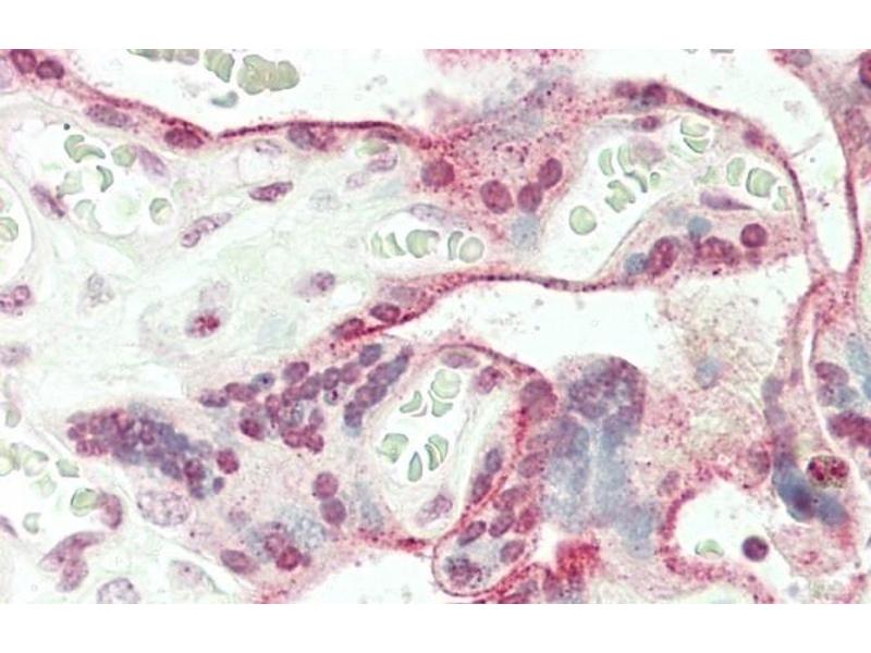
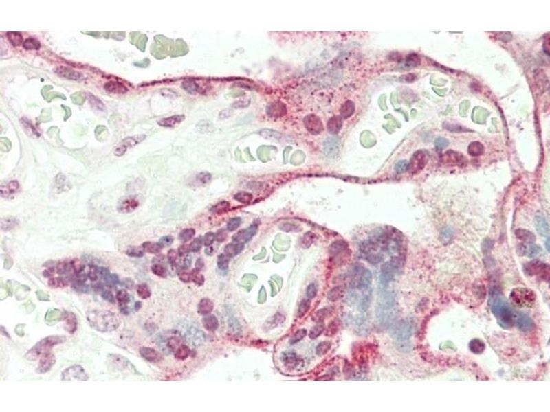
The Rabbit Polyclonal anti-JHDM1D antibody (Clone RB26200) (ABIN651309) specifically detects JHDM1D in WB, FACS and IHC (p).
The antibody is reactive with Human samples.
This antibody is purified through a protein A column, followed by peptide affinity purification.
Immunogen
This JHDM1D antibody is generated from rabbits immunized with a KLH conjugated synthetic peptide between 290-316 amino acids from the Central region of human JHDM1D.
Purified polyclonal antibody supplied in PBS with 0.09 % (W/V) sodium azide.
Preservative
Sodium azide
Precaution of Use
This product contains Sodium azide: a POISONOUS AND HAZARDOUS SUBSTANCE which should be handled by trained staff only.
Storage
4 °C,-20 °C
Storage Comment
Maintain refrigerated at 2-8 °C for up to 6 months. For long term storage store at -20 °C in small aliquots to prevent freeze-thaw cycles.
Expiry Date
6 months
Target
JHDM1D
(Jumonji C Domain-Containing Histone Demethylase 1 Homolog D (JHDM1D))
Alternative Name
JHDM1D
Background
JHDM1D histone demethylase that specifically demethylates dimethylated 'Lys-9' and 'Lys-27' (H3K9me2 and H3K27me2, respectively) of histone H3, thereby playing a central role in histone code. This specifically binds trimethylated 'Lys-4' of histone H3 (H3K4me3), affecting histone demethylase specificity: in presence of H3K4me3, it has no demethylase activity toward H3K9me2, while it has high activity toward H3K27me2. This demethylates H3K9me2 in absence of H3K4me3.