×
For best experience we recommend to activate Javascript in your browser.
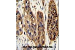
KIAA1324-Like antibody (N-Term)
The Rabbit Polyclonal anti-KIAA1324-Like antibody (Clone RB23967) (ABIN654924) specifically detects KIAA1324-Like in WB, FACS and IHC (p).
The antibody is reactive with Human and Mouse samples.
Catalog No. ABIN654924
$451.00
Plus shipping costs $50.00
80 μL ABIN2844567
400 μL ABIN654924
80 μL ABIN2844567
400 μL ABIN654924
Delivery in 10 to 12 Business Days
Quick Overview for KIAA1324-Like antibody (N-Term) (ABIN654924)
Target
KIAA1324-Like (KIAA1324L)
Reactivity
All reactivities for KIAA1324-Like antibodies
Human, Mouse
Host
All hosts for KIAA1324-Like antibodies
Rabbit
Clonality
All clonalities for KIAA1324-Like antibodies
Polyclonal
Conjugate
All conjugates for KIAA1324-Like antibodies
This KIAA1324-Like antibody is un-conjugated
Application
All applications for KIAA1324-Like antibodies
Western Blotting (WB), Flow Cytometry (FACS), Immunohistochemistry (Paraffin-embedded Sections) (IHC (p))
Clone
RB23967
Product Details anti-KIAA1324-Like Antibody
(hide)
Binding Specificity
All epitopes for KIAA1324-Like antibodies
AA 109-138, N-Term
Predicted Reactivity
B
Purification
This antibody is purified through a protein A column, followed by peptide affinity purification.
Immunogen
This KIAA1324L antibody is generated from rabbits immunized with a KLH conjugated synthetic peptide between 109-138 amino acids from the N-terminal region of human KIAA1324L.
Isotype
Ig Fraction
Alternatives
(show)
Application Details
(hide)
Application Notes
WB: 1:1000. WB: 1:1000. IHC-P: 1:50~100. FC: 1:10~50
Restrictions
For Research Use only
Handling
(hide)
Format
Liquid
Buffer
Purified polyclonal antibody supplied in PBS with 0.09 % (W/V) sodium azide.
Preservative
Sodium azide
Precaution of Use
This product contains Sodium azide: a POISONOUS AND HAZARDOUS SUBSTANCE which should be handled by trained staff only.
Storage
4 °C,-20 °C
Storage Comment
Maintain refrigerated at 2-8 °C for up to 6 months. For long term storage store at -20 °C in small aliquots to prevent freeze-thaw cycles.
Expiry Date
6 months
Target Details for KIAA1324-Like
(hide)
Target
KIAA1324-Like (KIAA1324L)
Alternative Name
KIAA1324L
Molecular Weight
113842
Gene ID
222223
NCBI Accession
NP_001136221 , NP_689961
UniProt
A8MWY0
Recently viewed
(hide)
You are here:
Homepage
anti-KIAA1324-Like antibody (N-Term) (ABIN654924)
Chat with us , powered by LiveChat