Phone:
+1 877 302 8632
Fax:
+1 888 205 9894 (Toll-free)
E-Mail:
orders@antibodies-online.com

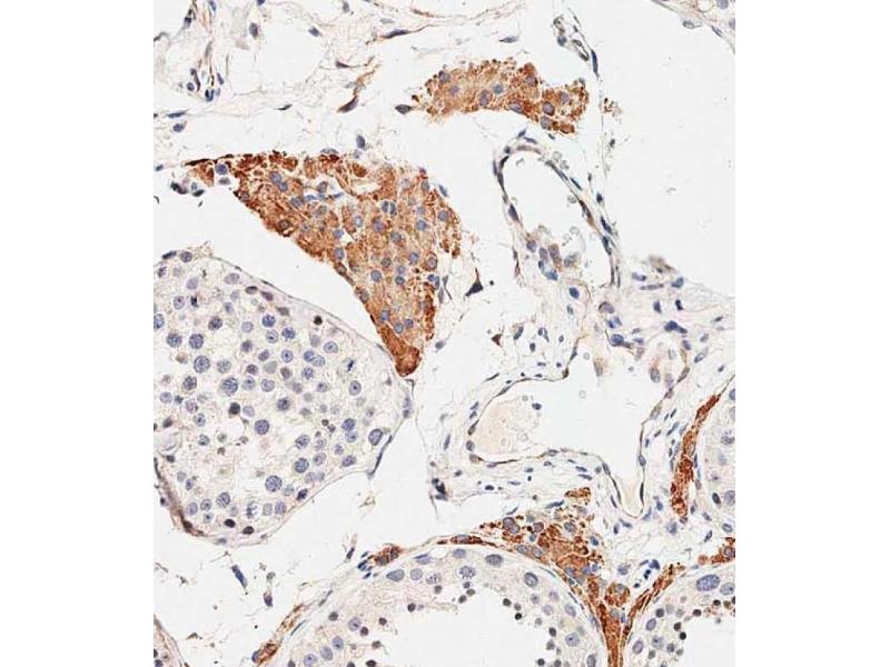
OTUD3 antibody (AA 192-220)

The Rabbit Polyclonal anti-OTUD3 antibody (Clone RB28198) (ABIN654984) specifically detects OTUD3 in WB and IHC (p). The antibody is reactive with Human samples.
Catalog No. ABIN654984
$451.00
Plus shipping costs $50.00
Shipping to: United States
Delivery in 10 to 12 Business Days

Quick Overview for OTUD3 antibody (AA 192-220) (ABIN654984)

Target

OTUD3 (OTU Domain Containing 3 (OTUD3))

Reactivity

  • 14
  • 1
Human

Host

  • 14
Rabbit

Clonality

  • 14
Polyclonal

Conjugate

  • 6
  • 2
  • 2
  • 2
  • 1
  • 1
This OTUD3 antibody is un-conjugated

Application

  • 11
  • 10
  • 2
  • 1
  • 1
Western Blotting (WB), Immunohistochemistry (Paraffin-embedded Sections) (IHC (p))

Clone

RB28198
You are here:
Chat with us!