×
For best experience we recommend to activate Javascript in your browser.
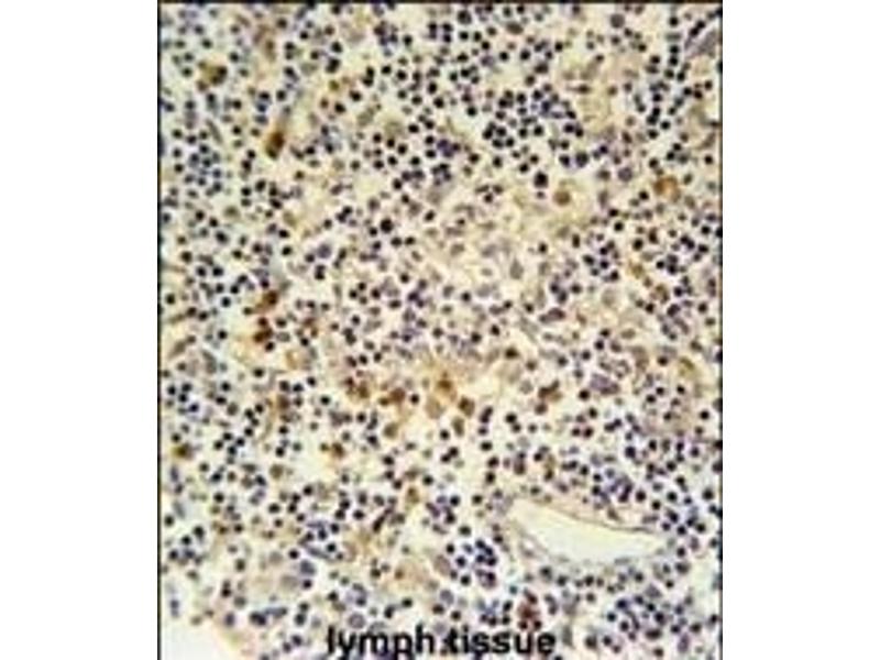
Coronin 6 antibody (AA 196-224)
This Rabbit Polyclonal antibody specifically detects Coronin 6 in WB, FACS and IHC (p). It exhibits reactivity toward Human and Mouse.
Catalog No. ABIN651025
$451.00
Plus shipping costs $50.00
80 μL ABIN2840041
400 μL ABIN651025
80 μL ABIN2840041
400 μL ABIN651025
Delivery in 10 to 12 Business Days
Quick Overview for Coronin 6 antibody (AA 196-224) (ABIN651025)
Target
Coronin 6 (CORO6)
Reactivity
All reactivities for Coronin 6 antibodies
Human, Mouse
Host
All hosts for Coronin 6 antibodies
Rabbit
Clonality
All clonalities for Coronin 6 antibodies
Polyclonal
Conjugate
All conjugates for Coronin 6 antibodies
This Coronin 6 antibody is un-conjugated
Application
All applications for Coronin 6 antibodies
Western Blotting (WB), Flow Cytometry (FACS), Immunohistochemistry (Paraffin-embedded Sections) (IHC (p))
Clone
RB27273
Product Details anti-Coronin 6 Antibody
(hide)
Binding Specificity
All epitopes for Coronin 6 antibodies
AA 196-224
Purification
This antibody is purified through a protein A column, followed by peptide affinity purification.
Immunogen
This CORO6 antibody is generated from rabbits immunized with a KLH conjugated synthetic peptide between 196-224 amino acids from the Central region of human CORO6.
Isotype
Ig Fraction
Alternatives
(show)
Application Details
(hide)
Application Notes
WB: 1:1000. IHC-P: 1:50~100. FC: 1:10~50
Restrictions
For Research Use only
Handling
(hide)
Format
Liquid
Buffer
Purified polyclonal antibody supplied in PBS with 0.09 % (W/V) sodium azide.
Preservative
Sodium azide
Precaution of Use
This product contains Sodium azide: a POISONOUS AND HAZARDOUS SUBSTANCE which should be handled by trained staff only.
Storage
4 °C,-20 °C
Storage Comment
Maintain refrigerated at 2-8 °C for up to 6 months. For long term storage store at -20 °C in small aliquots to prevent freeze-thaw cycles.
Expiry Date
6 months
Target Details for Coronin 6
(hide)
Target
Coronin 6 (CORO6)
Alternative Name
CORO6
Molecular Weight
52762
Gene ID
84940
NCBI Accession
NP_116243
UniProt
Q6QEF8
Recently viewed
(hide)
You are here:
Homepage
anti-Coronin 6 antibody (AA 196-224) (ABIN651025)
Chat with us , powered by LiveChat