SGTA antibody (AA 84-97)
Quick Overview for SGTA antibody (AA 84-97) (ABIN6391386)
Target
See all SGTA AntibodiesReactivity
Host
Clonality
Conjugate
Application
Grade
-
-
Binding Specificity
- AA 84-97
-
Purpose
- Sgta (mouse aa84-97)
-
Sequence
- PSEEDSAEAE RLKT
-
Cross-Reactivity
- Cow, Dog, Human, Mouse, Pig, Rat
-
Purification
- Purified from goat serum by ammonium sulphate precipitation followed by antigen affinity chromatography using the immunizing peptide.
-
Isotype
- IgG
-
-
-
-
Application Notes
-
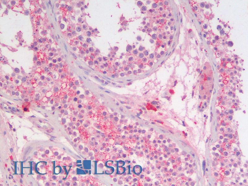
Immunohistochemistry: Paraffin embedded Human Testis. Recommended concentration: 5 μg/mL.
Western Blot: Approx 35 kDa band observed in lysates of cell line PD19 and doublet of 30+35 kDa in lysates of cell line K562 (calculated MW of 34.3 kDa according to NP_078775.1). Recommended concentration: 1-2 μg/mL. Primary incubation was 1 hour.
Peptide ELISA: antibody detection limit dilution 1:2000.
-
Restrictions
- For Research Use only
-
-
-
Format
- Liquid
-
Concentration
- 0.5 mg/mL
-
Buffer
- Supplied at 0.5 mg/mL in Tris saline, 0.02 % sodium azide, pH 7.3 with 0.5 % bovine serum albumin.
-
Preservative
- Sodium azide
-
Precaution of Use
- This product contains Sodium azide: a POISONOUS AND HAZARDOUS SUBSTANCE which should be handled by trained staff only.
-
Handling Advice
- Minimize freezing and thawing.
-
Storage
- -20 °C
-
Storage Comment
- Aliquot and store at -20°C, with minimal freeze/thawing. A working aliquot may be refrigerated at 4°C for a few weeks and still remain viable.
-
-
- SGTA (Small Glutamine-Rich Tetratricopeptide Repeat (TPR)-Containing, alpha (SGTA))
-
Alternative Name
- Sgta
-
Background
- Sgta, small glutamine-rich tetratricopeptide repeat (TPR)-containing, alpha, 5330427H01Rik, AI194281, D10Ertd190e, Sgt, Stg, alpha-SGT, small glutamine-rich tetratricopeptide repeat (TPR) containing protein, small glutamine-rich tetratricopeptide repeat-c
-
Gene ID
- 6449, 52551, 64667
-
NCBI Accession
- NP_078775
Target
-