccharide chains attached to glycoproteins. It participates in biosynthesis of selectin ligands. Selectin ligands are present in high endothelial cells (HEVs) and play a central role in lymphocyte homing at sites of inflammation.
-
Molecular Weight
- 47 kDa (MW of target protein)
-
Pathways
- Glycosaminoglycan Metabolic Process
Target
-