Phone:
+1 877 302 8632
Fax:
+1 888 205 9894 (Toll-free)
E-Mail:
orders@antibodies-online.com

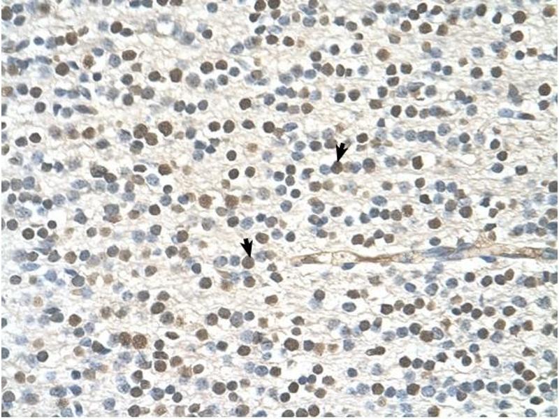
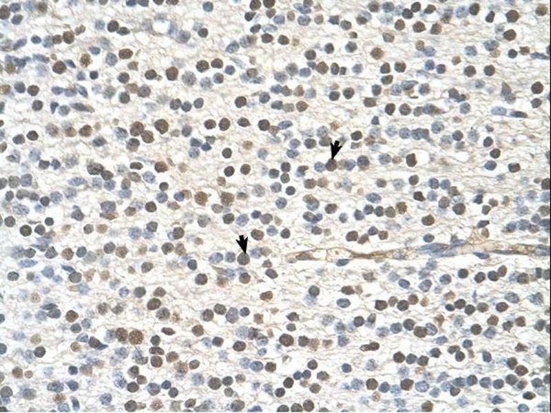
GAPVD1 antibody (N-Term)

The Rabbit Polyclonal anti-GAPVD1 antibody is suitable to detect GAPVD1 in samples from Human, Mouse, Dog and Rat. It has been validated for WB and IHC.
Catalog No. ABIN630695
$1,297.32
Plus shipping costs $50.00
100 μL
Shipping to: United States
Delivery in 9 to 12 Business Days

Quick Overview for GAPVD1 antibody (N-Term) (ABIN630695)

Target

See all GAPVD1 Antibodies
GAPVD1 (GTPase Activating Protein and VPS9 Domains 1 (GAPVD1))

Reactivity

  • 24
  • 5
  • 3
  • 3
  • 2
  • 2
  • 2
  • 2
  • 1
  • 1
  • 1
  • 1
  • 1
Human, Mouse, Dog, Rat

Host

  • 23
  • 2
Rabbit

Clonality

  • 25
Polyclonal

Conjugate

  • 11
  • 1
  • 1
  • 1
  • 1
  • 1
  • 1
  • 1
  • 1
  • 1
  • 1
  • 1
  • 1
  • 1
  • 1
This GAPVD1 antibody is un-conjugated

Application

  • 23
  • 13
  • 13
  • 5
  • 4
  • 3
  • 3
  • 2
  • 2
  • 1
Western Blotting (WB), Immunohistochemistry (IHC)
  • Binding Specificity

    • 15
    • 2
    • 1
    • 1
    • 1
    • 1
    • 1
    N-Term

    Specificity

    GAPVD1 antibody was raised against the N terminal of GAPVD1

    Purification

    Affinity purified

    Immunogen

    GAPVD1 antibody was raised using the N terminal of GAPVD1 corresponding to a region with amino acids FKLFSEGLFSAKLFLTATLHEPIMQLLVEDEDHLETDPNKLIERFSPSQQ
  • Application Notes

    WB: 0.25 µg/mL, IHC: 4-8 µg/mL
    Optimal conditions should be determined by the investigator.

    Comment

    GAPVD1 Blocking Peptide, (ABIN938336), is also available for use as a blocking control in assays to test for specificity of this GAPVD1 antibody

    Restrictions

    For Research Use only
  • Format

    Lyophilized

    Reconstitution

    Lyophilized powder. Add distilled water for a 1 mg/mL concentration of GAPVD1 antibody in PBS

    Concentration

    Lot specific

    Buffer

    PBS

    Handling Advice

    Avoid repeated freeze/thaw cycles.
    Dilute only prior to immediate use.

    Storage

    4 °C/-20 °C

    Storage Comment

    Store at 2-8 °C for short periods. For longer periods of storage, store at -20 °C.
  • Target

    GAPVD1 (GTPase Activating Protein and VPS9 Domains 1 (GAPVD1))

    Alternative Name

    GAPVD1

    Background

    GAPVD1 acts both as a GTPase-activating protein (GAP) and a guanine nucleotide exchange factor (GEF), and participates in various processes such as endocytosis, insulin receptor internalization or LC2A4/GLUT4 trafficking. It acts as a GEF for the Ras-related protein RAB31 by exchanging bound GDP for free GTP, leading to regulate LC2A4/GLUT4 trafficking. In the absence of insulin, it maintains RAB31 in an active state and promotes a futile cycle between LC2A4/GLUT4 storage vesicles and early endosomes, retaining LC2A4/GLUT4 inside the cells. Upon insulin stimulation, it is translocated to the plasma membrane, releasing LC2A4/GLUT4 from intracellular storage vesicles. It is also involved in EGFR trafficking and degradation, possibly by promoting EGFR ubiquitination and subsequent degradation by the proteasome. It has GEF activity for Rab5 and GAP activity for Ras.

    Molecular Weight

    166 kDa (MW of target protein)
You are here:
Chat with us!