Phone:
+1 877 302 8632
Fax:
+1 888 205 9894 (Toll-free)
E-Mail:
orders@antibodies-online.com

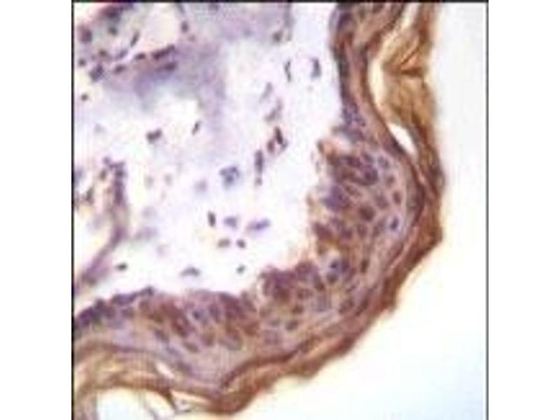
Kallikrein 7 antibody (AA 67-97)

The Rabbit Polyclonal anti-Kallikrein 7 antibody (Clone RB6117) (ABIN652197) specifically detects Kallikrein 7 in WB and IHC (p). The antibody is reactive with Human samples.
Catalog No. ABIN652197
$451.00
Plus shipping costs $50.00
Shipping to: United States
Delivery in 10 to 12 Business Days

Quick Overview for Kallikrein 7 antibody (AA 67-97) (ABIN652197)

Target

See all Kallikrein 7 (KLK7) Antibodies
Kallikrein 7 (KLK7)

Reactivity

  • 39
  • 32
  • 18
  • 2
  • 2
  • 2
  • 2
  • 1
Human

Host

  • 69
  • 7
Rabbit

Clonality

  • 72
  • 4
Polyclonal

Conjugate

  • 33
  • 12
  • 9
  • 3
  • 1
  • 1
  • 1
  • 1
  • 1
  • 1
  • 1
  • 1
  • 1
  • 1
  • 1
  • 1
  • 1
  • 1
  • 1
  • 1
  • 1
  • 1
  • 1
This Kallikrein 7 antibody is un-conjugated

Application

  • 45
  • 27
  • 19
  • 13
  • 13
  • 10
  • 7
  • 7
  • 5
  • 4
  • 3
  • 2
  • 1
  • 1
  • 1
  • 1
Western Blotting (WB), Immunohistochemistry (Paraffin-embedded Sections) (IHC (p))

Clone

RB6117
  • Binding Specificity

    • 15
    • 7
    • 5
    • 5
    • 4
    • 4
    • 3
    • 2
    • 2
    • 2
    • 2
    • 2
    • 1
    • 1
    • 1
    • 1
    • 1
    • 1
    • 1
    AA 67-97

    Purification

    This antibody is purified through a protein A column, followed by peptide affinity purification.

    Immunogen

    This Kallikrein 7 antibody is generated from rabbits immunized with a KLH conjugated synthetic peptide between 67-97 amino acids from the Central region of human Kallikrein 7.

    Isotype

    Ig Fraction
  • Application Notes

    WB: 1:1000. WB: 1:2000. IHC-P: 1:10~50

    Restrictions

    For Research Use only
  • Format

    Liquid

    Buffer

    Purified polyclonal antibody supplied in PBS with 0.09 % (W/V) sodium azide.

    Preservative

    Sodium azide

    Precaution of Use

    This product contains Sodium azide: a POISONOUS AND HAZARDOUS SUBSTANCE which should be handled by trained staff only.

    Storage

    4 °C,-20 °C

    Storage Comment

    Maintain refrigerated at 2-8 °C for up to 6 months. For long term storage store at -20 °C in small aliquots to prevent freeze-thaw cycles.

    Expiry Date

    6 months
  • Target

    Kallikrein 7 (KLK7)

    Background

    Kallikreins are a subgroup of serine proteases having diverse physiological functions. Growing evidence suggests that many kallikreins are implicated in carcinogenesis and some have potential as novel cancer and other disease biomarkers. The KLK7 enzyme is thought to be involved in the proteolysis of intercellular cohesive structures preceding desquamation, which is the shedding of the outermost layer of the epidermis.

    Molecular Weight

    27525

    Gene ID

    5650

    NCBI Accession

    NP_001193982, NP_001230055, NP_005037, NP_644806

    UniProt

    P49862

    Pathways

    Complement System
You are here:
Chat with us!