Phone:
+1 877 302 8632
Fax:
+1 888 205 9894 (Toll-free)
E-Mail:
orders@antibodies-online.com

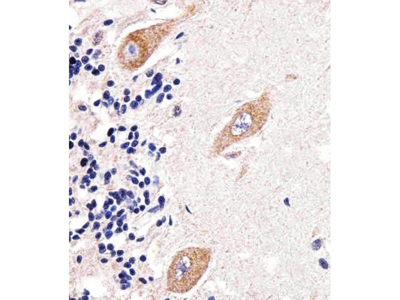
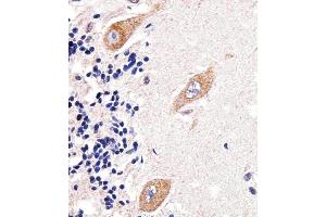
PAPD4 antibody (N-Term)

There is 1 publication for this product available. The Rabbit Polyclonal anti-PAPD4 antibody is suitable to detect PAPD4 in samples from Human and Mouse. It has been validated for WB, IF and IHC (p).
Catalog No. ABIN651284
$451.00
Plus shipping costs $50.00
Shipping to: United States
Delivery in 10 to 12 Business Days

Quick Overview for PAPD4 antibody (N-Term) (ABIN651284)

Target

See all PAPD4 Antibodies
PAPD4 (PAP Associated Domain Containing 4 (PAPD4))

Reactivity

  • 17
  • 15
  • 8
  • 6
  • 4
  • 4
  • 4
  • 4
  • 4
  • 2
  • 2
  • 2
  • 1
  • 1
Human, Mouse

Host

  • 17
Rabbit

Clonality

  • 17
Polyclonal

Conjugate

  • 12
  • 1
  • 1
  • 1
  • 1
  • 1
This PAPD4 antibody is un-conjugated

Application

  • 15
  • 9
  • 9
  • 1
  • 1
  • 1
Western Blotting (WB), Immunofluorescence (IF), Immunohistochemistry (Paraffin-embedded Sections) (IHC (p))

Clone

RB26128
  • Binding Specificity

    • 8
    • 3
    • 2
    • 1
    • 1
    • 1
    AA 58-87, N-Term

    Predicted Reactivity

    B

    Purification

    This antibody is purified through a protein A column, followed by peptide affinity purification.

    Immunogen

    This GLD2 antibody is generated from rabbits immunized with a KLH conjugated synthetic peptide between 58-87 amino acids from the N-terminal region of human GLD2.

    Isotype

    Ig Fraction
  • Application Notes

    IF: 1:25. WB: 1:1000. WB: 1:1000. IHC-P: 1:50~100. IHC-P: 1:25

    Restrictions

    For Research Use only
  • Format

    Liquid

    Buffer

    Purified polyclonal antibody supplied in PBS with 0.09 % (W/V) sodium azide.

    Preservative

    Sodium azide

    Precaution of Use

    This product contains Sodium azide: a POISONOUS AND HAZARDOUS SUBSTANCE which should be handled by trained staff only.

    Storage

    4 °C,-20 °C

    Storage Comment

    Maintain refrigerated at 2-8 °C for up to 6 months. For long term storage store at -20 °C in small aliquots to prevent freeze-thaw cycles.

    Expiry Date

    6 months
  • Guillén-Boixet, Buzon, Salvatella, Méndez: "CPEB4 is regulated during cell cycle by ERK2/Cdk1-mediated phosphorylation and its assembly into liquid-like droplets." in: eLife, Vol. 5, (2017) (PubMed).

  • Target

    PAPD4 (PAP Associated Domain Containing 4 (PAPD4))

    Alternative Name

    GLD2

    Background

    GLD2 is cytoplasmic poly(A) RNA polymerase that adds successive AMP monomers to the 3'-end of specific RNAs, forming a poly(A) tail. In contrast to the canonical nuclear poly(A) RNA polymerase, it only adds poly(A) to selected cytoplasmic mRNAs. GLD2 does not play a role in replication-dependent histone mRNA degradation.

    Molecular Weight

    56028

    Gene ID

    167153

    NCBI Accession

    NP_001107865, NP_001107866, NP_776158

    UniProt

    Q6PIY7
You are here:
Chat with us!